Узи 5н 5дней
Обследования, узи, анализы
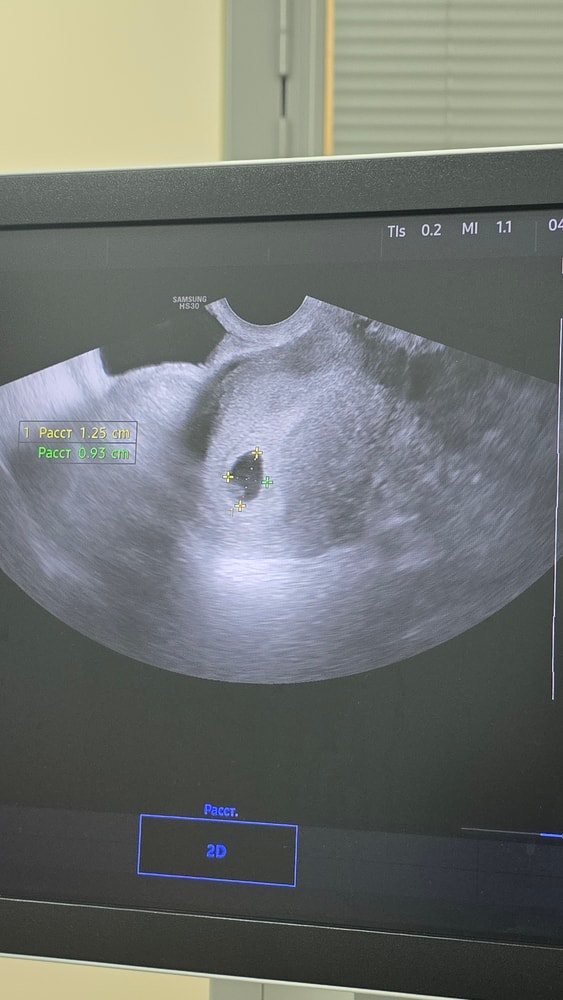
Помогите понять узи!!!
Пришла на свое первое беременное узи❤️ Врач оказалась совсем молчаливая, да и я в моменте просто сидела и улыбалась как дурочка) теперь в голове столько вопросов, а жить с этим еще 10 дней до следующего узи будет невозможно...
Все что написано на бумажке - беременность маточная, плодное яйцо 10мм, жёлтое тело справа.
Меня больше интересует белый пузырёк внутри плодного яйца. Что это такое? Это желточный мешочек или уже зачатки эмбриона? Или возможно это стадия до бриллиантового колечка или уже после его? Вопросов много, но ответа найти не смогла тут у девочек либо пока пустое плодное яйцо, либо уже колечко, а картинку как у меня найти не смогла
Поэтому буду рада вашим комментариям и предположениям !!!!
Лучший ответ
Мария
Думаю это жм🤗
6 дней
Ответить