Как такое возможно?
Хочется послушать ваши теории. О отслежена по узи и тестами Овуплан, на 7 дпо чётко чувствовала имплантацию, морозило, болел правый яичник, кололо в матке, слабость, диарея, частое и болезненное мочеиспускание и так пару часов, потом отпустило. На 8 дпо, утром тест показал первую полоску (фото прилагаю), 
на 9 дпо уже все увидели.
20 дней тесты были со слабой полоской, которая к 19 дпо почти пропала, 19 дпо сдала хгч пришёл 76, при том, как у других за 300.

Все сказали, что бхб и так как сдача хгч - процедура не дешевая, я не стала повторно сдавать и ждала М. Их всё нет, потом случайно на 26 дпо сделала тест, убедиться что он пустой, а там бордовая полоса.
На 19 дпо хгч был 76,
на 24 дпо 441.
26 дпо 800. Растёт не активно, с трудом удваивается.
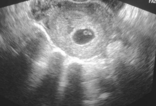
Сегодня 33 дпо, по месячным 6.6 недель, по моим подсчетам 6.3, т. к. цикл 26 и О позже на 2 дня. На узи всё развивается, нашли ПЯ 8 мм, желточный мешок, ктр 1,5 мм.

Такой низкий хгч на 19 и 26 дпо, когда у других уже за 300 и 5 тыс., объясняется тем, что и по узи эмбрион опаздывает дней на 10. Но как такое возможно, если тест показал на 8 дпо?
Теория с поздней О и имплантацией отменяется. Так как если О была позже, то тесты показали ещё раньше, чего быть не может. 8 дпо итак рань раньская. Фоликов других не было.
Даже если предположить, что О была позже на пару дней, это всё равно не компенсирует опоздание в 10 дней. Кстати, ПА был 1 раз, в день вычисленной О.
Я ничего не понимаю.
Почему так, что скажете? Хочется послушать ваше мнение.
Лучший ответ