Девочки, овальный фолликул, я вижу 2 фолликула
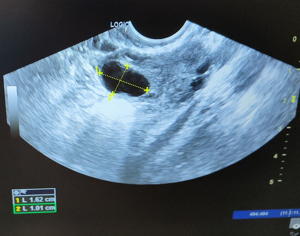
Девочки, что вы видите, узистка нормально не посмотрела, сказала овальный фолликул, 16.2 на 10.1, эндомитрий 7.3. Я вижу 2 маленьких фолликула.
Девочки, что вы видите, узистка нормально не посмотрела, сказала овальный фолликул, 16.2 на 10.1, эндомитрий 7.3. Я вижу 2 маленьких фолликула.