жду мальчика, 9 неделя
Москва
УЗИ на 7-8 неделе , метод Рамзи?
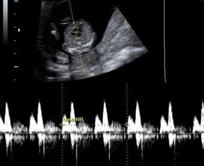
Доброе утро, девочки 💓 Сегодня было контрольное узи, пока трансвагинально, но думаю следующее уже будет через живот.
По месячным срок 6+4
ПЯ 27 мм (8н0д)
КТР 8,9 мм (7н0д)
ЖМ 4,6 мм
Хорион 5 мм
ЧСС 157 уд/мин (я засняла на телефон, чтобы мужу дать послушать, пока он в командировке)
Прикрепление по левой передней стенки? Это что значит? Живот появился быстрее? Объясните пожалуйста 😅
И попятно кто по методу Рамзи то будет?
P.S. Спустя 1,5 года в браке я все таки сменила фамилию , заплатив небольшой штраф))




Мама двоих (13 лет, 6 лет)
Москва
Не у всех этот метод работает))
Да, по передней стенке живот скорее появляется.
0
26.03.2021
Ответить
Мама двоих (4 года, 2 года)
Москва
Юлия Sonnце, а если наложить вздутие от прогестерона на это быстрее 😂 будет огонь 🔥
0
26.03.2021
Ответить
Мама двоих (9 лет, 4 года)
Мама
Кристина Лунева, Не верьте никому))) С первой дочкой прикрепление было по передней стенке, а рожать пошла с маленьким животом)))) Все в рд думали, что я на сохранении лежу))))) Сейчас вторая дочь по задней стенке и в 22 недели живот почти как тот, с которым рожать пошла первый раз))))) По Рамзи тоже ничего не совпало, поэтому во вторую беременность просто ждала узи и ничему больше неверила)))))
0
26.03.2021
Ответить
Мама двоих (4 года, 2 года)
Москва
Женечка, хаха) ой а я так тащусь от примет и прочего, ну именно не в серьезно воспринимать , а только по фану) а ещё совпадёт или нет, в тотализатор с мужем играем)
0
26.03.2021
Ответить
Мама четырех (от 9 месяцев до 4 года)
Пермь
А зачем узи контроль через 2 недели? Все же вроде хорошо. Обычно оставляют сразу до скрининга ходить после того как сердечко услышат.
0
26.03.2021
Ответить
Мама двоих (4 года, 2 года)
Москва
Рита, у меня небольшая киста осталась за яичниковом, функциональная) глянуть рассосалась или нет)
0
26.03.2021
Ответить
Мама четырех (от 9 месяцев до 4 года)
Пермь
Кристина Лунева, ааа, у меня тоже была, но мне сказали даже не обращать на нее внимание, мол рассосется, куда она денется))
0
26.03.2021
Ответить
Мама двоих (4 года, 2 года)
Москва
Рита, да, но ему интересно) и мне тоже) это игра в тотализатор) в беременность я стала очень азартной 🤪
0
26.03.2021
Ответить
Мама четырех (от 9 месяцев до 4 года)
Пермь
Кристина Лунева, я еще в это время вообще не ощущала себя беременной. Вернее я очень хотела себя таковой ощущать. Даже казалось перепады настроения есть. Агаааааа... Не знала я что будет с 10-12 недели))
0
26.03.2021
Ответить
Мама двоих (4 года, 2 года)
Москва
Рита, а я сдаю хгч только, в надежде все таки ощутить себя беременной) жду волшебство) а пока даже видя картинку на узи, я не сопоставляю, что этот малыш внутри и я беременна))
может после рождения придёт?😝
0
26.03.2021
Ответить
Мама двоих (16 лет, 5 лет)
Берлин
По рамзи у меня две девочки😅 позже +\- 9 недель, можно по форме головы погадать, ну а к 12 неделе по бугорку😅
0
26.03.2021
Ответить
Мама двоих (4 года, 2 года)
Москва
Катя, по форме головы... Катерина, вы открываете мне совсем новые методы 😂😘 так и будем гадать 🤣 по кровь на пол не придет
0
26.03.2021
Ответить
Мама двоих (16 лет, 5 лет)
Берлин
Кристина Лунева, у мальчиков типо лоб угловат, а у девочек круглый.
0
26.03.2021
Ответить
Мама двоих (4 года, 2 года)
Москва
Катя, И даже сейчас можно сказать по голове, что барышня 😂
0
26.03.2021
Ответить
Мама двоих (16 лет, 5 лет)
Берлин
Кристина Лунева, вот смешные мы, чего только не придумаем 😅 хорошо что сейчас есть такие технологии, а ведь раньше родов ждали чтобы узнать кто🤣
0
26.03.2021
Ответить
Мама двоих (4 года, 2 года)
Москва
Катя, ой, ждать до родов это кажется таким долгим 🤪
0
27.03.2021
Ответить
Мама девочки (6 лет)
Новороссийск
Очень похоже на девочку. Не знаю что там этот Рамзи... Его метод 60 на 40 работает, а по кардиограмме сердечко бьется двойным ударом - как у девочек. Было 2 разнополых Б, у сына билось отчётливо, и на снимке было видно, будто ряд ромбиков...
А у дочери один стук дублировался 2 раза.
А у дочери один стук дублировался 2 раза.
0
26.03.2021
Ответить
Мама двоих (4 года, 2 года)
Москва
Катя, вот такой метод предположения пола я еще не встречала)) но очень интересно)
0
26.03.2021
Ответить
Мама девочки (5 лет)
Анталия
У меня в 7 недель было ещё трансвагинальное а в 9 недель уже по животу смотрели. Сразу ощущаешь свою беременность более серьёзно как то))) по Рамзи не подскажу, я так и не разобралась в нем, зато скажу так: по всем таблицам, приметам и снам у нас должен быть мальчик, но с 12 недели многочисленные узи твердят что девочка и ошибки быть не может)
Не знаю как в России, но в принципе прикрепление слева-справа-спереди-сзади для развития беременности абсолютно ничего не значит, а что ещё нам надо? У нас вообще не говорят. Помню, примерно на твоём сроке спросила у врача где у меня прикрепление, он сказал в центре. Наводящие вопросы не помогли) а недель в 26 спросила где плацента и узнала что она "в самом лучшем месте" и все у меня хорошо. Ну а мне больше и не надо! Пускай у тебя все будет хорошо!
0
26.03.2021
Ответить
Мама двоих (4 года, 2 года)
Москва
Katerinka, врач попробовал через живот, но чет никак еще)) А у меня по всем таблицам, хгч, обновлению крови - девочка, ну и по методу Рамзи, все таки узи трансвагинального , значит надо отзеркалить ЖМ) ну и даже тут девчушка)
хочу в 11 недель сдать кровь исключительно на определения пола)
Интересная конечно у вас там политика ведения и узи)) в центре и в самом лучшем месте - этого достаточно 😘
Взаимно, пусть у нас все будет хорошо ☺️
0
26.03.2021
Ответить
Лос-Анджелес
Такой очаровательный комочек 🥰!
Пусть будет тот, кого вы хотите 😽🤗😘(💯 процентов уверена, что уже безумно любите этот комочек Счастья 💗)
Лёгкой беременности и благополучных родов в срок и конечно же самое главное, здорового ребёночка на ручки 🙏🏻💐🌹
0
26.03.2021
Ответить
Мама двоих (4 года, 2 года)
Москва
Виктория, да, уже видно где позвоночник, где голова и будущие ножки 😍❤️ уже безусловно любим и ждем в середине ноября 2021, постоянно это повторяю, чтобы сидел сколько положено, а не решил по раньше увидеть нас😁
Благодарю❤️
и заразительно на Вас чихаю, пусть и в у Вас в 2021 году придет малыш 🤰🏽
0
26.03.2021
Ответить
Лос-Анджелес
Ооу, так у вас Скорпиончик ожидается в середине ноября, обожаю их, сильный знак со стержнем ✊🏻✌🏻🥰!
Да, на фоточках видно, что человечек растет полным ходом и уже умеет очаровывать 🤗🤩!
Спасибо большое, за очень искренние пожелания 😘😻💗
0
26.03.2021
Ответить
Мама двоих (4 года, 2 года)
Москва
Виктория, Ждем скорпиончика, у меня друг единственный скорпион в окружение, ох и горячий мужчина 🔥
Да будет так! Жду твое фото с узи с малышоочком в этом году ❤️
0
26.03.2021
Ответить
Мама девятерых (от 3 года до 23 года)
Сызрань
Да ничего это не значит)) просто плод так прикрепился. У кого-то по передней, у кого-то по задней, у кого-то в дне матки, у кого-то ближе к выходу.🤷♀️Легкой вам Б и родов.
0
26.03.2021
Ответить
Мама двоих (4 года, 2 года)
Москва
Наталья, благодарю 💕 я просто встречала на прострелах ВВ, что если по передней, то шевелюшки позже можно опознать) так все это здорово)
0
26.03.2021
Ответить
Мама двоих (8 лет, 4 года)
Москва
В 6+4 мы были всего 4 мм)) большие вы 🥰 но вот в 8 недель сейчас 1 см 7 мм уде мы 😍 так интересно тоже кто же у нас, по обновлению крови девочка по таблице мальчик по рамзи мальчик 😂😂 но кстати с сыном по обновлению крови сошлось. Вообще хочу девочку, но наверно там мальчик)) хочу тоже сдать кровь на пол, в 10-11 недель, если, конечно, подучится, так как у мужа же не попросишь, сюрприз хочу сделать 😂🙈 вот накоплю если сделаю, но очень хочется 🙏 удачной беременности Вам 🥰🥰🥰
0
26.03.2021
Ответить
Мама двоих (4 года, 2 года)
Москва
Жанна, и тебе удачной беременности и родов в срок 🤰🏼😍
я тоже свои планирую тратить, потому что я даже не поднимала с ним тему, чтобы кровь сдать и узнать пол до скрининга) а то весь сюрприз не выйдет) я вообще решила сделать этот тест, но чтобы пришли на почту подруги) она уже выберет дымовуху нужную и нам подарит 💓🤪 я решила, что хочу тоже сюрприз)))
к мамы мы две дочки сошлись вот по этой таблице) а по обновлению крови нет) а про метро рамзи она была не в курсе)
а я хотела Виктора, но чувствую будет Виктория 👧🏽
0
26.03.2021
Ответить
Мама двоих (8 лет, 4 года)
Москва
Кристина Лунева, вот да, так интересно кто у Вас))) да и у меня 😂😂 ну жду Вашего поста с результатом теста 😍😍 и я надеюсь тоже сделаю его)))
0
26.03.2021
Ответить
Мама двоих (4 года, 2 года)
Москва
Жанна, надеюсь мы сделаем обе его и порадуемся нашим результатам вместе ❤️
0
26.03.2021
Ответить
Мама двоих (10 лет, 4 года)
Киев
Отличные новости 😍
А самой интуиция, что подсказывает по поводу пола?)))))
0
26.03.2021
Ответить
Мама двоих (4 года, 2 года)
Москва
Lola Moore, девочка) мне и всему окружению) хотя муж все таки ещё ждёт Виктора, а не Викторию , где то в глубине души 😅
0
26.03.2021
Ответить
Мама двоих (10 лет, 4 года)
Киев
Кристина Лунева, у меня сын Виктор) Отличное имя 👍🏼
И как показывает реальность - очень редкое)))) у нас в окружении знакомых и в садике нету ни одного Витюши))
0
26.03.2021
Ответить
Мама двоих (4 года, 2 года)
Москва
Lola Moore, а я его хочу , потому что в Венгрии очень популярное) просто на ТИбор и ГАбор имена, муж ни в какую 🤪 но нашла компромисс
0
26.03.2021
Ответить
Мама девочки (5 лет)
Тула
У меня по методу рамзи все наоборот получилось))
0
26.03.2021
Ответить
Мама двоих (4 года, 2 года)
Москва
Наталья Будумамой, этот метод , как Гадание на кофейной гуще, но так прикольно все равно)
0
26.03.2021
Ответить
Мама девочки (5 лет)
Тула
Кристина Лунева, ну вроде как есть научное объяснение этому методу, там как то эмбрион притягивают я к той или иной стороне матки в зависимости от пола. Я даже уже была уверена, что мальчик, а оказалась девочка))
0
26.03.2021
Ответить
Мама двоих (4 года, 2 года)
Москва
Наталья Будумамой, вот так вот) интересно все таки , как в реальности будет)
0
26.03.2021
Ответить
Мама троих (23 года, 13 лет, 5 лет)
Феодосия
Живот раньше появится и будет больше, чем по задней, но вот шевеления будут ощущаться позже
0
26.03.2021
Ответить
Мама двоих (4 года, 2 года)
Москва
Алла, он уже к вечеру такой заметный из-за вздутия 😁
0
27.03.2021
Ответить
Мама троих (23 года, 13 лет, 5 лет)
Феодосия
Кристина Лунева, у меня в первую беременность по задней в 24 недели только появился; во вторую в 16 по задней; в третью по передней с 6 недель
0
27.03.2021
Ответить
Мама двоих (4 года, 2 года)
Москва
Алла, вот у меня 7-8 неделя и с утра снижу такой бугорок будто, а к вечеру прям конкретно раздувает живот, видимо от прогика) Конечно если втянуть, то анорексичка 😂 но это если с утра без еды втянуть) благо по весам даже -1 кг из-за того, что погода хорошая и я до метро пешком 3 км хожу, а не на трамвае😁
0
27.03.2021
Ответить
Нижневартовск
Мне почему-то кажется, что у вас мальчик будет)) Главное, пусть родится в срок здоровеньким малыш😊🥰
0
26.03.2021
Ответить
Мама двоих (4 года, 2 года)
Москва
Ксения, да главное пусть здоровенький) хотя есть такакая тема, как Группы крови, у нас с мужем у обоих 1+, а ещё другая а обновлением крови и у кого кровь «свежее» из родителей , тот пол и будет) вот по этим двум теориям - девочка 👧🏽
0
26.03.2021
Ответить
Мама мальчика (4 года)
Пенза
У меня и по хгч и по чсс было как на девочку) да и лицо поплохело, все говорили наверно девочку ждешь? Сволочи😡 а то я сама себя в зеркало не видела) опухла вся, на первом узи тоже сказали 80-90% девочка, подтвержив все мои ожидания... но у нас мальчик) чему я очень рада, всегда хотела быть мамой мальчика
0
26.03.2021
Ответить
Мама двоих (4 года, 2 года)
Москва
Карина, ой, ну значит мальчик будет очень красивый 😍 раз красота к нему ушла) приятные такие сюрпризы 🤰🏽
0
26.03.2021
Ответить
Мама троих (15 лет, 7 лет, 9 месяцев)
Балашиха
У меня первая была по задней стенке, вторая по передней. Живот рос одинаково. Разницу я заметила только в том, что с прикреплением по передней допплер через живот начал позже считывать пульс, плацента мешала.
0
26.03.2021
Ответить
Мама двоих (4 года, 2 года)
Москва
Linda B, вот я слышала, что если по передней , то и шевелюшки я позже начну различать) ну посмотрим) пока мне отменно дует живот от прогика, как и во вторую фазу было)
0
26.03.2021
Ответить
Минск
Заметила,если сердцебиение больше 140 то вероятнее мальчик,но тут тоже 50/50
0
26.03.2021
Ответить
Мама двоих (4 года, 2 года)
Москва
Наталия, да все эти методы 50/50) просто интересно, что совпадает, а что нет)
0
26.03.2021
Ответить
Мама двоих (16 лет, 4 года)
Алькамо
А что значит, что развитие плода на столько опережает срок фактический беременности, не сказали?
0
26.03.2021
Ответить
Мама двоих (4 года, 2 года)
Москва
Liana, нет, сказали, что все показатели в норме и просто прикрепился рано, вот и растёт не по дням, а по часам)
в среду сдала хгч (47тыс) уже) сдала чисто фор фан для себя)
0
26.03.2021
Ответить
Мама четырех (от 6 лет до 23 года)
Хэдэра
И по хгч вроде как девочками вас))) с девочками быстро растёт ☺️
0
26.03.2021
Ответить
Мама двоих (4 года, 2 года)
Москва
Илона Богач, кстати да) может быть это Виктория все таки)
0
26.03.2021
Ответить
Мама двоих (24 года, 15 лет), планирую беременность
Химки
Слева- мальчик, справа -девочка. Вот и проверьте! А так, главное же, чтоб здоровенький!
0
26.03.2021
Ответить
Мама двоих (4 года, 2 года)
Москва
Светлана Никиткова, да, в начале мая и узнаём) интересно совпадёт или нет)
0
26.03.2021
Ответить
Мама двоих (4 года, 2 года)
Москва
Yana, было бы круто) в инвитро пойду на 10-11 неделе сдать кровь чисто на пол)
0
26.03.2021
Ответить