Кровят десна
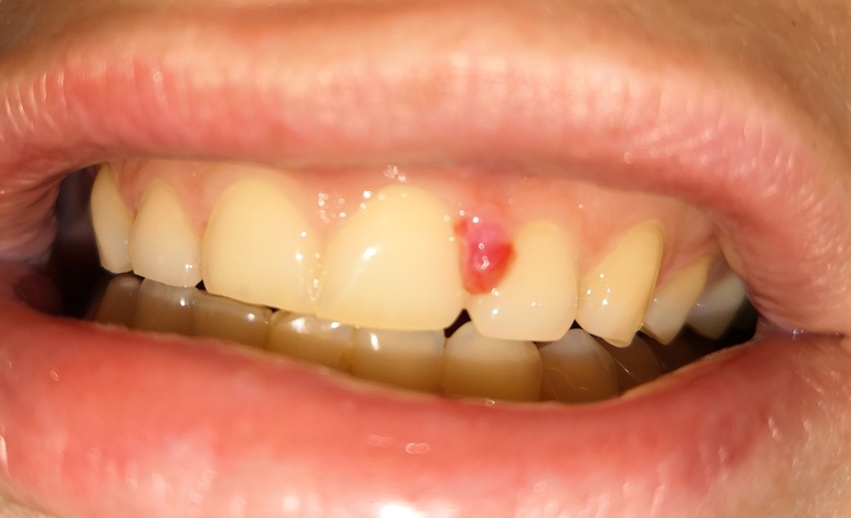
Всё о нашей беременностиСнова я. С каждым днем чистка зубов становится мучительнее. Кровь льётся как из ведра. И с каждым днем, вот эта штучка становится больше. Кто как справлялся с такой проблемой? К стаматологу на днях пойду

Гермиона
Есть бальзамы для дёсен Асепта, мне очень нравятся. Проверьте уровень гемоглобина в крови и ферритин, в полне может быть такое.
26.11.2019
Ответить
Babochka
У меня таже беда, щетку мягкую купила и пасту поменяла, но как сказал стоматолог что кровоточивость во время беременности это вариант нормы. А вот что у вас там за штука лезет не подскажу. Сходите к стамотологу
25.11.2019
Ответить
Tsvetochek
Бывает что внутри (или на корнях) воспаление и пробивается свищ наружу. Выглядит похоже.
25.11.2019
Ответить
Дарья
Я заваривают кору дуба и полоскаю после каждой чистки зубов теплым раствором. Кровить стало меньше.
25.11.2019
Ответить