Это была опять внематочная😭
Грусть(
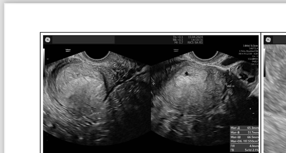
Я конечно до сих пор не могу понять как так получилось…Неделю назад нашли плодное яйцо в матке ,где уже был и желточный мешок и ктр…Вчера утром начались резкие боли до потери сознания..Сразу же на скорой отправили в больницу ,сделали узи и экстренно прооперировали..Лопнула труба,началось внутреннее кровотечение ,на момент операции давление было 70/40, и я потеряла более двух литров крови ..Сейчас в реанимации ((Ну как так ,а как же прошлое узи (((
Лучший ответ
Ольга
Но ведь может быть такое, что 2 плодных яйца. Одно в матке (которое и увидели в первый раз) , а второе в трубе . Такое тоже бывает , к сожалению .
25.04.2024
Ответить
богема
Может у вас было 2пя все таки? Одно прикрепилось на месте, а второе не успело дойти? Хмм. Просто ладно пя перепутать с чем-то, но найти в нем эмбрион и сб😬
25.04.2024
Ответить
Майя
Тамара, я бы на Вашем месте подала в суд на узиста, который не верно Вам диагностировал беременность.
25.04.2024
Ответить
Елена
Тамара, все будет хорошо, выздоравливайте, самое главное что вы живы, у меня у самой уже 10 лет как нет труб, знала что Б наступит только при помощи ЭКО, и вот за спиной одна стимуляция и 4 переноса, планирую пятый через месяца три
25.04.2024
Ответить
Нинели
Тамара, тогда эко( а так согласна с девушкой, на узиста в суд. Увидев раньше, не пришлось бы пережить то, что было
25.04.2024
Ответить