Не хочу серебрить-или нет пути назад?
Алина, здравствуйте!
Прочитала о зубках почти все, что у вас есть) спасибо за просвещение!
Оцените нашу ситуацию,пожалуйста. Дочке 1.8. На ГВ. Сладкое не даем,только печенье.Чистим зубы с трудом и малоэффективно.
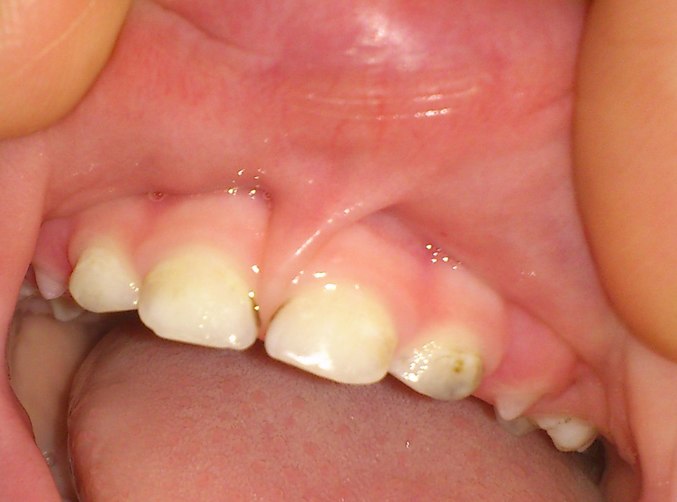
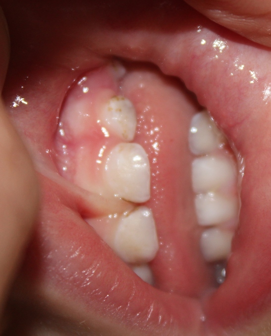
Были у стоматолога- сказали бутылочный кариес (верхние 2ки). На левом зубе -эмаль задета уже, на правом вроде пока нет.Уговорили посеребрить,пока только 1 раз сделали,еще два требуется в эти выходные (почему-то говорят надо 2 дня подряд) Вопрос-нужно ли нам это продолжать? Не ошиблась ли я с серебрением? Если эмаль начала разрушаться(даже немного)-можно ли это делать? Наш врач отвечает-будем серебрить-вот и увидим по интенсивности темнения зуба. Я не хочу гадать,и не хочу этих черных зубиков (не знала до этого об этом эффекте) Может еще не поздно сменить на др.лечение? Айкон, фторирование? Или скомбинировать как-то.. Наркоз не рассматриваю. Про передние зубы ничего не сказали, но мне мерещится начальный кариес. Жевательный вверху тоже окрасился случайно-значит ли что и на нем кариес или это может быть налет?
Посмотрите фото,пожалуста! Дайте совет. (извините за дубляж в личные сообщения,не разобралась сразу)
последнее фото-это в первый день серебрирования,остальные -после принудительной чистки)


