Поликистоз. Под вопросом.
Анализы и процедуры. Помощь в расшифровке результатовДевушки, подскажите пожалуйста! Я живу заграницей. Ребёнку 5 мес, задержка месячных уже 20 дней. Тест на 10 день задержки был отрицательный. Я пошла на узи в гос больницу и меня очень плохо посмотрели по узи. Специалисты тут конечно хреновые. Фотку яичников не дали - просто ничего. Матку даже не посмотрел.
Я прошла 2 эко по МФ. Никогда не жаловалась на себя и по всем узи ранее я всегда была здорова!
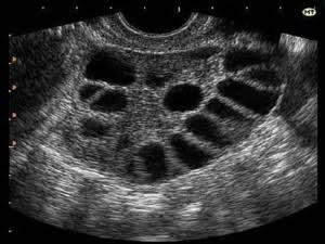
Точно помню, что на картинке была вот такая фотка и чувак не раздумывая сказал - поликистоз. Но у меня и раньше были такие яичники и в Украине мне говорили, что у меня все хорошо. Сейчас пью Кок Ярина (Jasmin) 3 день. Уже почти неделю тошнит, грудь опухшая и нет никакой возможности пойти к нормальному врачу!
Поправьте мою категорию пожалуйста! 
Ангелина
Ну так ребенку всего 5 месяцев. До этого почти год не было овуляции. Это естественно для Вас.
08.11.2019
Ответить
Анастасия
Зачем пьёте КОК? Мне тоже по такой фотке пара горе-специалистов ставили поликистоз. А у меня просто мультифолликулярные яичники. Я после родов не стала пить КОКи. Поликистоз частенько случается как раз после их неправильного назначения
08.11.2019
Ответить
Nucha
Мфя вроде.
Если ребенку 5 мес,то цикл еще не восстановлен.Мне более полугода потребовалось после завершения гв чтобы яичники пришли в норму.Были постоянные задержки,такая же картина узи-как "кусок сыра с дырками",тонкий эндометрий,отсутсвие овуляции.
Каждый месяц ходила на узи,искала причины,а в этом пришла,а там все красиво.и овуляция и эндометрий шикарный и мфя след простыл
08.11.2019
Ответить
Рита
А зачем вы начали пить кок? Диагноз то у вас под вопросом, раз посредственный врач смотрел . Лучше подтвердить диагноз и после начать лечение.
08.11.2019
Ответить