Первое фото)*
Оп-Па! 
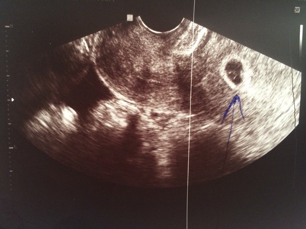
Вот и наше первое фото, сделанное на УЗИ на сроке 4-5 недель.
Мой малыш оказался фотогеничным как и сама мама)))
На 5-ой неделе начали беспокоить спазмы ниже живота. Немедленно пошла к врачу. Она направила на УЗИ. Хоть и маленькая но УГРОЗА есть сказала она. Переживаю, делаю все чтобы малыш был в покое. Доктор назначила "Лютеина" (прогестерон). Это же гормооон, ужаснулась я. Но потом прочитала аннотацию данного препарата, и успокоилась. Так как, как раз таки во время угрозы выкидыша его назначают врачи. Пью по назначению. Стоит заметить что еще никогда я не относилась к своему здоровью так бережно как во время беременности.
Спасибо тебе Малыш мой! Ты по сей день вдохновляешь меня, на все прекрасное что сближает нас с тобой.
Скоро снова на УЗИ, уже послушать стуки твоего сердечко. Дай Аллах все будет у нас с тобой ХО-РО-ШО!
Твоя мама. 