Помогите классифицировать
Как это былоЭКО. Перенос двух пятидневок. ХГЧ на 14 дпп 686. ХГЧ на 21 дпп 5548.
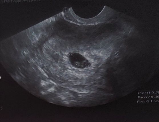
УЗИ на 23 дпп (5,2 нед):
1 плодное яйцо. 2 [хориона](?). 2 эмбриона.
Не пойму, как называется такая двойня. В инете много информации, но не пойму, куда отнести свой случай. Переживаю, что хгч мал для двоих. Поняла, только, что прикрепился один, но когда-то разделился на двоих.
Чем дальше, тем страшнее.

UPD несколько часов спустя. Нашла информацию, что при монохориальной двойне ХГЧ низкий, т.к. ХГ вырабатывается хорионом, а в этом случае он один. Вероятней всего, ре просто ошиблась и написала "хориона" вместо желточного мешка.
Стало чуть спокойней.
...
Муж в шоке. Я ж ему тоже с полной уверенностью, что там один...
Rufa Mammadova
Не переживайте, все будет отлично! А пусть будет двойня🙏😍 и главное пусть вся Б пройдет гладко и роды будут лёгкими! А как эти двойняшки, близнецы называется не имеет значение! Хотя если будет королевская двойня, то это вообще супер🙏❣️❤️
16.11.2023
Ответить
Нютусь
Rufa Mammadova, спасибо большое за пожелание🏵️🌺🌼 Королевской точно не будут, т.к. однояйцевые, в этом и суть переживаний, ведь от того, когда он поделился, зависит, насколько проблемной будет беременность. Ну да будем решать проблемы по мере их поступления🙂Пока главное - услышать сердечки.
16.11.2023
Ответить
Нютусь
Вот нашла:
Существует 4 типа близнецов, возникающих в двух случаях зачатия.
1й случай, 1й тип (единственный): Дизиготные, (дихориальные, диамниотические или бихориальные,
биамниотические).
2й случай, 1й тип: Монозиготные, (дихориальные, диамниотические или бихориальные,
биамниотические).
2й случай, 2й тип: Монозиготные, (монохориальные, диамниотические или монохориальные, биамниотические).
2й случай, 3й тип: Монозиготные, (монохориальные, моноамниотические).
Подробнее:
1й случай
1й тип. (составляет две трети всех случаев), дизиготный, когда два сперматозоида, оплодотворяют две яйцеклетки, при этом образуются два изолированных зародыша, таких близнецов называют дизиготными или разнояйцовыми (в народе двойней). В этом случае каждый малыш лежит в своем мешочке с амниотической жидкостью, и у каждого свой хорион (в последствии плацента). У дизиготных близнецов два набора мембран, окружающих их амниотические мешочки (один внутренний слой амниона и один внешний слой хориона). Поэтому такие близнецы так же называются -дихориальные, диамниотические или бихориальные, биамниотические (это двуяйцовые близнецы (двойни) - других типов тут быть не может).
Остальные 3 типа близнецов, возникают только во 2-м случае зачатия, и характерны исключительно для идентичных, однояйцовых близнецов.
Приблизительно в одной трети случаев, многоплодных беременностей один сперматозоид оплодотворяет одну яйцеклетку, в последствии эта яйцеклетка расщепляется на две равные части - на два эмбриона. Если деление яйцеклетки произошло на 2-3 день, то формируются два эмбриона, у каждого из которых имеется отдельный хорион (предшественник плаценты) и свой отдельный амниотический мешочек. Такие близнецы будут называться монозиготными, дихориальными, диамниотическими или бихориальными, биамниотическими, таких близнецов называют так же однояйцовыми или идентичными, потому что у них одинаковый набор хромосом, одинаковая ДНК.
2й случай.
2й тип.
Если разделение зиготы произошло с 4 по 7 день после оплодотворения, одной яйцеклетки одним сперматозоидом, то масса клеток, из которых в дальнейшем разовьется хорион, а затем и плацента, уже отделилась от основной группы клеток, формирующих тело эмбриона. Таким образом, процесс разделения затронет только эту последнюю группу (амнион). В результате возникнут близнецы с одной общей плацентой (хорион) и двумя амниотическими мешочками. Такой тип близнецов получил название - монозиготные, монохориальные, диамниотические или биамниотические, так как каждый близнец находится в своем собственном амниотическом мешочке (амнеоне), но оба эти мешочка находятся в одном внешнем слое - хорионе, окружающем оба амниотических мешочка. Такой тип соединения происходит приблизительно в каждой 360-ой беременности. Монохориальные близнецы более подвержены рискам и осложнениям во время беременности, так как у них одна плацента на двоих.
2й случай
3й тип.
Меньше чем у 1% идентичных близнецов (приблизительно каждая 2400-ая беременность) будут один амниотический мешочек и одна плацента на обоих близнецов. Если разделение произошло в интервале 8-12 дней, то происходит только разделение эмбрионов. Это монозиготные, монохориальные, моноамниотические близнецы. Эти близнецы еще больше подвержены риску не вынашивания и гибели, потому что в процессе их роста и развития может произойти запутывание пуповин.
Если же разделение произошло еще позже, то появляются сиамские близнецы.
Тип близнецов определяют на УЗД на 12й неделе беременности. Если даже многоплодная беременность была обнаружена раньше, до 12й недели один из зародышей может исчезнуть, поэтому факт многоплодной беременности, фиксируют исключительно после УЗД на 12й неделе. Потому что с этой недели риск исчезновения одного из зародышей значительно уменьшается.
09.11.2023
Ответить
Rufa Mammadova
Нютусь, блин, пока прочитал чуть голову не сломала)))) ещё если только и поняла бы чего да как?!)))))
16.11.2023
Ответить
Нютусь
В общем, читаю, рою. Мозг напрягаю. Видимо, еще слишком рано для классификации. Не понимаю ничего. Думала, смогу как-то прояснить для себя, но нет. Видимо, придётся не один день лопатить и читать про все виды двоен.
Страшно. Почему они так близко? Вдруг это позднее деление!
09.11.2023
Ответить
Изабелла
Нютусь, когда у нас вдруг обнаружили монохориальную диамниотическую двойню, тоже начала читать что это такое.
И как я поняла бывает три вида:
Ди ди
Моно ди
Моно моно
Вроде как если одно пя то должна быть монохориальная.
Вот у нас так было, сначала только одно пя видно было, а потом уже стало видно что в этом пя растут 2 эмбриона, при чем каждый в своём плодном мешочке.
И кстати у монохориальной не всегда ХГЧ двойной, может быть и вполне себе средний
09.11.2023
Ответить
Нютусь
Изабелла, Лёгкой вам беременности и встречи с малышами в лучшее время! Да, похоже, два эмбриона в одном пя, это монохориальная. Меня смутило указание двух хорионов. Как же страшно! Очень боюсь, что разделение могло произойти позже нормального. Как теперь быть уверенной, что они раздельные?..
09.11.2023
Ответить
Изабелла
Нютусь, спасибо за добрые пожелания😊
Скоро всё прояснится у вас. Раз видно 2 колёсика то видимо раздельные😅
У нас вообще и колёсико одно было и даже эмбрион типа один до 12 недели, пока на 1 скрининге наконец-то нормально не посмотрели))) вот такой сюрпрайз
09.11.2023
Ответить
Иринка_Апельсинка
Ой как здорово! Близнецы стало быть? 😍✨ У меня на 21дпп увидели тока ПЯ и хорион, узи за секунду, без замеров и тд 🤪
09.11.2023
Ответить
Нютусь
Иринка_Апельсинка, меня нормально смотрели, не спеша. Там же еще миома. Ре говорит, что 2, я ей, не может быть, хгч одинарный. Ну вот, два колёсика же. Я не готова была к такому, что спрашивать не знаю. Вроде как двоих подсаживали, должна была ожидать, но по хгч быстро расслабилась. В общем, теперь буду еще из-за него волноваться до след.узи.
09.11.2023
Ответить
Иринка_Апельсинка
Нютусь, как тут все любят говорить, хгч никому не должен 🤷🏼♀️ наверно хгч у двойняшек растет сильно, потому что два хориона, а тут один… с др стороны один хорион с двумя в диаметре наверно как два в сумме… вощем ниче непонятно 🤪 но то что у вас на 23дпп уже и эмбрионы увидели - это класс! Есть фото? 😍
09.11.2023
Ответить
Нютусь
Иринка_Апельсинка, так и у меня два хориона. Ну, посмотрим, что из этого выйдет.
09.11.2023
Ответить
Иринка_Апельсинка
Нютусь, а точно два) я туплю) это пя одно! когда вам сердце слушать?
09.11.2023
Ответить
Нютусь
Иринка_Апельсинка, ре записала на 18.11. Она сказала, что уже дня через 3 будет слышно, но записала как положено там у них по правилам клиники. Потерплю уж.
09.11.2023
Ответить
Иринка_Апельсинка
Нютусь, ага 33дпп будет. Чтоу. Вас в поддержке? Мне ее после узи Ре снизила
09.11.2023
Ответить
Нютусь
Иринка_Апельсинка, Рядышком идём)
У меня 3х200 утрика + 3 дюфа. Не снижала пока.
Забыла её про половую жизнь спросить. Да мне уже и не хочется. Меня вдруг всё перестало волновать кроме того, кто именно у меня там завёлся.
09.11.2023
Ответить
Иринка_Апельсинка
Нютусь, завелся 🤣🤣🤣 дети! Кто 😀 у меня счас 2 утрика. В первую Б половую жизнь начали после сб+
09.11.2023
Ответить
Нютусь
Иринка_Апельсинка, привет👋 Я в бермудском треугольнике - спальня-кухня-туалет и всё сначала. Ничего, свыклась с мыслью о двойне. Надеюсь, завтра меня судьба не будет сильно лупить за мою самонадеянность.
17.11.2023
Ответить
Иринка_Апельсинка
Нютусь, судьба обрадует! 🌟 токсикоза нет? Я постоянно надута как шар, прям сил нет изза этого кишечника
17.11.2023
Ответить
Нютусь
Иринка_Апельсинка, нет токсикоза. Вчера сильно кружилась голова и вообще я потерялась, забыла про дюф и утрик днём, вечером увидела лишнюю пару таблеток. С расстройства, что пропустила дневной приём, выпила вечернюю дозу, и утрик, и дюф. Хотя утрик надо было вставлять... Дурдом. Думала, это надолго, ночью еще шатало. Но сегодня нет такого сильного головокружения, так, чуть-чуть. Кишечник тоже, чуть что не то съем, надувается, болит, давит. Но это не постоянно, а именно от какой-то пищи. Низ живота вообще не чувствую, в отличие от первых 2 недель. Только мочевой быстро начинает мешаться, за ночь могу от 2 до 5 раз вставать. А у вас в воскресенье УЗИ?
17.11.2023
Ответить
Иринка_Апельсинка
Нютусь, давай на ты 😘 я тоже вечно с утриком загоняюсь, потому он лежит у меня на крышке унитаза 🤣🤣🤣 сплю норм, в туалет по мал чаще бегаю, с утра стабильно диарея 🤣 муж уже боится раньше меня занять уборную, иначе я дверь выломаю 🤣 но в общем это мелочи, а вот не мелочь это то что со дня переноса у меня дикая горечь в горле, была небольшая пауза и по новой, сперва грешила на врем пломбу, а счас думаю это желчный и тогда это хреново 😭😭😭😭 уже чуть ли не операцию себе нарисовала 😫 читаю тут посты по подобным темам, кому-то вон уже год желчегонные не помогают… узи да в вс! Но сперва ждем твое 🎉
17.11.2023
Ответить
Нютусь
Иринка_Апельсинка, на ты, конечно🤝 Может, пересмотреть питание? Убрать кислое из рациона, добавить овсянку на завтрак, минералку. У меня вначале этого года такое светопреставление случилось по ЖКТ, много нового о себе узнала, мало поняла, несколько месяцев восстанавливалась. И очень кстати забеременела, потому что надо именно сейчас, пока не усугубилось всё. А если усугубится, там уже операцию ждать и не беременеть.
Мда... Овсянку хоть с вечера вари, сил утром вообще нет. На этой неделе ни разу не сварила, хотя раньше - почти каждый завтрак.
17.11.2023
Ответить
Иринка_Апельсинка
Нютусь, да вроде ем позитивную еду, и овсянку и минералку, без жареного, короче надо к гастро идти((( я тоже без сил и вечно спать хочу, а на мне кризисная двухлетка, грандиозный переезд и ваще я как трухлявый пень 🤣 жизнь не дает скучать, гонять мысли и вспоминать об интересном положении 💃🏼 помню в первую Б время тянулось как жвачка, ожидание, волнение, токсикоз кстати был с 6й нед….
17.11.2023
Ответить
Иринка_Апельсинка
Нютусь, у меня в первую беременность на 14дпп хгч был кстати почти 1500 (а на 10дпп 191 - вобще странный рост за 4 суток), родился один малыш 😀
09.11.2023
Ответить
Изабелла
Ксения , такой не бывает. Дихориальная это значит разнояйцевые - 2 пя. Уж никак они в общем амнионе не могут оказаться
09.11.2023
Ответить
Ксения
Изабелла, согласна, у меня чердак поехал, видимо. Но вводные данные странные все равно)
09.11.2023
Ответить
Нютусь
Ксения , ничего страшного, я такой не нашла и поняла, что вы где-то ошиблись. Чуть больше, чем через неделю, на втором узи, может, понятней станет. И спрошу там теперь. Сегодня совсем растерялась.
09.11.2023
Ответить
Нютусь
Изабелла, интересно, а плодные яйца не могли слиться или я даже не знаю. Чушь, наверное, пишу.
09.11.2023
Ответить
Изабелла
Нютусь, увидела сейчас описание врача к фото. Я тоже в замешательстве 🤨
Если идти от обратного. Эмбрионы то не слились, уже хорошо, у каждого ктр 1,8. Сидят каждый в своём колесике диаметром 3,6.
Это или моно ди, или вообще ди ди
Или просто запись в протоколе некорректна. Меня вон тоже уверяли в том, что плод один))) а живот рос странно быстро
09.11.2023
Ответить
Нютусь
Изабелла, да, нельзя исключать и некорректную запись. Интересно, у вас один за другим что ли прятался?))
09.11.2023
Ответить
Изабелла
Нютусь, нашла, кажется!!! У вас наоборот скорее всего пя рано разделилось и у каждого малыша будет своя плацента и амнион. Такое оказывается тоже бывает. Тогда ди ди будет, наиболее благоприятный вариант.
Да, и видимо хорошо пряталась😁 Конспираторша)
09.11.2023
Ответить
Нютусь
Изабелла, ой, хоть бы. Пытаюсь найти что-то похожее в инете. Вот же ребус.
09.11.2023
Ответить
Изабелла
Нютусь, с этими двойнями на маленьком сроке всё не так однозначно.
Нужно набраться немного терпения, пока они подрастут и наступит ясность.
Ждем как минимум сердцебиение
( наши опять же замаскировались под одно😅)
09.11.2023
Ответить
Нютусь
Изабелла, нашла, вроде бы, наиболее подробное описание, отдельным комментом воткну. Ди-ди не получается по нему, т.к. там раннее разделение, а у меня уже бластоциста была (две), перенос 5-тидневок. Поживём - увидим.
09.11.2023
Ответить
Изабелла
Нютусь, точно, у вас ведь подсадка, а тут разделение до 3 дней предполагается 🤯🤯🤯
Не ди ди.
А откуда 2 хориона- колёсика тогда??? Ужасно интересный случай, вы потом напишите, когда узнаете.
А то у меня сейчас тоже мозг сломался😵💫
09.11.2023
Ответить