Определение пола 16 недель 🙏🏻
Пол малыша
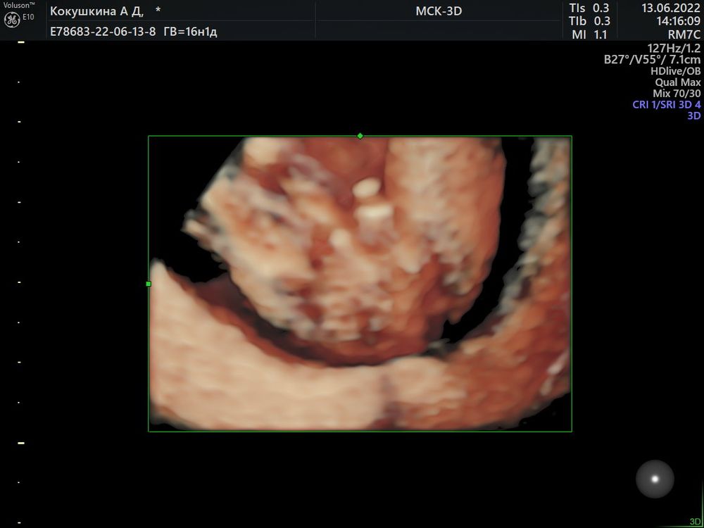
Девочки , подскажите пожалуйста кто вам кажется на фото. 🙏🏻16 недель 💫
Алина
Кто у Вас родился ? У нас так же . Один врач сказал мальчик , другой девочка .
24.11.2025
Ответить
Юлия Sonnце
Так на вашем сроке не такой ракурс должен быть. Нужно фото со стороны попы.
24.06.2022
Ответить
Anastasi-z
Мне кажется то, что можно впринципе принять за половой бугорок, на деле кость, так как хорошо просвечиваются другие кости - лица, позвоночник. Думаю полового бугорка на снимке поэтому нет. Если 16 недель - я бы смотрела с ракурса с попы.
24.06.2022
Ответить
Ирина
Anastasi-z, спасибо) так у вас нет предположений даже на кого больше похоже? Узист в 16 недель ориентировалась по половому бугорку🤔Сказала на 60% скорее всего девочка , угла наклона нет. А смотрю информацию , что в 16 недель уже по углу наклона не ориентируются...
24.06.2022
Ответить
Anna Kokyshkina
Ирина, в 16 недель не половой бугорок, а уже хорошо развитые половые органы
24.06.2022
Ответить
Ирина
Anna_Kokyshkina, не знаю почему меня узист запутала с этим половым бугорком в 16 недель . Хочется уже знать кто там? Ну для меня это загадка прям
24.06.2022
Ответить
Anastasi-z
Ирина, если ждать не хочется, придется идти к другому специалисту. Я тоже ходила на 16 неделе на определение пола УЗИ и попала на плохой прибор, не тот специалист, да и ножки малыш скрестил. В итоге через неделю все увидели в другой клинике, там совсем другая врач была и прибор, совсем другое дело. Это некомпетентность, к сожалению случается. Сейчас вот появился страх, что когда рожать буду непонятно на кого попаду - попадется какой-нибудь горе врач, тьфу тьфу...
24.06.2022
Ответить
Ирина
Anastasi-z, да , через неделю второй скрининг. Ну интересно уже сейчас стало) Если вы имеете ввиду роды , то я бы договаривалась с определенным врачом. Все будет хорошо) 👌
24.06.2022
Ответить