УЗИ и фотосессия теста 😵😮😕😦😯😞😨
Доброго времени суток, девочки.
Дополняю сегодняшним утренним тестом.
Верхний - вчера вечеромна миллионный попис, нижний сегодня утром:
Пост длинный и много фото. Девочки, нужны мнения. Я в какой-то растерянности.
Сегодня 20 ДЦ, график выставляет О на 15 ДЦ.
Напомню, это первый цикл, когда мы возобновили попытки после чистки ЗБ в 10-11 недель (26 августа).
Далее под кат
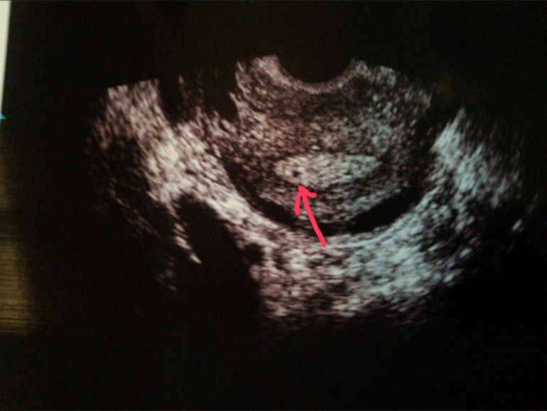
Итак. Единственное, что меня порадовало, это эндометрий - 9,7 мм. Давно я у себя такого эндика не наблюдала, обычно не больше 5-6. Ну и то, что острого течения эндометрита больше не наблюдается (ну надо полагать, столько вколола/выпила).
А дальше грусть-печаль.
Не понятно, была ли О вообще.
Доминантных фолликов нет, только 3-4 мм.
Жидкости в позадиматочном пространстве нет.
Желтого тела нет, видимо из-за прогестероновой недостаточности 
А потом вообще затихла и долго-долго что-то рассматривала. И сказала: "Какую-то точку размером 2 мм вижу. Не полип, не миома. Но и беременность, по идее, не могу так рано увидеть".


Пришла домой, полдня ходила, раздумывала...
Рассмотрела свой график БТ


Очень маленькая разница фаз. Но в первую фазу какая-то высокая БТ в этот раз, не как обычно 36,3-36,5.
ТТ держится 37,1-37,3.
Месячные были какие-то странные, то были, то нет, и в основном мазня.
И боли какие-то внизу живота еще до месячных и до сих пор.
А что я делала на Новый год, когда все праздновали и ели нормальную вкусную пищу? Правильно, жрала воск от свечей, ведь он такой вкусный...
И решила сделать тест на всякий случай на миллион сто пятьдесят третий попис. И какого же было мое удивление, когда я увидела слабенькую, но четкую розовенькую вторую полоску. Появилась моментально. Глазом видно четко, приглядываться не надо. Как ни пыталась, но сфотать близко и с более-менее хорошим качеством так и не смогла (пора менять телефон). Поэтому прилагаю ниже "фотосессию" теста.








Чтооо???😨Как???😨 Почему??? 😨Что за странная ситуация?😨 Что за образование?😨 Что за призраки прадеда?😨 Что происходит? 😱😱😱😱😱😱😱😱В голове взрыв, какая-то растерянность. Дар речи безвозвратно потерян.....
С утра сделаю еще один тест.
К врачу в среду.
А по поводу прогика. Последние 7 лет у меня всегда прогестероновая недостаточность.
а узи бы лучше переделать...я бы им не очень то и доверяла(со второй б.тестик был такой же,послле сдачи хгч только убедилась,делала не однократно узи,так как в дни м.стало мазать,на 1 сказали что вроде все есть и вроде все нормально,через несколько дней переделывала в другом месте,так она и матку двурогую увидела и то что там чего то на 2 части делится и мне даже показывала,пришлось потом еще раз переделывать в 1 месте и там этого всего не увидили-зато услышали сердечко=))так что удачи вам и нормально протикающей б.!
Желаю чтоб эта беременность закончилась родами здоровенького человечка
