Замерзшая?!
Делала узи 24.06 :
СВД: 6,9 мм - 3 недель 2 дн.
КТР: нет мм - недель дн.
Сердцебиение: не определяется
Желточный мешок: нет мм.
Хорион: циркулярный, без отслойки, толщина: 2,7 мм.
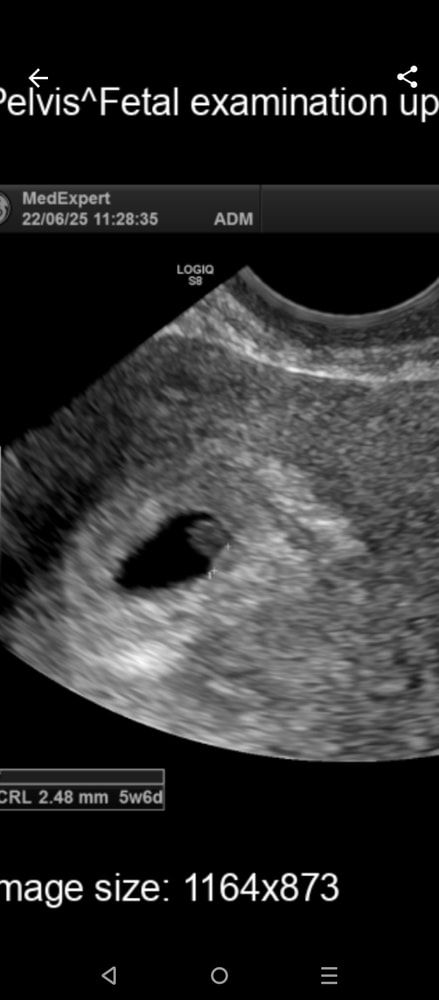
и еще узи… сегодня, от 30.06:
Эндометрий: гравидарный 15мм;
Полость матки:
плодное яйцо свд-15мм,
эмбрион 2,5 мм контуры нечетко , длина 2,5 мм , с/б +
ЖМ - 2,5 мм
врач молча намекнула на то что плод замирает…. Тип эмбрион нечеткий…
либо сказала срок маленький
фото прикрепляю
Лучший ответ
Ксения
Мама троих (12 лет, 8 лет, 9 месяцев)
Севастополь
Че за врач такая ….? 😡 Все нормально у вас! Какое ей надо с/б при эмбрионе 2 мм!? С ума сошла она что ли. Сердечко только начинает биться. Какие там контуры на таких размерах. Не переживайте! Все хорошо у Вас!
0
30.06.2025
Ответить
Мама троих (12 лет, 8 лет, 9 месяцев)
Севастополь
Ксения , у многих еще на таком размере эмбриона нет с/б вообще.
0
30.06.2025
Ответить
Мама двоих (3 года, 3 месяца)
Воронеж
Знаете как выглядел мой товарищ в 2,5мм?
Я в принципе была в шоке, что узистка его под желточным мешочком разглядела
0
30.06.2025
Ответить
Мама троих (17 лет, 5 лет, 4 года)
Минск
Никакая не замершая,это нормальная прогрессирующая беременность раннего срока, эмбрион только появился,могли вообще не разглядеть,а у вас даже сердцебиение есть и динамика по УЗИ отличная
0
30.06.2025
Ответить
Мама троих (16 лет, 11 лет, 3 года)
Новокузнецк
Переделайте в другом месте через неделю две... Темнов, Столь, Елесина.
0
01.07.2025
Ответить
Мама двоих (3 года, 3 месяца)
Набережные Челны
Ну и узистка... слов нет. Обходить это клинику стороной. Все у вас хорошо!
0
30.06.2025
Ответить
Мама пятерых (от 8 месяцев до 16 лет)
Владимир
Все у вас должно быть хорошо, срок маленький. Растите дальше!🙏🤞
0
30.06.2025
Ответить
планирую беременность
Астрахань
Глупости.Все у вас хорошо.Срок просто маленький
0
30.06.2025
Ответить
Мама девочки (6 лет)
Новокузнецк
Спасибо большое всем за поддержку , надеюсь все хорошо будет 🥰
0
30.06.2025
Ответить
жду мальчика, 27 неделя
Омск
Даже намека на зб нет. Рост пя хороший, эмбрион, сердцебиение. Все хорошо
0
30.06.2025
Ответить
Мама мальчика (3 месяца)
Вологда
У вас разница неделя. Все у вас хорошо. Не торопите события. Верьте в лучшее.
0
30.06.2025
Ответить