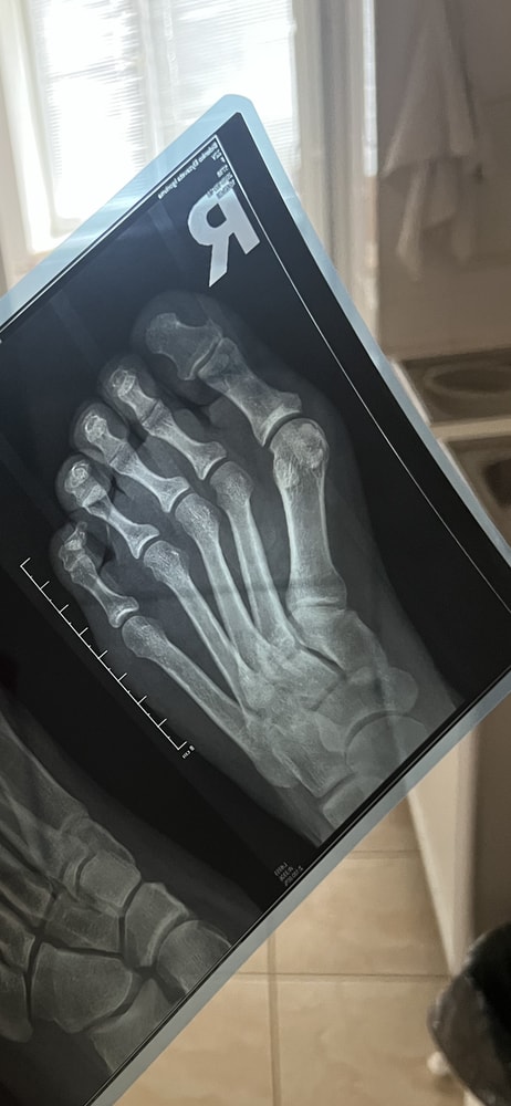
Вопрос больше по ортопедии
Если ли тут трещина 2,3 палец ?? Очень сильно опухло , гематома ступать больно . А к врачу в понедельник. Травмпункт ужасный


Лучший ответ
Татьяна Денисова
Если вам предложат не гипс, а ортез, то с ним удобней. у подружки летом был перелом, всего -навсего подвернула ногу.. И обязательно принимать кальций, мумие. Если найдете Горный кальций D3 с мумие эвалара, то будет хорошо. Он недорогой и себя оправдал.
27.09.2025
Ответить
СТанька
Вы рентген где делали, не в травматологии разве? Их же сразу смотрят и гипсуют, если надо
27.09.2025
Ответить
СТанька
Liza Bidenko, тогда только понедельника ждать, чтобы переделали и посмотрели. Даже если вам сейчас все скажут, что 100% перелом, вам гипс по собственному желанию не наложат, только по решению врача ((
27.09.2025
Ответить