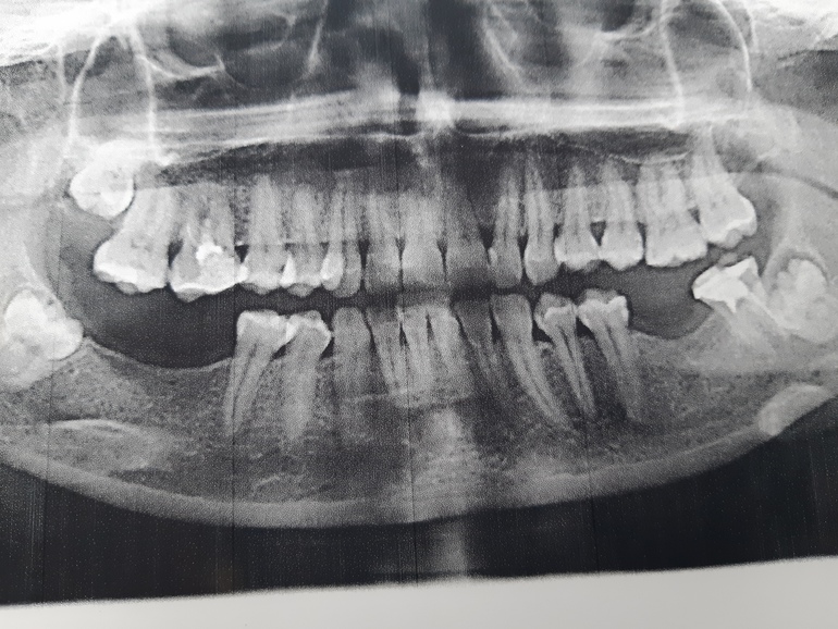
Может ли давать такую боль ретинированная 8
СтоматологияСитуация такая..простыла и стали боли сначала слевой стороны. ТОчно понять не могу сначала казалось что сверху боль больше ноющая редко колит бывает в ухо боль отдает ноющая. Потом словно больше снизу болит. Сделала панорамный снимок у меня снизу 7зуб плохо пролечен но говорят врят ли он боль даёт. Возможно что 8 задевает лицевой нерв. Вопрос такой может ли 8 внизу давать такие ощущения и сверху и в районе лица но боль в лице слабая как типо чуствую спазм сосудов. Либо это больше тройничный нерв но там как читаю боли будут сильные. Приклеплю снимок может есть врачи или кто так же сталкивался с таким 
Dari
Тикие восьмерки очень часто портят соседние семёрки, в результате чего удалять приходится оба. Они ещё кисты могут давать. Скорее всего проблема с семёркой. Но и 8й тоже может, по личному опыту пульпит нижней восьмерки отзывается болью в поллица. Рекомендую сделать КТ, там лучше понятно.
П. С. Обязательно протезируйте отсутствующие зубы. Прикус едет, страдают суставы, функция жевания. Когда челюсть начнет клинить, мало не покажется.
06.03.2020
Ответить
Lenivec
в принципе может, у меня примерно так и было. я даже до лора прогулялась. Но, опять же, все абсолютно субъективно.
06.03.2020
Ответить