9 месяцев спустя
Взрослые зубные проблемыДевочки, хвастаюсь, что "выносила" за 9 месяцев))
1 день

Нижняя и верхняя челюсть спустя 2 месяца


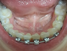
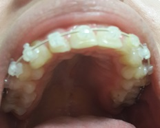
Сегодняшний результат (прошло 9 месяцев)



Tatiana
Мнетоже хочется тока я хотела новую систему которая саморегулируется))а можите в личку поделится своим опытом
15.01.2014
Ответить
Юлечка (визажист)
Да, могу. А что Вы хотели узнать?) Я могу Вам ссылочки дать на описание моих ощущений))
15.01.2014
Ответить
Юлечка (визажист)
Ок! Напомни мне, плз, вечерком сегодня, чтоб не потеряться, я пришлю
17.01.2014
Ответить
Катя
Юлечка, а вы не могли бы дать контакт ортодонта и сколько стоят ваши брекеты! Такие отличные результаты.
03.01.2014
Ответить
Светлана
разница на лицо! блиииин,мне бы надо тоже поставить,а я боюсь зубы лечить....
12.12.2013
Ответить
Светлана
ставить не боюсь,боюсь именно лечить зубы,там же нужно сначала вылечить все зубы...
15.12.2013
Ответить
Юлечка (визажист)
Зубки сейчас небольно лечат совсем. Немного болезненный только укол анестезии и все. К тому же может у тебя и нет кариеса, так что не бойся пока)
16.12.2013
Ответить
Юлечка (визажист)
Ортодонт говорит, что я очень хорошо их ношу и срок сократится))
12.12.2013
Ответить