Пришли анализы на аллергены
БолталкаЯ так надеялась на них...
Что они внесут ясность. Скоро лето, а у меня парень в штанах и кофтах, иначе разбирает пятна до мяса.
А там ни-че-го. Сдавали на продукты, которые ел сам.

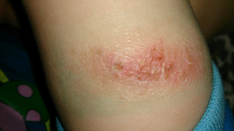
Сейчас так выглядит наше пятно на руке

Обдумываю какую тактику выбрать дальше...
ольга
Советую сдать у Субботиной аллерголога прик тесты, сами у нее сейчас лечимся, говорят единственная в Москве аллерголог которая вылечивает.
18.04.2017
Ответить
Яна
Сдайте общий иммуноглобулин Е, и Эозинофильный катионный белок,
если повышено то и другое или даже один белок,подтверждается атопия,но может быть и глистная инвазия,нас от этого гастроэнтеролог пролечил,плюс от патогенной флоры тоже,для профилактики.
В питание исключите все аллергены и гистаминолибераторы!
Стирайте хозяйственным мылом,или порошком на основе мыла,без кондиционера, если осталась мягкая мебель,нужно тоже убрать((у нас как раз в процессе,тоже кот был, ну я мягкая мебель рассадник теперь и аллергенов кота и пылевых клещей,да и грязь же копится((( Зубы можно чистить порошком из таблеток кальция глюконата,посуду мыть содой!
Всё это чтоб добиться ремиссии и выявить факторы ухудшающие состояние!
Вот эта дерматолог в сети много чего объясняет в своих постах.
https://sprosidermatologa.ru/category/allergicheskie-kozhnye-zabolevaniya/
https://www.instagram.com/sprosidermatologa/
13.04.2017
Ответить
Татьяна
Это вторичка, мне кажется. Я бы долечила до здоровой кожи, а там бы посмотрела реакцию на питание.
Одного гормона уже мало, нужен комбинат - гормон плюс антибак по возрасту. И мазать -мазать-мазать, даже не до красного пятна, а до здоровой кожи. Когда уйдет рваный красный край, комбинат заменить на гормон по возрасту.
04.04.2017
Ответить
delena
Мы уже пятый раз по одному кругу. Адвантаном залечиваем, две недели без него и "наша песня хороша, начинай с начала". Именно это он постоянно расчесывает, есть еще одно поменьше, там просто корочка
04.04.2017
Ответить
Человек с Пуговкой
А с психологическим состоянием не связано ухудшение состояний?
03.04.2017
Ответить
delena
нет, у родителей и ближ родственников нет. только у сына сестры мужа аллергия на бкм.
03.04.2017
Ответить
Ольга, бабушка Вани
Я на днях смотрела лекцию "Возрастные аспекты формирования сенсибилизирующего профиля" http://internist.ru/video/detail/27367/
Там приводится случай девочки (случай №1 Алиса 18 месяцев). Смотреть с 14-ой минуты и 47 минуты.
Может это ваш случай? Я конечно совсем не специалист. Если похоже, то поспрашивайте у врача.
04.04.2017
Ответить