Наше 1 УЗИ
УЗИ, КТГ, доплерЗдравствуйте, милые девочки! 🤗
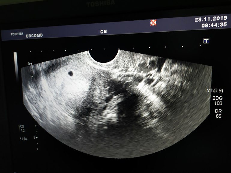
Сегодня была на УЗИ. Акушерская 5н 1д.
ПЯ в матке, 5мм, желточный мешочек 1 мм. Контроль через неделю
Поделитесь, у кого какие показатели были на таком сроке?

Dana_Mr
У меня на 4 неделях ПЯ было 4 мм, ЖТ 18 мм, а вот остального не увидели.Мешочка и эмбриона пока рановато было.Потом в 7 недель нашли все.
28.11.2019
Ответить
Катюнечка Солнышко
Благодарю!
Тоже думаю не прямо через неделю пойти, а дней через 10, чтобы наверняка.
Желаю Вам и ляле легко ходить крепкого здоровья и огромного счастья! 🙏
29.11.2019
Ответить
Dana_Mr
Я бы через недели две пошла.Что и зафиксировать сердцебиение и размеры ктр уже не крошечные.За пожелания спасибо!
29.11.2019
Ответить