Нижний Новгород
Фолликулометрия. Как такое может быть 😔
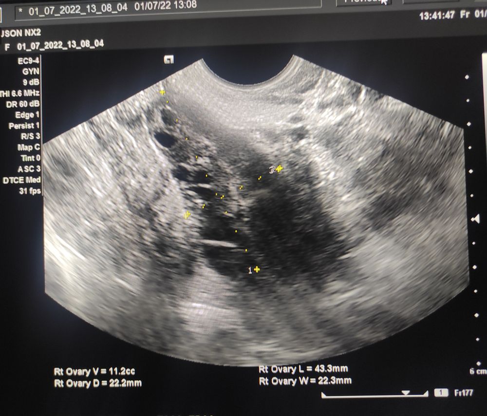
Девочки, кто сталкивался, подскажите, что это может быть. К врачу попаду только на следующей неделе... В понедельник 15дц на узи эндометрий 8.5, дф в пя 18мм, в среду эндометрий 9.5 дф в пя 22мм. Узист ушел в отпуск, пошла сегодня на другой аппарат, эндометрий 6.5 , дф в пя 22.2 х 21.1 . Сказали типа уменьшился эндик и дф. Не поверила, пошла ещё на один аппарат, спустя 2 ЧАСА - жидкости в позади маточном пространстве нет, дф - ВООБЩЕ НЕТ. Говорят регресс 😑. Как такое может быть за 2 часа😐
Мама мальчика (5 лет)
Санкт-Петербург
Разная квалификация узистов и разные аппараты, что дает разные результаты. Достаточно часто встречаются ошибки на узи.
Мне в беременный цикл, например, сказали, что овуляция уже прошла и стараться забеременеть уж поздно. Хорошо хоть я не поверила. Перепутали ДФ с ЖТ 🤦♀️
Также находили несуществующий полип И пытались отправить на гистеру, и даже пытались убедить меня в беременности сразу после замершей, когда я пила контрацептивы... ой, фантазеры...
У вас какая длина цикла? Цикл регулярный? Может, застали овуляцию и начали путаться?
0
01.07.2022
Ответить
планирую беременность
Нижний Новгород
Арина С, вот на 19 20 день всегда овуляция. В том то и дело, в 12 часов на узи дф есть, не круглый, вытянутый немного, спустя 2 часа его вообще нет! Как такое может быть. Она мне и снимок сделала, что его нет, и снутри и снаружи смотрела, и на живот давила, нет нигде. И жидкости нет. А до этого я своими глазами видела этот фолликул😭
0
01.07.2022
Ответить
Мама мальчика (5 лет)
Санкт-Петербург
Каролина В, покажите фото с 1 и 2 этих узи.
Мое предположение: лопнул фоллик 😊 Сходите через пару дней на узи, думаю, найдут жт
Еще можно тест на овулю сейчас сделать и глянуть какой там лг. Если повышен, то ну точно овуляция
0
01.07.2022
Ответить
планирую беременность
Нижний Новгород
Арина С, с 1 и 2 не делали фото, 3 УЗИ сегодня своими глазами видела фолликул. 4 УЗИ сегодня вот фото, это где не увидели ничего
0
01.07.2022
Ответить
Мама мальчика (5 лет)
Санкт-Петербург
Каролина В, я и имела в виду 3 и 4 узи) а с 3 нет фото? Я просто хотела посмотреть на форму дф и насколько ровные края.
0
01.07.2022
Ответить
планирую беременность
Нижний Новгород
Арина С, к сожалению, нет ( но он был неровный. 22.2 на 21.1. но был
0
01.07.2022
Ответить
Мама мальчика (5 лет)
Санкт-Петербург
Каролина В, пойдете еще на узи? Напишете результат? Интересно, что же в итоге. Думаю, всё же овуляция
0
01.07.2022
Ответить
планирую беременность
Нижний Новгород
Арина С, завтра пойду ещё на одно УЗИ. И в понедельник туда, где была 3й раз. Напишу. Мне самой интересно. Грудь стала болеть, увеличилась...
0
01.07.2022
Ответить
Мама мальчика (5 лет)
Санкт-Петербург
Каролина В, можно предположить, что это действие прогестерона, значит, овуля была все же. Я бы рекомендовала чуть попозже на узи сходить, чтобы ЖТ полноценно сформировалось
0
02.07.2022
Ответить
планирую беременность
Нижний Новгород
Арина С, в понедельник записана
0
02.07.2022
Ответить
планирую беременность
Нижний Новгород
Арина С, была сегодня на узи. Жидкости нет. И врач сказал, что возможно, что другие два врача за доминантный филликул приняли гроздь маленьких. Что типа жёлтого тела нет. И есть темное пятно, похожее на гроздь фолликулов. Причем вчера на втором УЗИ этого не было... Короче ничего не понятно😐
0
02.07.2022
Ответить
Мама мальчика (5 лет)
Санкт-Петербург
Каролина В, ой не представляю как за дф можно принять несколько фолликулов, да еще и два врача. Конечно, каждый врач считает, что прав он. Может, это другие фоллики еще. Скорее уж поверю в регресс ДФ
0
03.07.2022
Ответить
планирую беременность
Москва
Лучше отслеживать все на одном аппарате с одним врачем. Теперь только переделывать. У меня, когда отслеживала свершение О, однажды на узи сказали эндик 6мм, жт 9мм. Я в шоке была, не поверила. Пошла на след день в др мед центр на узи. В итоге эндик 8,5мм, жт 22мм - все как и должно было быть в моем случае. Не мог же эндик вырасти на 2,5мм, ж жт на 13мм за один день🤦♀️
От аппатата и всевидящего узиста многое зависит) нужно еще и узиста своего найти с правильными глазами)
0
01.07.2022
Ответить
планирую беременность
Нижний Новгород
Котенок77, это точно, но так вышло, что врач вышел в отпуск( теперь я в полном замешательстве😐
0
01.07.2022
Ответить
планирую беременность
Москва
Каролина В, тут только еще раз через пару дней переделать в др месте🤷♀️
0
01.07.2022
Ответить
Мама мальчика (14 лет), планирую беременность
Воркута
Легко. Узисты - те еще затейники, неуч на неуче сидит и что не видит, то допридумывает. Очень-очень мало настоящих спецов, умеющих пользоваться аппаратурой, настраивать её и расшифровывать картинку. Пойдёте в четвёртое место - вообще три кисты и полип найдут 🤦♀️. Поэтому каждое УЗИ - максимум 70% доверия, остальное - время покажет в итоге.
0
01.07.2022
Ответить
планирую беременность
Москва
сдать обязательно прогестерон, тогда точно будет ясно была овуляция или нет. Сдайте в следующий четверг. Это по идее должен быть где-то 7ДПО
0
01.07.2022
Ответить
планирую беременность
Нижний Новгород
Lexsi, обязательно сдам. Но все не так, как надо( мне дюф после овуляции надо пить, видимо не придется. Вообще не знаю как быть
0
01.07.2022
Ответить
планирую беременность
Нижний Новгород
Каролина В, вчера был 7дпо(если то была овуляция, на узи я забила больше не ходила) и мазануло пару раз розовым... Я подумала ну все сбой, пришли раньше. Сегодня пусто...
0
09.07.2022
Ответить