планирую беременность
Киев
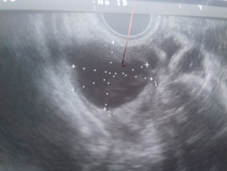
Как отличить кисту ЖТ от фолликулярной?
Извините девчонки что я вас уже достала, своими проблемами Но может кто-то разбирается в УЗИ.
Какая это киста? 


Мама троих (23 года, 10 лет, 7 лет)
Архангельск
По фото это невозможно определить. У ЖТ или у кисты ЖТ есть кровоток который хорошо виден на узи. У фол.кисты нет кровотока. Врач должна была сказать что это.
0
26.09.2017
Ответить
Мама двоих (7 лет, 6 лет)
Киев
к сожалению не сказала только назначила дюфастон
0
26.09.2017
Ответить
Мама троих (23 года, 10 лет, 7 лет)
Архангельск
Пейте дюфастон, перед отменой (если не предохраняетесь) делаете тест на Б и если там // продолжаете пить дюф дальше, если / отменяете. Удачи и пусть все получится!
0
26.09.2017
Ответить
Мама девочки (8 лет)
Саранск
Вам уже верно написали, что определить можно по наличию/отсутствию кровотока. Но к сожалению, не все узисты это смотрят... И пишут потом прост киста, не уточняя какая. По фото можно предположить только, да и то сомнительно. Обычно фолликулярная киста прям темная, почти черная, киста жт - серая с неровными краями. Но это субъективно все.
Есть ещё один способ поверить киста жт или нет - сдать прогик. Если будет в пределах нормы лютеиновой фазы - значит жт.
0
26.09.2017
Ответить
Щелково
На фото явно киста желтого тела, она имеет характерное строение, структуры ( ячеистая), фолликулярная киста такой не бывает.
0
02.10.2017
Ответить
Мама двоих (7 лет, 6 лет)
Киев
Спасибо . вы мне подарили надежду в этом месяце
0
02.10.2017
Ответить
Мама мальчика (10 лет)
Харьков
Правильно вам выше написали, у ЖТ должен быть кровоток. Это называется васуляризация. Опытный узист должен это уметь отличать. Скорее всего у вас просто киста
0
26.09.2017
Ответить
Мама двоих (19 лет, 6 лет)
Челябинск
Мне врач несколько раз показывала кисту жт, она всегда как будто сеточкой была, но по фото это нельзя определить, нужно ещё жидкость смотреть и кровоток
0
26.09.2017
Ответить
Мама двоих (7 лет, 2 года)
Алма-Ата (Алматы)
Девочки, а шум как будто стучание, это у ЖТ?? Тоже взлезу к вам с вопросом :)
0
26.09.2017
Ответить