УЗИ(((
ФолликулометрияБыла сегодня на УЗИ 12ДЦ. Результаты не радуют.
МАТКА расположена кпереди, хотя нашла старое УЗИ, там написано кзади, размеры нормальные, контуры ровные, эхоструктура однородная,образований нет
Вопрос №1 почему она болтается туда-сюда
??? Как при таком расположении матки лучше вести себя после ПА....на боку, на животе полежать или на голове постоять))))??? 
Эндометрий 7мм
Вопрос №2 это не мало для 12ДЦ
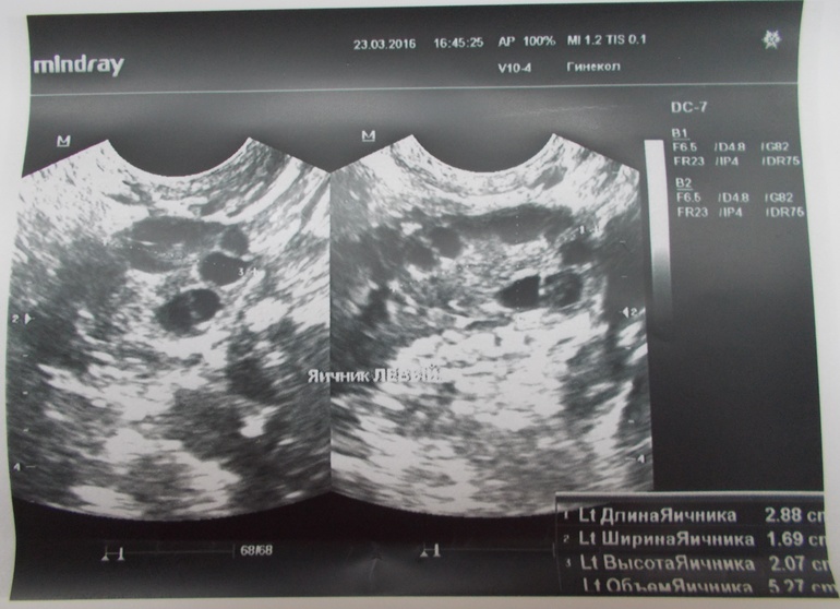
Доминантных фолликулов НЕТ(((( цикл снова пролётный(((овуляции не было и не будет((но что тогда со мной происходит?третий день какие-то боли внизу живота (как схватками), чувствую левый яичник, а сегодня утром и правый проснулся(думала, что это к приближающейся О, а вот и нет(
Вопрос №3 может ли быть поздняя О или уже точно нет! к слову прошлый цикл был только 20 дней, походу тоже без О. Я извиняюсь, если это глупый вопрос, но я пока ничего не понимаю. Значит в этом году мамой я уже не стану точно((( 
ЗАКЛЮЧЕНИЕ Ставят мультифолликулярные яичники!!!узистка долго сомневалась писать такое заключение или нет, но всё-таки написала....((( ещё сказала, что в шейке матки есть малюсенькие кисты!других паталогий не выявлено!
Снимки прилагаю.
Не хочу отчаиваться, будем надеяться на лучшее и продолжим стараться в следующем цикле, а пока муж пусть отдохнёт и сил наберётся 




Если есть комментарии по поводу снимков, пишите, потому что я в них вообще ничего не понимаю!
Спасибо тем, кто не прошел мимо.