Войти

Как на узи выглядит пл.яйцо 5мм?

0
6
Мама двоих (3 года, 10 месяцев) Афины
В 4 недели нет никакого смысла ходить на узи, там ничего толком рассмотреть ещё не могут. Если не терпится, то лучше по хгч мониторить. Боль в яичнике - это нормально, подозревать вб в первую очередь стоит по мазне, затем уже болит. Если не мажет, не кровит, боль терпимая, просто ждите хотя бы 6,5 недель беременности чтобы все четко увидеть. У вас и так уже видно образование в матке, 99% что не вб.
0
10.03.2024
Мама мальчика (1 год) Екатеринбург
Eliza, спасибо за ответ! мне хотелось убедиться что беременность маточная, в первую очередь из за болей в крестце. Это совет гинеколога, при хгч 1200 и выше сходить посмотреть. Плюс уж очень рано начал тест полосатиться, на 4 дпо я уже чувствовала имплантацию. Мне казалось за такое время никак не может до матки дойти, даже на 5 дпо считается очень ранняя, вдруг где то в трубе осело.
0
10.03.2024
Мама двоих (3 года, 10 месяцев) Афины
Ирина, не переживайте, вб - не такая распространенная патология и она не бывает бессимптомной. При вб всегда есть мазня, или кровотечение, рост хгч сомнительный, болевые ощущения специфические. Если у вас нет никаких выделений, и хгч нормально растет, то и переживать не стоит. Боли могут быть, особенно на ранних сроках, я тоже в прошлую б помчалась к врачу ещё до задержки из-за болей в яичнике, я и не знала, что беременна. Узи тоже ничего не показало, только функциональную кисту. Ну позже я уже поняла, почему болело. И долго ещё то живот тянуло, то поясницу, то справа кололо, то слева.
0
10.03.2024
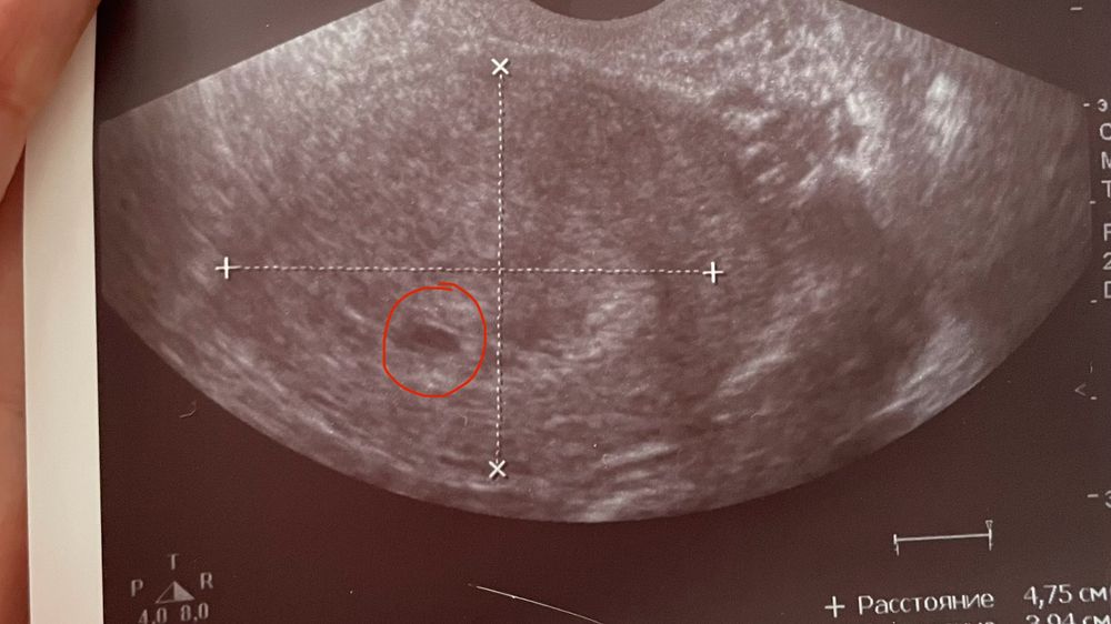
Мама мальчика (14 лет) Воркута
Изображение По моему оно и было 5 мм
0
10.03.2024
Мама мальчика (1 год) Екатеринбург
Виктория, спасибо!
0
10.03.2024
Мама двоих (5 лет, 1 год) Тюмень
Изображение тут пя-4мм
0
10.03.2024
Пособие по беременности при инвалидности УЗИ 6 нед 3 дн

Похожие записи