Мама двоих (8 лет, 4 года), планирую беременность
Семей (Семипалатинск)
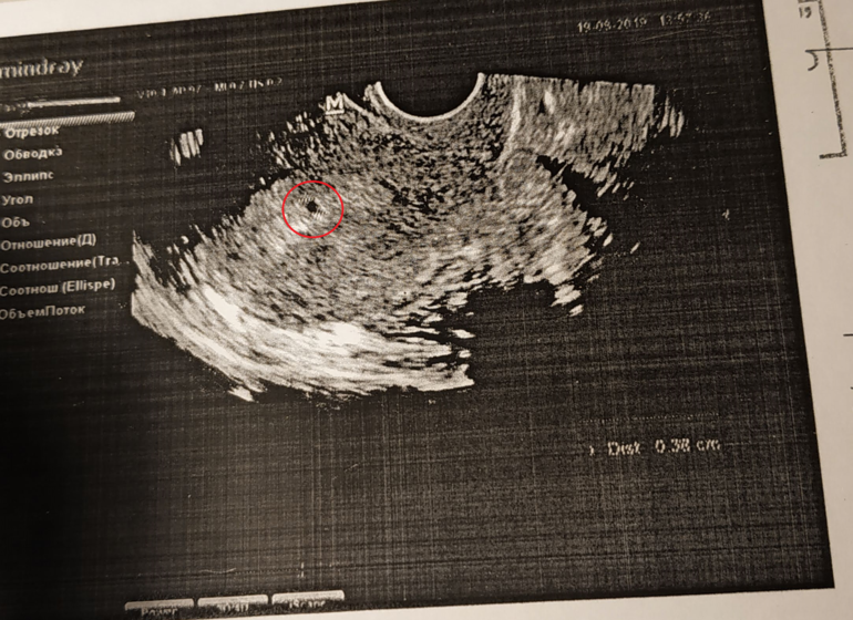
Беременность ли?
Здравствуйте, девочки. Разъясните мне, что на узи у меня увидели. Анэхогенное включение 3,8 мм. тесты отрицательные, хгч тоже отрицательно. А вот что на узи?) Узи делала где-то на 8-9 дпо. Видно ли вообще на таком сроке что-нибудь? Да и хгч должен ведь показать сразу
Грудь болит, живот тянет. Может киста какая? 

Мама мальчика (7 лет)
Новоукраинка
День овуляции точно знаете? Вообще пя в матке видно на УЗИ после 1000 единиц ХГЧ. Я бы думала на полип какой-нибудь или что-то в этом роде.
0
30.08.2019
Ответить
Мама троих (15 лет, 11 лет, 5 лет), жду мальчика, 16 неделя
Семей (Семипалатинск)
Точно не знаю. Так по ощущениям считаю) цикл у меня нерегулярный 35 - 45 дней(
0
30.08.2019
Ответить
Мама троих (15 лет, 11 лет, 5 лет), жду мальчика, 16 неделя
Семей (Семипалатинск)
беременность на ранних сроках под "?"
0
30.08.2019
Ответить
Мама девочки (6 лет), планирую беременность
Махачкала
Но при этом Вы сдавали хгч и было отрицательно. Вряд ли Б.
0
30.08.2019
Ответить
Мама двоих (9 лет, 6 лет)
Воронеж
Не беременность. На 8-9 ДПО размер оплодотворённой яйцеклетки меньше миллиметра.
0
30.08.2019
Ответить
Мама троих (15 лет, 11 лет, 5 лет), жду мальчика, 16 неделя
Семей (Семипалатинск)
Будем думать..
0
30.08.2019
Ответить
Мама мальчика (9 лет)
Кривой Рог
При отрицательном ХГЧ это не беременность. Да и не увидели б на таком сроке. Посмотрела в инете возможные причины, вот что нашла : эндометриоз в полости матки, киста матки, узловая миома. Нужно смотреть в динамике, будет ли расти, как будет вести себя дальше.
0
30.08.2019
Ответить
Мама двоих (23 года, 5 лет)
Сочи
Слишком кругло для полипа или кисты... Переделайте узи на 7-8дц. Если полип, чуть подсдуется-форму поменяет после месиков. Вообще лучше узи переделать у того, кто скажет что это
0
30.08.2019
Ответить
Мама двоих (18 лет, 6 лет)
Киев
Нет,точно не б,на 9 ДПО там десятки миллиметра
0
30.08.2019
Ответить
Мама двоих (16 лет, 5 лет)
Берлин
На 8-9 дпо узи не покажет😣 а вот хгч если И к тому моменту произошла, да!
0
30.08.2019
Ответить
Мама девочки (6 лет), планирую беременность
Махачкала
Врач Вам что сказал?
0
30.08.2019
Ответить