ГСГ - Пузырев Алексей Николаевич
ГСГ, ЭХО, МСГ, ФертилоскопияДелала ГСГ у Пузырева А.Н. Очень понравился врач!
Принимает в Центре эндохирургии и литотрипсии «ЦЭЛТ» - шоссе Энтузиастов, д. 62.
Стоимость 10000р. Чтобы записаться нужно звонить в регистратуру клиники, там дадут номер мобильного телефона врача и с ним уже нужно созваниваться и договариваться лично. Доктор делает ГСГ по будням в первой половине дня. Процедура проводится с 6 по 10 день цикла. По поводу подготовки: тут тоже большой плюс - не нужно сдавать кучу анализов, достаточно одного мазка на флору.
С мазком у меня была история. Когда пошла сдавать анализ в лабораторию, у меня и на 7-ой день еще немного мазало, хотя обычно в этот день уже все чисто (возможно перенервничала), и анализ отказались брать, хотя в клинках по ДМС берут, а тут ни в какую. Позвонила врачу, сказала, что не успеваю сдать мазок т.к. в лаборатории отказали, как быть? Он ответил: приезжай тогда к 8-8:15 утра (запись была на 9 утра), я возьму сам CITO мазок (обошлось 700р).
На самом деле это огромный плюс, что с доктором есть постоянный контакт по мобильному телефону.
Искала врача по отзывам, звонила в разные клиники, но счастлива, что попала именно к Алексею Николаевичу.
Меня изначально лечащий врач из "Эммаклиник" отправил к Хачатуряну Артуру Н., говорил врач от Бога, но почитав о нем противоречивые отзывы и пообщавшись с девочкой, которая у него была, идти побоялась. Кстати, когда я ему звонила, он сказал, что сам эту процедуру не делает, но отведет меня в рентген кабинет, где сделают снимки, а он уже напишет заключение. А смысл тогда? Кто там работает и как делает не понятно - один стресс, короче. А тут хоть знаешь конкретно врача, который лично это делает и дает заключение.
На Опарина 4 - делает только один доктор Олейник, стоимость 9500 + анализы перед процедурой. По отзывам уже дедушка, но и то он в отпуске до середины августа, а 1,5 месяца ждать не могла.
Звонила в «Я здорова». Начиталась, что там работает клевая профессор Дубинская
Е.Д, но и она эту процедуру не проводит, она только консультирует после заключения и оперирует при необходимости. ГСГ делает другая доктор, в регистратуре дают её мобильный номер - звоните записывайтесь. Позвонила, стоимость она назвала неопределённую от 15000 до 40000 тыщ. Сказала зависит от сложности вашей ситуации, будет ли анестезия или нет, и от количества контрастного вещества. + к этому еще же стоимость анализов (ВИЧ, гепатиты и т.д.). В общем мне показалось, что сумма явно завышена.
Про саму процедуру: начитавшись комментариев шла на ГСГ бледная, очень боялась, ноги подкашивались, но по факту все оказалось не так страшно и больно. Да, это неприятно, но вполне терпимо. Я старалась больше и глубже дышать. Не знаю как это объяснить. Просто больше переживаешь и ждешь когда же начнется настоящая боль, про которую многие пишут, а потом тебе говорят: ну вот и все, а ты боялась.
У доктора очень заботливые, золотые руки. Он очень хороший, добрый, внимательный, подбадривал меня, успокаивал, отвлекал разговорами во время процедуры, комментировал, что делает. После процедуры немного кровило (начитавшись отзывов взяла с собой упаковку прокладок, но факту поменяла только 2) и сильно тянуло живот, как в первый день месячных, но боль прошла быстро в течении 10 минут. Доктор сказал это реакция брюшины на выход контрастного вещества. В течении дня проскальзывали легкие неприятные ощущения, но не критично, обошлась без обезболивающих и до и после. Мазало 5 дней.
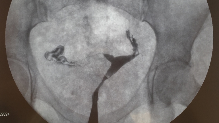
Результат: обе трубы проходимы, у правой вообще все хорошо, а левая извита и подтянута спайками за матку. В заключении доктор сказал, что лапара не помешает, но в целом можно пока не торопиться, месяца 3-4 попытаться забеременеть и с одной.
Кстати, что важно: во время процедуры доктор разглядел маленькое углубление в матке, сделал отдельный снимок этой ямки, сказал похоже на миоматозный узелок под вопросом, но делать с этим пока ничего не надо, если беременность наступит - то этот момент сам подлечится.
В конце прописал антибиотик на 5 дней против воспаления + противогрибковое средство. Воздержание от половой жизни 10 дней. Беременеть категорично только со следующего цикла, так как есть доза облучения и антибиотики.
Доктора рекомендую обеими руками сразу.
