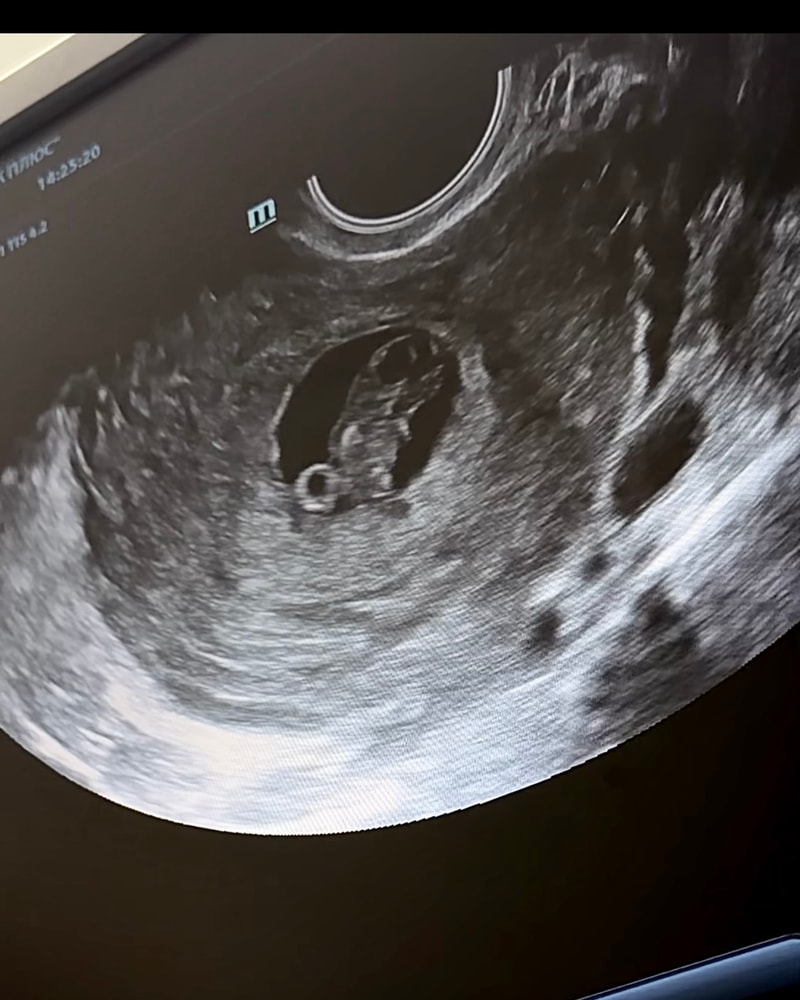
Нам 8 недель 4 дня))
УЗИ, КТГ, доплер
Сердечко ритмичное, ктр 21мм, срок 8 недель 4 дня, мы уже двигаем ручками и ножками))) это просто чудо,такой уже маленький большой человек🥹🙏🏻
Лучший ответ
Анастасия
Трогательно ))
Поздравляю!
Ни разу не видела своих детей на узи на таком сроке)
19 часов
Ответить