Кто с каким ЭНДИКОМ забеременел, девочки??
Опросы (только посты с опросами)у меня 8мм, вчера О была....
Нюша
Мне поставили эндометрий 0.43 (то есть 4) при чем на сроке 5 недель по акушерский... а по ХГЧ и УЗИ- 3 недели...
Правда я задалась вот таким вопросом... а как правильно должны мерить его? к врачу только 15-го.... а на сайтах ни кто ответить не может!!!!
Мне эндометрий 4мм ставят по внутреней стороне....
Сейчас срок 4 недели
- по внутреней ставят 8мм
- по на ружней 13
А тебе по какой стороне меряли?
10.03.2012
Ответить
Лёля
Анют, а я про такое вообще впервые слышу....
Может обычно говорят какой-то один, который важнее? А какой где находится? Внутренний это внутри матки слой,да?
Может обычно говорят какой-то один, который важнее? А какой где находится? Внутренний это внутри матки слой,да?
10.03.2012
Ответить
Нюша
Вот и я в шоке... когда мне в платной клинике сказали, что типа они вам по внешней мерили....
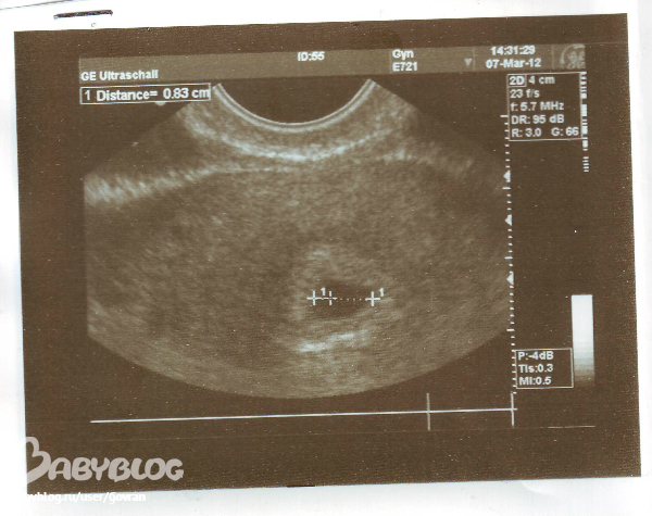
Вот судя по этому фото мерили по внутренней стороне
А вот где красными крестиками - это наружняя сторона

Вот судя по этому фото мерили по внутренней стороне
А вот где красными крестиками - это наружняя сторона

10.03.2012
Ответить
Лёля
Если честно , я в картинках узи никогда не получалось разобраться...
вот эти два изображения это вид откуда? и как там всё понимать...у самой кртинки с узи есть, а я не понимаю, сто раз смотрела их)))
вот эти два изображения это вид откуда? и как там всё понимать...у самой кртинки с узи есть, а я не понимаю, сто раз смотрела их)))
10.03.2012
Ответить
Нюша
вот это черное пятно и есть эндометрий, в котором находится малыш... на моих снимках его еще не видно.. вот если мерить четко по краям черного пятна - то это внутренняя сторона эндометрия, а по её краям есть как светлая оболочка...(где я поставила красные крестики).... так вот её края это наружняя сторона... и вот по каким мерить правильно не понятно....
10.03.2012
Ответить
Лёля
Дауж.... но вроде здесь все говорят только про один вид эндика...только вот про какой?

10.03.2012
Ответить
Нюша
Вот я и о том же.... Нодо попросить всех девочек, взять свои снимки и посмотреть, где стоят на них плюсики...
10.03.2012
Ответить
Лёля
Анют, может ты пост где-нибудь в Опросах тут создашь и спросим про какой эндик важен....ну или что там... Напиши , что тебе сказали...и кстати, что за клиника?
10.03.2012
Ответить
Нюша
Уже сделала... но народ пока молчит...http://www.babyblog.ru/community/post/living/1709311
10.03.2012
Ответить
Marinka
У меня в день О. эндик был 8,5 мм. А вообще с 7мм считается, что эндик готов "принять" яйцеклетку и что, важнее как бы не его толщина, а рыхлость во 2 фазе.
А вообще случаи бывают разные, моя узистка рассказывала, что к ней девочка ходила, кот. заб на эндике 6,5мм (она на стимуляции была)
10.03.2012
Ответить
Лёля
Спасибо!!! Верю, что всё будет хорошо!!! И моя бусинка закрепится крепко!!! И все наши бусинки у всех нас!
Буду сейчас побольше полезного кушать!
10.03.2012
Ответить
Мила
У меня на 8дц эндик был 4 мм, я стала есть ананасы, икру и рыбку красную. Через неделю заБ. Сейчас 7 ак.недель уже. А узистка и гинеколог мои сказали, что для Б нужно хотя бы 7 мм.
10.03.2012
Ответить
Лёля
Миленочка, Спасибо!!!!! я успокаиваться начала!!! Значит есть надежда ждать сейчас // !!! ну через сколько-то дней)) А тебе Легкой Б и Родов, Солнышко!
10.03.2012
Ответить
Мила
Спасибки!! Очень надеюсь, что всё хорошо будет.. И тебе удачи!!! У меня тест ровно через две недели после зачатия показал...
10.03.2012
Ответить
Ленчик
Так после О он еще нарастет;-))У меня в О обычно всегда 7-8,а потом к М 10-11 показывает.Так,что все нормально у вас!!!!Удачи!
10.03.2012
Ответить
Лёля
Спасибо, Леночка!!! Очнь надеюсь на этот цикл....жду свою малышечку ОЧЕНЬ!!!!!

10.03.2012
Ответить
Ленчик
Главное положительный настрой!))И кушай орешки,ананасы,грйпфрукты пусть эндик нарастает;-))!Если будет \\ то сдавай на прогик может нужна будет прогестероновая поддержка при проблемах с эндиком она отлично помогает;-)!!!!!!!Пусть все будет хорошо
!!!!!!
!!!!!!
10.03.2012
Ответить
Лёля
Да??? Правда???? Оливочка, а я -то этого и не знала!!! Буду надеяться!!!! А он от прогика увеличиваетсяво второй фазе? т.е. если прогик маленький то и эндик будет маленький и нужно будет начать сразу пить например Утрожестан?
10.03.2012
Ответить
Ольга Саватеева
Он от прогика распушивается... Если низкий нужно пить, но с врачом!
10.03.2012
Ответить
Легкой Б и Родов!!!! С Богом!