НСГ в 4.5 мес. Мамское сердце неспокойно
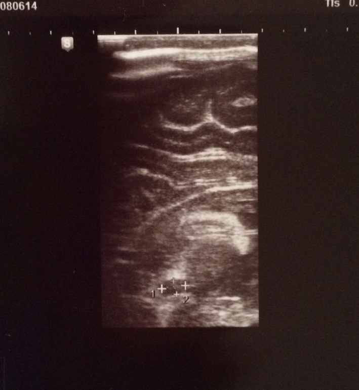
Посещение врачаПривет, дорогие! У мелочи в мозгу нашли локальное расширение в 6 мм, похожее на кисту.
Вот:

Наша педиатр, современная компетентная врач, говорит не переживать и просто контролировать через 3 мес. и 6 мес. от этого УЗИ. Главное, чтоб не было прогресса. На вопрос, откуда это идет, ответила, в 80% -- от перенесенной мамой инфекции во время беременности. Я всю беременность отскакала как конь без единого ОРВИ, и только в 17 недель был у меня герпес на губе, который благополучно залечила Зовираксом за неделю. Герпес периодический всю жизнь. Скрининги никаких отклонений в голове ребенка не нашли, узист грамотный, проглядеть не мог. У невролога в 3 мес. к ребенку серьезных претензий нет, кроме небольшого плечевого зажима, развитие в срок. Короче, клинических проявлений это образование не дает.
Заключение:

Расскажите пожалуйста, кто столкнулся с таким, как оно все себя вело по мере роста ребенка. Хоть ужасы, хоть сказки. Спасибо.