Войти

ШМ стабильная 22 мм

0
26
Мама мальчика (3 месяца) Барселона
хорошо, что не укорачивается. у меня на 18 сократилась с 32 до 30 уже, завтра иду на контроль снова...
0
22.09.2025
Мама мальчика (5 месяцев) Барселона
Луна, как я поняла, тут ещё важно к кому ходить. Мой частный гинеколог и в скорой замеряют 30 мм, но как оказалось, это неверное измерение, сейчас со мной именно специалист в этой области и она наглядно мне показывала как могут выходить эти фальшивые 30. Ваши 2 мм это вообще погрешность, у меня было 22-24 мм, а последний раз 20-24мм. Написали: без изменений, потому что +-2 мм это обычная погрешность
0
22.09.2025
Мама мальчика (3 месяца) Барселона
Катя, теперь думаю вообще ли правильно мне замеряли)) у меня всегда у одной узистки стабильно - 2 мм было за эти 7 узи до 18 недели. а один раз я была у другой, у нее 38, типо на 6 мм увеличилась, я еще обрадовалась. но теперь думаю, что может там мне тоже не так замеряли...
0
22.09.2025
Мама мальчика (5 месяцев) Барселона
Луна, у меня ни у одного врача не было стабильно, шм это же мышца, на неё много чего влияет... Мои замеры в порядке очередном и у разных врачей : 32-38-30-30-26-38-24-30-29-23
0
22.09.2025
Мама мальчика (5 месяцев) Барселона
Луна, я не спец, но мне кажется, главное, чтобы не было 40-30-20... Вот там точно динамика на лицо
0
22.09.2025
Мама мальчика (3 месяца) Барселона
Катя, ну да, там уже серьезно. сегодня была у врача, он пальцами трогал, говорит все хорошо, плотно, закрыто и далеко)
0
22.09.2025
Мама мальчика (5 месяцев) Барселона
Луна, пальцами в Испании? Странно, тут её так никто не проверяет
0
22.09.2025
Мама мальчика (3 месяца) Барселона
Катя, я сейчас в Украине нахожусь)
0
23.09.2025
Мама мальчика (5 месяцев) Барселона
Луна, я вам не рекомендую туда лазить пальцами, но решаете вы
0
23.09.2025
Мама мальчика (3 месяца) Барселона
Катя, к сожалению, вывести зеркалом не получается, так как у меня она очень далеко и мне больно от махинацих этих. ну врач у меня опытный, я ему доверяю
0
25.09.2025
Мама девочки (11 месяцев), планирую беременность Ницца
Во Франции точно также, у меня 25мм была, никакие таблетки не назначали.
0
18.09.2025
Мама мальчика (5 месяцев) Барселона
Blanche, прогестерон я принимаю, это обязательно. Но получается это очень тонкая грань кто как меряет эту шейку, у меня замеры фактически три дня подряд у разных врачей : 30 мм-26 мм-22мм минимальные
0
18.09.2025
Мама девочки (11 месяцев), планирую беременность Ницца
Катя, ага, шейка длину меняет от малейшего нажима.
0
18.09.2025
Мама мальчика (5 месяцев) Барселона
Blanche, может она у меня такая с начала беременности...
0
18.09.2025
Мама девочки (6 месяцев) Санкт-Петербург
Катя, тут то же самое, кто как хочет, так и меряет. Мне и зев открытый находили, но все это было не правильно. Хорошо, что вы нашли своего узиста!
0
18.09.2025
Мама мальчика (5 месяцев) Барселона
Катерина, она не узист, доктор, старший специалист, член группы сотрудничества по преждевременным родам, исследователь и старший специалист в отделении недоношенных
0
18.09.2025
Мама девочки (6 месяцев) Санкт-Петербург
Катя, отлично
0
18.09.2025
Мама мальчика (5 месяцев) Барселона
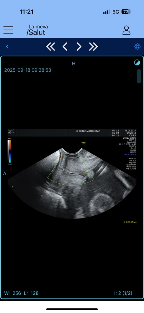
Blanche, вот они почему-то замеряют только часть чёрной линии. Не знпю почему Изображение
0
18.09.2025
Мама троих (12 лет, 9 лет, 5 месяцев) Кировск
Как по разному специальсты реагируют на укорочение. Мне вчера на узи намерили 22 мм шейку в 29 недель.В итоге сегодня госпитализируют в перинатальный центр. Уж не знаю что скажут там.Пессарий или швы.Но сказали дома отлёживаться нельзя.
0
24.09.2025
Мама мальчика (5 месяцев) Барселона
Марья, после 26 недели никто не меряет шейку, все прогресс явные врачи об этом говорят и ваши в том числе . А вообще важна динамика , вопрос с какой длины она укоротилась. У меня уже третью неделю она стабильная и не уменьшается. Пессарий кстати не эффективен, в Беларуси, откуда я, кже тоже мало кому ставят
0
24.09.2025
Мама троих (12 лет, 9 лет, 5 месяцев) Кировск
Катя, в 22 недели была 28 мм,сейчас в 29 недель 22 мм
0
24.09.2025
Мама мальчика (5 месяцев) Барселона
Марья, ну не знаю, врачам виднее конечно, но странно чтоб вам вообще её меряют на таком сроке. Мы с такой шейкой будете ходить ещё недели 2 минимум (именно минимум), а в 31 неделю детей спасают, швы уже не ставят на этом сроке, этотнеоправданные риски. А пессарий не эффективен. У меня то все это началось на 20 неделе, совсем иная ситуация
0
24.09.2025
Мама троих (7 лет, 4 года, 2 года) Москва
У меня примерно такая всю беременность была, но говорили важна динамика. Плюс еще рост вес и тд матери
0
29.09.2025
Мама мальчика (5 месяцев) Барселона
Еленка, запрещали Половую жизнь тоже?
0
29.09.2025
Мама троих (7 лет, 4 года, 2 года) Москва
Катя, да, не рекомендовали. Но у меня шов от кс тонкий очень был, так что в принципе щадящий режим был
0
29.09.2025
Мама мальчика (5 месяцев) Барселона
Еленка, ужасно (((( это прям пытка конкретная
0
29.09.2025
Консультация в РД Родила 16го , сегодня хотела уйти по расписке

Похожие записи