6 недель и 6 дней
У нас получилось! Я беременна!Доброго времени суток дорогие девушки! Наконец-то состоялся мой первый визит к гинекологу! Беременность подтвердилась, хотя лично у меня никаких сомнений не было, т.к. токсикоз меня мучает просто нещадно! Своего женского врача я знала, с ней же планировала беременность, поэтому она разделила со мной эту радость, и вообще, общаюсь я с ней очень легко, наиприятнйшая женщина!
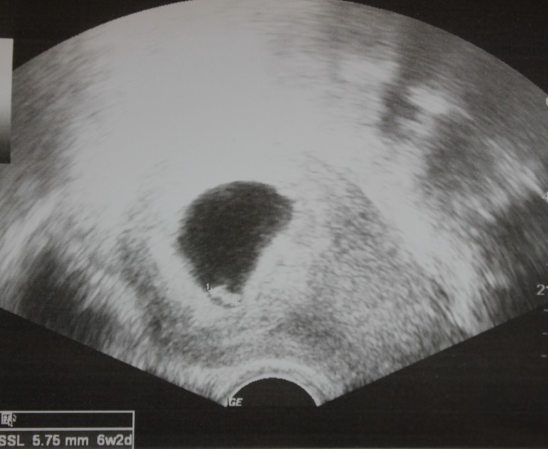
Сначала состоялся разговор, когда я узнала обеременности, о самочувствии, а далее предложила сделать узи, по моему желанию с моим МЧ! Малюточку нашла сразу же... сказала, что прикрепилась в хорошем месте. (я в этом совершенно ничего не понимаю, девочки, кто-то может сказать что-то более подробно о месте прикрепления?) А далее показала сердцебиение... я смотрела во все глаза и улыбалась))) Такие странные чувства!
Еще сказала, что клеточка выходила с левого яичника.
А вот и наша первая фотография! Кто бы мог подумать, маленькая кнопочка внизу черного пространства это и есть наш малыш))) 

Далее, подходя к расчетам, доктор сказала, что по размерам мы отстаем примерно на 3-4 дня если считать от последних месячных. Но сказала, что пока оставим как есть, все таки впереди еще много наблюдений! Прийдя домой и начитавшись, немного волнительно... почти полных 7 недель, а кнопочка всего 5,75 мл. Девушки, а какие у вас были размеры на таком сроке?
В общем, сказала все впорядке, предложила поставить нас уже на учет,т.к. сердцебиение есть, но посоветовала подождать до 11 недель, т.к. если я сейчас пройду все обследования, на 11 неделе мне придется все анализы оплачивать полностью самой. Я естественно согласилась, так что следующий визит к врачу у нас 22 сентября.
О состоянии: одим словом ужас(((( тошнит меня целыми днями, начинаю есть, на 4-5 глотке останавливаюсь, т.к. чувство, что еще чуть чуть.. и все...! При чем в то же время в животе такое адское чувство голода! От такой дисгармонии я целыми днями унылая туча. Пару раз ревела.. т.к. кажется иногда просто нет сил... такое состояние меня изматывает нереально! Но эту неделю еще как-то живу, а со следующей мне на учебу... я вообще не представляю как буду по 8 часов пытаться учиься(((
Сухарики по утрам мне не помогают, через 5-10 минут все эти сухарики летят наружу(
МЧ поддерживает меня как может. Я бы наверное без него уже совсем бы к психиатору записалась!
В общем такие новости! Всем хорошего самочувствия!
Светлана
я больше, чем на неделю отстаю, это не патология, это просто день овуляции был не четко по плану, а отстал немного, понервничала может. Вообще в голову не бери
26.08.2015
Ответить
Tatyanamemo
Если честно, как вспомню весь месяц зачатия - были проблемы на бывшей работе. Нервничала жутко(( наверное правда сказалось.
28.08.2015
Ответить
Aлиca
это невероятно, что из такой точечки будет ребеночек!!! поздравляю вас!!!!
держитесь!!
26.08.2015
Ответить
Я
Привет. А Нам 6+3, тоже по узи немного отстаем, я особо не передиваю, доча по узи отставала, родилась все хорошо
26.08.2015
Ответить
Tatyanamemo
Привет, а если не секрет, сколько вы?
Просто я сейчас на форумах сижу, кто-то уже на таком сроке 1,3 см. Конечно я понимаю, что детки разные, но такая разница!
26.08.2015
Ответить
Я
Была на узи на 5 нед нас вообще не нашли, на 6 нед нашли плодное яйцо 4 мм, даже срок не поставили, просто написано: маленький. Дочь тоже отставала на неделю где то до 13 нед, потом уже опережала сроки, главное сердечко стучит.
26.08.2015
Ответить