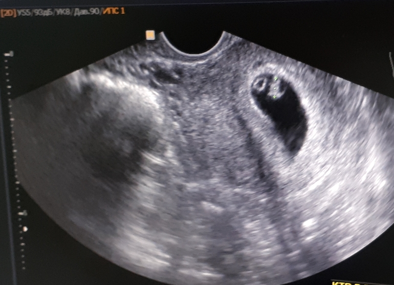
УЗИ на 6нед 3д
Сходила сегодня на УЗИ,сказали все хорошо сердечко бьется💓И на той недели ходила в 5,сердечко еще не билось☺😍Вот наше чудо😍так долго ждали мы этого малыша🙏Наш подарок на новый год🤰🎉Девочки всем вам желаю такого счастья😚😚😚Берегите себя🙏🙏🙏 
Мама двоих (7 лет, 3 года)
Москва
Мои поздравления, лёгкой беременности!!
У меня сегодня тоже 6 недель 3 дня
Но на УЗИ ещё не была, надеюсь там все хорошо)
0
29.12.2017
Ответить
Мама мальчика (7 лет)
Тюмень
Поздравляю!)))) Тоже сегодня была на УЗИ, и тоже 6 недель и 3 дня, и сердечко вовсю бъется, даже прослезилась)))) Растите здоровенькими))))))
0
29.12.2017
Ответить
Мама мальчика (6 лет)
Орехово-Зуево
Чудесная горошинка!Здоровья вам и малышу:)
0
29.12.2017
Ответить
Мама мальчика (7 лет), планирую беременность
Тольятти
Тоже планирую в 6 нед на узи))жду не дождусь
0
29.12.2017
Ответить
Мама троих (17 лет, 15 лет, 7 лет)
Москва
Ого какой человек уже большой! Поздравляю вас с хорошим узи!
0
29.12.2017
Ответить
Анапа
От душипоздравляю! Это лучший подарок на Новый Год!
0
29.12.2017
Ответить
Мама девочки (23 года), планирую беременность
Лениногорск
Чихните на меня а я словлю. Вперед Альметьевск😊😊😊
0
29.12.2017
Ответить
Мама троих (20 лет, 11 лет, 7 лет)
Костанай
Какая прелесть))Поздравляю. Легкой вам беременности
0
29.12.2017
Ответить
Мама девочки (7 лет)
Москва
Тихонечко Вас поздравляю!Спасибо за теплый пост!
0
29.12.2017
Ответить
Мама четырех (от 1 год до 16 лет)
Москва
Чудесно как!! Поздравляю!)))
0
29.12.2017
Ответить
Мама двоих (3 года, 6 лет)
Эмба
Тьфу на вас!!!💖 растите и крепчайте!!!👶🍼
0
29.12.2017
Ответить