Жёлтое тело или Фоликул
Бесплодие
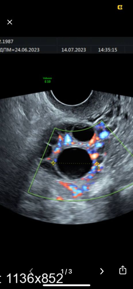
Добрый день, такой вопрос может у кого-то было такое, 14 дней назад сделала Лапароскопию (делали насечки) в связи с бесплодие, сегодня 14 день цикла, ждала овуляцию, но она как мне сегодня сказали была 3 дня назад, что вот жёлтое тело 2.5 на 2.2 см, на фото выше, что увы и ах прозивали, дак я вот теперь и думаю может ЖТ перепутали с ДФ, как-то рано она пришла, врач УЗИ сказала что это точно ЖТ так как кровоток есть ( на фото с лева 2 белые точки)
Может кто-то сталкивался с подобным, расскажите пожалуйста
Лучший ответ
Elenochka (Дважды мама в 2021)
Вообще сколько видела жёлтое тело на узи своих, то оно имеет неровные края, типо звёздчатое, а у Вас ровный круг,что больше на фолликул похоже.
16.10.2023
Ответить
Валерия
Elenochka (Дважды мама в 2021), да вот я тоже читала, что при ЖТ не ровные края, а тут прям ровный круг
16.10.2023
Ответить
Ольга
Они совершенно по разному на узи. У жт хорошо видно кровоток. Его смотрят как-то разноцветно, хорошо видно. И показывают. А еще жидкость в брюшной полости должна быть. ДФ это полностью черный круг без кровотока (жидкость поглощает уф лучи и выглядит черным цветом)
Хотя буквально вчера был пост, как узистка сказала что на гв нельзя беременеть и раз на гв нет месячных значит нет беременности априори.
Так что неудивлюсь если перепутали 🙄
16.10.2023
Ответить
Верочка
Больше похоже на доминантный фолликул
Мне недавно тоже спутали дф с жт
Тест попробуйте сделать на овуляцию
16.10.2023
Ответить
Валерия
Верочка, сделала сейчас, заметная 2 полосочка, но бледная, это значит была овуляция, или будет
16.10.2023
Ответить
Верочка
Валерия , нужно смотреть динамику. Делайте тест в течение нескольких дней, тестовая полоска должна быть ярче контрольной
Фирму советую Овуплан
Но судя по размерам овуляция должна быть вот-вот на днях
16.10.2023
Ответить
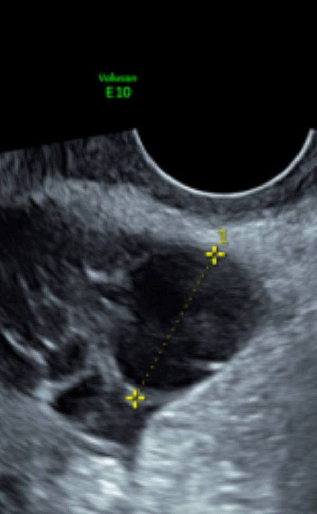
Валерия , вот мне тут сказали, что это жт, а на самом деле это был дф, по размерам 21 мм
На следующий день сделала тест на овуляция и он выдал пик
Вот так выглядит желтое тело
Верочка, буду делать тесты, очень надеюсь что УЗИстка ошиблась, и это долгожданная Овул.