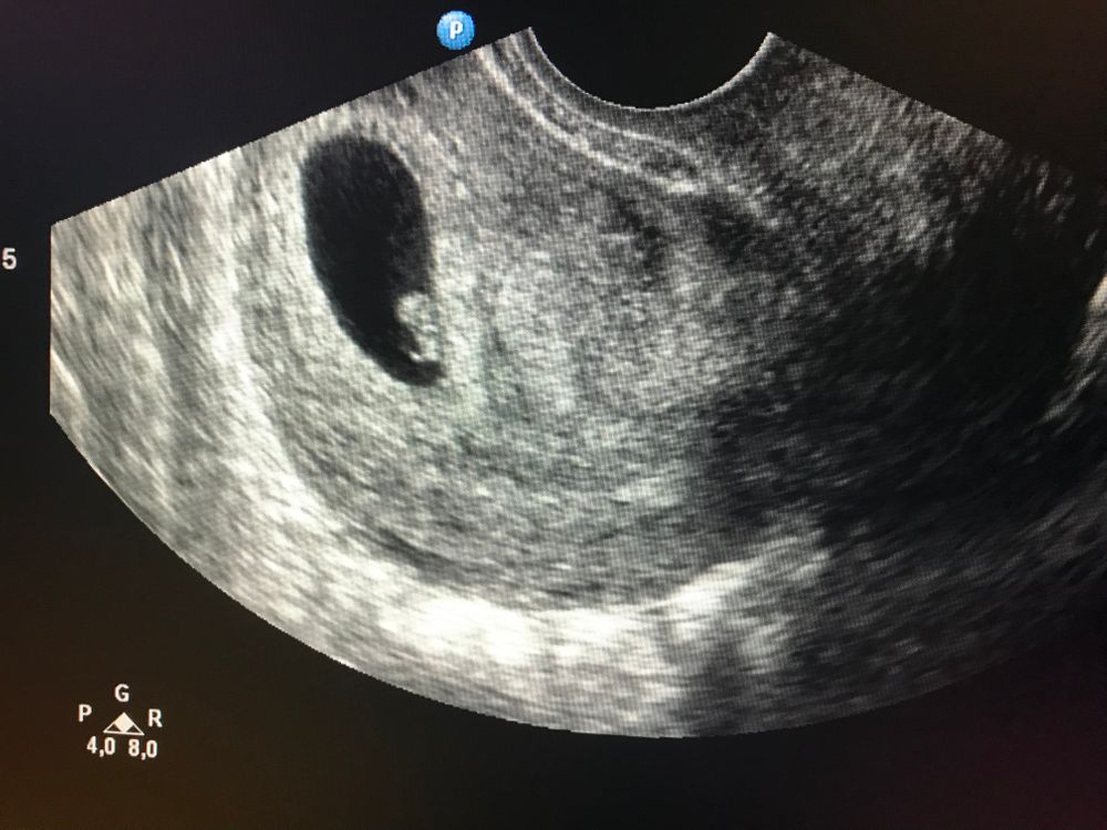
Первое узи
Девочки подскажите пожалуйста может кто с таким сталкивался, вчера сделала первое узи срок 5 недель. Но плод не увидели и поставили ещё в заключении «Ретрохориальную гематому» может кто нибудь с таким сталкивался. Гинеколог сказала ждём ещё неделю, либо плод увидят либо это замершая беременность. Вчера весь день была на панике…
Лучший ответ
Дорри
Лучше на 7 неделе идти, чтоб и эмбриона увидеть, и сердечко послушать) поверьте, потом жить намного спокойнее) у меня на 6+4 уже сб было и на узи можно было посмотреть зачатки рук и ног) не торопитесь♥️
12.08.2022
Ответить
Анастасия
5 акушерских? Если да, то у меня вообще ничего не увидели на 4+6, пошла в 7, а эмбриончик 5,5 мм и сердечко уже пульсировало, по узи мы на неделю меньше, что является вариантом нормы👌 так что не переживайте и наберитесь терпения, а гематомы у каждой второй почти. Всё будет хорошо, главное не нервничайте, это вредно!
12.08.2022
Ответить
Яркость
У меня была гематома, узнала про нее из-за кровотечения. У вас может начать выходить, если кровь будет коричневая, то не паникуйте и не начинайте умирать от ужаса, это нормально.
Меня с ней положили в больницу, начали давать Дюфастон (до сих пор сомневаюсь, что он мне был нужен). Срок был 4 недели и 5 дней. ПЯ нашли на сроке 4+4, но, разумеется, ещё никакого эмбриона не было. Правда при выписке в 5+2 уже увидели пульсацию и написали, что СБ+, но у меня малыш шустро развивался.
В общем гематома - это больший повод для переживаний, чем то, что нет эмбриона. Никаких оснований полагать, что беременность замершая сейчас нет. Но и гематомы тут бывают у очень многих девочек, это не такое редкое явление, чаще всего, все заканчивается хорошо.
12.08.2022
Ответить
Анна
Яркость, слежу за всеми выделениями, потому что мне врач сказал, в случае крови ехать сразу в стационар. Сейчас все хорошо🙏🏼 буду с нетерпением ждать узи 🙏🏼
12.08.2022
Ответить
Яркость
Анна, мне вот стационар только нервы потрепал. Лежала там, пила таблетки, могла бы и дома их пить, только с комфортом и без соседей в комнате. Ещё жара такая была. Знала бы, как все обернется, то написала бы отказ от госпитализации.
Тем более при коричневой крови вообще не понимаю, что там делать. Это просто выходит синячок, останавливать это не надо. Только ждать.
У меня не так давно снова начались коричневые выделения, причину так и не нашли, по УЗИ все чисто. Я решила, что это просто старая гематома выходила. А при слове стационар - у меня истерика была.
12.08.2022
Ответить
Ирина Хрупина
Если очень сильно переживаете, попробуйте посдавать ХГЧ и посмотреть на рост в динамике. Так можно будет с уверенностью сказать, что плод развивается) сегодня, например, сдайте и послезавтра - результат должен удвоиться. Если маточную беременнность вам подтвердили и увидели плодное яйцо, наверное, ХГЧ ваш уже больше 1000 )
11.08.2022
Ответить
Анна
Ирина Хрупина, я сдавала хгч 5 августа и 7 августа, результат удвоился. Попробуйю ещё раз сдать 🙏🏼
12.08.2022
Ответить
Ирина Хрупина
Анна, У меня тоже небольшая гематомка была на первых сроках. На 1 скрининге уже ничего не увидели, сама рассосалась. Это частое явление при беременности и вариант нормы, если только она не огромная какая-нибудь. Если есть силы подождать до 7 недель, сходите на УЗИ в 7 недель - сердце послушаете и увидите эмбрион. Мне в 6 недель смотрели, сердечка не слышали. Пришлось потом еще в 7 идти ) слушать.
12.08.2022
Ответить
Анна
Ирина Хрупина, ой боюсь 2 недели не выдержу 😂 Хотя сестра говорит , не ходи часто по узи
12.08.2022
Ответить
Irina Ro
В 5 недель у меня только плодное яйцо было, какой эмбрион, через неделю все уже будет, не переживайте🙃
11.08.2022
Ответить
Юлия *
У меня в 5 нед было пя 5 мм, ну какой там эмбрион 🤦♀️ Чего они хотят, я вообще не понимаю, столько постов именно таких как ваш. Ждите! В 7 нед все будет 👌
11.08.2022
Ответить
Tanja
То, что ещё не увидели, это нормально. Если у вас гематому ещё нашли - то вам нужен покой, постельный режим и воздержание. Побереги те себя до следующего узи
11.08.2022
Ответить
Tanja
Анна, у меня когда гематому нашли, отправили домой лежать, мол как природа решит. Я к частному врачу пошла , та мне поддержкувыписала
11.08.2022
Ответить
Анна
Tanja, ну все буду ждать с нетерпением следующей недели для повторного узи 🙏🏼 очень надеюсь что это просто была ошибка 🤞🏽
11.08.2022
Ответить
Саша
узи делала на 5 неделе , плода тоже не было. Врач сказала «ребятенок появится к 7 неделе», я спокойно подождала пару недель и пошла на УЗИ.
Плод уже был виден, просто рано ещё , не переживайте.
11.08.2022
Ответить
Анна
Саша, мне подтвердили маточную беременность, но вот эта гематома очень меня смущает..
11.08.2022
Ответить
Полинка
я пришла на 4 с хвостиком, посмотрели и сказали, что есть какая то точка, но не понятно, приходить позже
потом сделала через неделю - подтвердили беременность
ещё через 1.5 недели сильно болел живот, приехала в роддом, там мне с порога сказали "ну у тебя ЗАМИРАЮЩАЯ БЕРЕМЕННОСТЬ, судя по ЧСС"
вроде 26 неделя, никто не замер
дело было в 3 роддоме
подождите ещё и через недельку сходите к другому специалисту
11.08.2022
Ответить
Анна
Полинка, про 3 роддом мне уже все сказали, что туда даже не лезь.
УЗИ делала в профи клиник, через неделю с мужем планируем поехать в перинатальный центр, чтобы там посмотрели
11.08.2022
Ответить
Полинка
Анна, ну в самом роддоме вроде как более компетентные врачи работают, много хороших отзывов) а эти которые при ЖК сидят тётки злобные) до слёз меня довели, заставляли на госпитализацию лечь
11.08.2022
Ответить
Irina Ro
Полинка, Тройка вообще филиал ада, точнее отделение гинекологии просто адище! Я прошлым летом с замершей лежала ппц отношение было, хотя я запалатила за операцию почти 20 тысяч. В этом году лежала с токсикозом тоже в тройке только в патологии беременности там абсолютно другое отношение, в попу целовали🤷🏻♀️
11.08.2022
Ответить