Зубья мои...
У стоматолога не была уже получается 2,5 года (беременность 9 мес+1,7 Мише)
Через Биглион купили с мужем купон на осмотр и панорамный снимок (48 руб. вместо 800!!)
Я знала, что проблемы есть, но чтобы так и столько!!!
Ужас! Кариес почти всех жев.зубов (((
Где бы столько денег взять, чтоб улыбкою блистать!? ))))
Через Биглион купили с мужем купон на осмотр и панорамный снимок (48 руб. вместо 800!!)
Я знала, что проблемы есть, но чтобы так и столько!!!
Ужас! Кариес почти всех жев.зубов (((
Где бы столько денег взять, чтоб улыбкою блистать!? ))))
˙·•๑ Надежда ๑•·˙
я в начале зимы сделала в 2 захода зубки, а вот сейчас еще рез на 3000 сходила...((( Но это святое!!! надо, значит надо!
а что за панорамный снимок?
27.03.2011
Ответить
Анютик
Встала я под аппарат
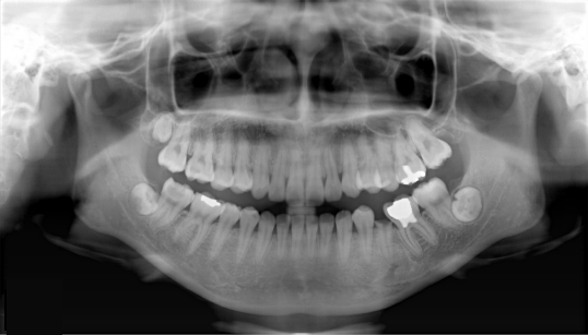
он вокруг меня покружился и получился снимок ВСЕХ зубов с корнями, даже пазухи носа )))Так прикольно было смотреть... Мне все рассказали, показали... В восторге была!Покажу пример из инета:
он вокруг меня покружился и получился снимок ВСЕХ зубов с корнями, даже пазухи носа )))Так прикольно было смотреть... Мне все рассказали, показали... В восторге была!Покажу пример из инета:
27.03.2011
Ответить
˙·•๑ Надежда ๑•·˙
интересненько))) но я не пойду! а то еще тыщ на 5 найдут точно))) потом к осени ближе)
27.03.2011
Ответить
Анютик
Мне из без снимка нашли проблем полный рот )))))п.с. второго еще не думаете?
Мне из без снимка нашли проблем полный рот )))))п.с. второго еще не думаете?
27.03.2011
Ответить
˙·•๑ Надежда ๑•·˙
не сейчас, тоже к осень будем думать) нам жить негда пока, да и боюсь беременность с таким бегемотиком как Матвейка.. а помощников нет((( пусть хоть чуть-чуть еще подрастет.
А вообще я согласна хоть сейчас)
27.03.2011
Ответить
●•°• }I{иVy [mЕ]4ТoЙ●•°•
я в январе вылечила.. посмотрела да тоже на свой рот на мониторчике... 14 зубьев поршивых, камни и пр. итог 9500 (спасибо платной страховке на работе)..воть.. так что давай мать начинай.. запустишь потом писец че будет..
26.03.2011
Ответить
Анютик
9 апреля уже иду начинать )))) а у меня ни работы, ни страховки платной ))))
26.03.2011
Ответить