Мама четырех (от 3 года до 28 лет)
Новогрудок
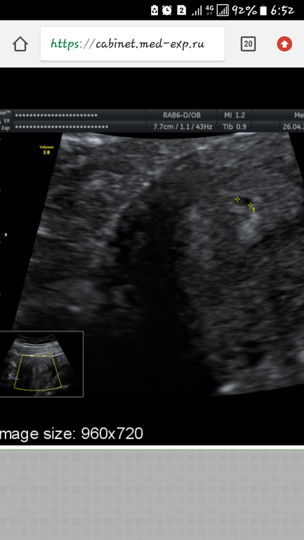
А заключения письменного нету? Только снимки? Ну лично я вижу замеры плодного яйца вроде как. Еще желточный мешочек.
0
28.04.2018
Ответить
Мама двоих (7 лет, 3 года)
Воронеж
Заключение-повторное узи через 2 недели.
А плодное яйцо видите-в матке?
0
28.04.2018
Ответить
Мама четырех (от 3 года до 28 лет)
Новогрудок
Ну насколько я поняла- в матке! А повторное узи Вам назначили видимо для того, чтобы уже найти эмбриончик и послушать сердечко.
0
28.04.2018
Ответить
Мама четырех (от 3 года до 28 лет)
Новогрудок
Все будет хорошо! Зато придете на повторное и уже малыша видно будет и сердцебиение!
0
28.04.2018
Ответить
Мама двоих (7 лет, 3 года)
Воронеж
Спасибо. Очень надеюсь что маточная беременность. А то они меня напугали-говорят что еще не известно-маточная или вб
0
28.04.2018
Ответить
Мама четырех (от 3 года до 28 лет)
Новогрудок
Вы конечно на мои заключения сильно не опирайтесь, я все-таки не врач. Я только предположила. Давайте просто надеяться, что все там, где положено и все будет просто ОТЛИЧНО!!!
0
28.04.2018
Ответить
Мама двоих (7 лет, 3 года)
Воронеж
Спасибо.чуть осталось и все будет ясно)))
0
28.04.2018
Ответить
Мама четырех (от 3 года до 28 лет)
Новогрудок
Удачи! С надеждой на лучшее!😊
0
28.04.2018
Ответить
Мама четырех (от 3 года до 28 лет)
Новогрудок
Странно...обычно врач все замеры указывает, срок... дает полное заключение. А у Вас просто "повторное узи через 2 недели"...
0
28.04.2018
Ответить
Мама четырех (от 3 года до 28 лет)
Новогрудок
Надо Вам было и заключение сфоткать, тогда картина была бы яснее.
0
28.04.2018
Ответить
Мама двоих (22 года, 10 лет)
Я вижу измерения пя в матке.почему вб?есть подозрения?
0
28.04.2018
Ответить
Мама двоих (7 лет, 3 года)
Воронеж
Да.мне сказали в яичнике 2 жт. И в трубе что то непонятное не поймут что пока
0
28.04.2018
Ответить
Мама двоих (22 года, 10 лет)
Я так понимаю что подозрение на второе пя.такое вполне возможно.толтко ждать.но одно пя у вас точно в матке
0
28.04.2018
Ответить


