10-я неделька. УЗИ. Фото.И как пережить токсикоз.
УЗИ, КТГ, доплерПост собиралась написать вчера, но так как обнималась с белым другом, было не до этого((( Ходила вчера на УЗИ. Врач чуть ли до инфаркта не довела... смотрит в монитор и кивает головой в разные стороны. Я смотрю на нее, и по мимике понять не могу-хорошо все или плохо. Говорю ей-что, нет ничего? 5 марта была на узи, эмбриончика еще не было. Ну, думаю, все... и тут она выдает: "Молодец какой! Надо же как подрос! Ничего себе!". Охххх... выдохнула я... зачем же, блин, так пугать. Включила сердечко-169 уд/мин. Попросила видео снять для мужа. Снимаю такая, она мне все показывает, рассказывает. И что вы думаете, выхожу из кабинета, хочу посмотреть, а видео нееет😢я кнопку не нажала.. ну как себя назвать-то. Видимо беременный мозг совсем отрофировался.
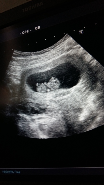
В общем по УЗИ все хорошо у нас. Угрозы нет. Все в норме. Срок поставила 9-10 нед. По мес. вчера было 10.4. По овуляции на недельку меньше-9.4.
И вот такие наши параметры:
Плодное яйцо-59мм.
Хорион кольцевидный по задней стенке, толщиной 9мм.
КТР-26ММ.
Теперь можно уже и на учет вставать)))
Токсикоз.... то рвет беспащадно, то более менее себя нормально чувствую. Было даже затишье на целую неделю. А теперь 3-й день опять новая волна у нас. Спасаюсь солеными помидорами.
Девочки, односрочницы, как вы поживаете? Встали на учет? Как самочувствие?
Такие мы были

А такие стали))) разница 26 дней
