Внутренние брекеты WIN
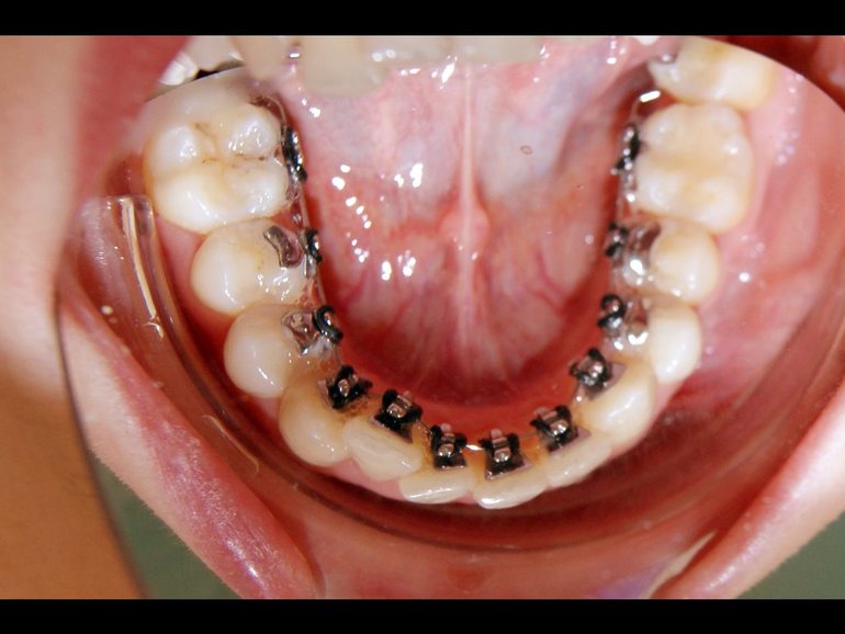
Информация о зубахВ среду провела установку брекет системы с внутренней стороны зубов девочке 15 лет.
Что было примечательно, в нашей стране родители предпочитают экономить на лечении ортодонтическом своих детей и выбирают для них внешние брекеты. Но мама этой малышки оказалась чуть более отважной. Девочка беспокоилась, как она будет разговаривать, но после установки сказала: "О! Так они совсем маленькие!"
Преимущества использования внутренних (лингвальных) брекетов у подростков:
- ниже риск развития кариеса вокруг снования брекетов (благодаря более плотной структуре эмали и процессам самоочищения слюной);
- максимальный эстетический эффект = более легкая адаптация в социуме (ведь подростки такие ранимые и так трепетно относятся к мнению окружающих);
- индивидуально изготовленная аппаратура дает более предсказуемые результаты лечения в более короткие сроки по сравнению со стандартной аппаратурой;
А римером того, насколько эффективна внутренняя аппаратура, вот пример одной из пациенток:

через 3 месяца

Хотя исследования ряда европейских исследователей (Van der Veen MH, Attin R, Schwestka-Polly R, Wiechmann; Lovrov S, Hertrich K, Hirschfelder U: и др.) доказывают, что риск возникновения кариеса при фиксированных внешних брекетах в 8 (!) раз выше, по сравнению с аппаратурой, фиксированной на внутренней поверхности зубов, многие полагают, что установка внутренних брекетов преследует только эстетические интересы.