Мой график базальной t°, цикл от 12 октября 2018

по БТ О была и сейчас у вас Жт работает. Это можно проверить сдав анализ на прогестерон. В понед и сдайте. На 10 дц О, сегодня 6 дпо. Ещё неделька и тест покажет или М придут.... Если М не придут через 7-9 дней - значит диагноз по узи верный ( а они часто ошибаются). Бт поднимается только при наличии прогестерона и 2 фазы на недели ( или больше при Б ).... в противном случае это воспаление.
27.10.2018
Если киста фолликулярная , значит фолликул перерос , следовательно О не было
26.10.2018
А почему тогда тесты полосатились?
26.10.2018
Возможно выплеск гормона был . Честно , я вообще этим тестам не верю , УЗИ достовернее . Вот вам мой пример : В июне на 10 дц было 2 фолликула , на 15 дц один фолликул сдулся , тесты полосатились , выделения как ЯБ , О ждала на 16 дц, а в итоге ановуляторный цикл , т.к. второй фолик перерос в кисту 😡
26.10.2018
Сделала как-то в один день тесты разных фирм - один показал О, а второй нет . Вот и верьте этим тестам
26.10.2018
мне кажется может через несколько дней переделать в другом месте узи, и если картина останется прежней, то сходить к гинекологу.
26.10.2018
Киста какая? Если киста Желтого тела, то овуляция была, жидкость в данном случае это норма. Если киста фолликулярная, и желтого тела нет, то жидкость будет считаться не нормой.
26.10.2018
Киста яичника. ЖТ нет. Врач узи еще какой то бестолковый попался. Нормально не смог дать ответы
26.10.2018
Мне казалось в яичнике может быть либо фоликулярная киста, либо киста жёлтого тела 🤷🏼‍♀️
26.10.2018
Фолликулярная киста. Простите
26.10.2018
Может узистка ошиблась и овуляция все таки была
26.10.2018
думаю, что нет(
26.10.2018
А по картине будто она только пару часов назад была. Посмотри в интернете.
28.10.2018
Как это вы определились по картинке?)
28.10.2018
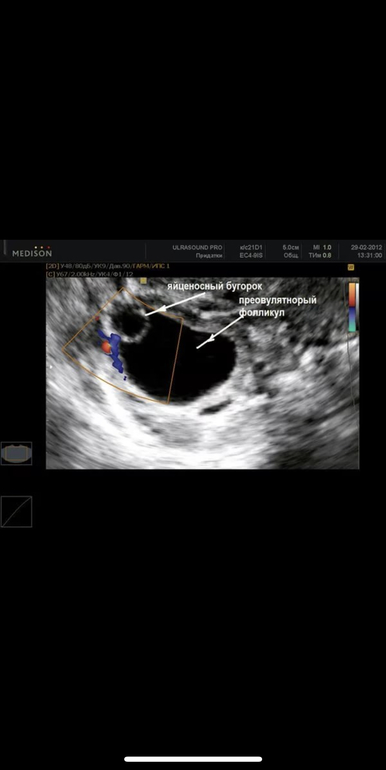
Я не специалист узи, просто когда мне сказали, что фолликул вырос на 28мм, я стала в интернете смотреть как выглядит лопающийся фолликул и на сколько страшно, что он 28 мм. И была картинка с бугорком, и с моментом выхода яйцеклетки на узи. Очень похожа на вашу.
29.10.2018
Это с яйценосным бугорком Ваш тоже чем-то похож, только будто ваш бугорок уже лопнул.
29.10.2018
Помню, делали УЗИ для проверки жёлтого тела. ЖТ было, но не четко круглое и вроде как маловатое + жидкость в позадиматочном. В яичнике была киста, сказали - фолликулярная)
27.10.2018
У меня в ЛЯ было ЖТ, а в правом Я была фоликулярная киста, которая начала уменьшаться (была 28 мм, стала 23 мм), делала 2 узи до овуляции и после овуляции.
28.10.2018
Если я верно поняла, при жт не может быть фолликулярной кисты?
27.10.2018
Может быть и то и другое, если созревали 2 доминантных фолликула
28.10.2018
Мой график базальной t°, цикл от 1 октября 2018 Есть ли шанс?, цикл от 26 сентября 2018