Мама двоих (3 года, 1 год)
Павловск
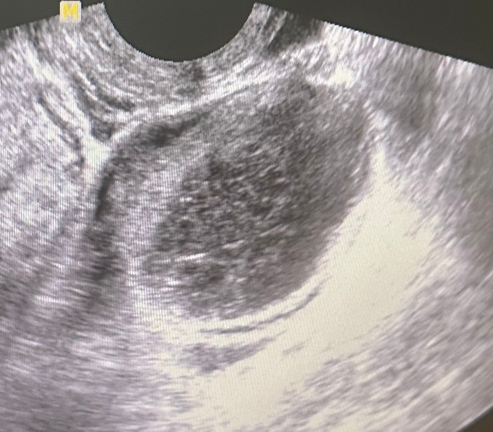
На эндометриоидную. Дисперсное содержимое характерного вида
0
27.06.2025
Ответить
планирую беременность
Казань
Ольга, если честно сомневаюсь что это именно эндометриоидная киста , не похоже на кисту желтого тела ?
0
27.06.2025
Ответить
Мама двоих (3 года, 1 год)
Павловск
Лиана, может узи такое не очень, но жт несколько более контрастно выглядит, а не таким серым содержимым. Их дифференцируют при сомнениях тупым наблюдение пару циклов: если уменьшается, значит не эндометриома ))
0
27.06.2025
Ответить
