Помогите понять снимок УЗИ.
УЗИ, КТГ, доплер
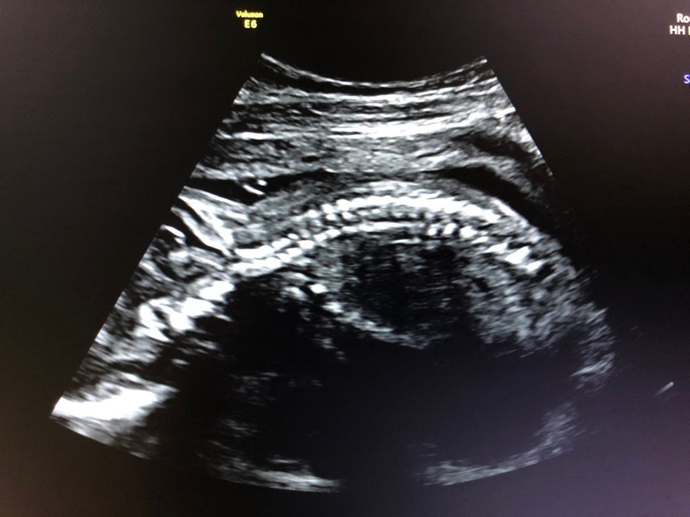
Срок по УЗИ 23,3. Из заключения: поперечное положение, 2 позиция, передний вид, плод расположен высоко. Где на снимке головка, куда «смотрит» ребенок, почему визуализируются два позвоночника. И ещё интересно - как правильно смотреть снимки УЗИ - они в зеркальном отражении или может быть вверх тормашками? Спасибо.
Ответ врача
Нелли Андреева
врач УЗИ, акушер-гинеколог - W clinic
Добрый день. Согласна с нижеупомянутым мнением, что снимок не самый удачный - вполне вероятно это артефакт ультразвукового исследования.
в норме позвоночник состоит из позвонков с тремя точками окостенения - поэтому тоже может сложиться впечатление, что несколько «позвоночников».
ниже прикреплю снимки абсолютно «нормальных» спинок😌 специально сохранила примерно в таком же положении как у Вас
по поводу - где право/лево и верх/низ - по снимку сказать нельзя, так как все зависит от положения датчика при осмотре😊 тем более человек во время осмотра был в поперечном положении. Обычно в левой стороне экрана - либо право либо верх😀 но это совсем необязательно.
на вашем снимке получается, что голова находится справа (в животике слева - если датчик был расположен «стандартно»). И человек смотрит вниз - поэтому мы видим затылок
по поводу - где право/лево и верх/низ - по снимку сказать нельзя, так как все зависит от положения датчика при осмотре😊 тем более человек во время осмотра был в поперечном положении. Обычно в левой стороне экрана - либо право либо верх😀 но это совсем необязательно.
на вашем снимке получается, что голова находится справа (в животике слева - если датчик был расположен «стандартно»). И человек смотрит вниз - поэтому мы видим затылок
14.04.2022
Ответить
Лучший ответ
VSV
УЗИ показывает, как есть. Ваш малыш на данном снимке(в момент проведения УЗИ) лежит личиком вниз, голова справа. Почему два позвоночника то? )))) Это один. На этом сроке плод ещё во всю крутится в матке, размер позволяет.
14.04.2022
Ответить
Дашуня Кузнецова
Согласна с автором выше,снимок не удачный. А что вам не показывали малыша на экране?Не рассказывали где,что у него находится?Я всегда просила у нас в ЖК,чтоб показали,никогда не отказывали. Знала одна смена вредная,бегом бегом и ничего не показали,им приносила пакетик(кофе,чай,конфеты)сразу добрели и все показывали,до мельчайших подробностей.
13.04.2022
Ответить
Дашуня Кузнецова
Дашуня Кузнецова, сходите в частную клинику и попросите,чтоб показали,рассказали вам в подробностях.Они не отказывают.Вы успокоитесь и малыша увидите хорошо.Даже дают возможность и видео снять и пофоткать. По УЗИ похоже малыш лежит скрючен как комочек, головой в низ 💓
13.04.2022
Ответить