планирую беременность
Дублин
есть кто разбирается по Узи?!Помогите!!!
Привет всем, снова я к вам со слезами (((
В Четверг сделали укол ХГЧ 10000ед при ДФ18.5мм.
Под кат...
Не было никаких болей до воскресенья, вчера болел правый низ живота, где фолликул.
Все переживала, я конечно.Завтра улетаем в отпуск, сегодня спонтанно записалась на узи. (Думала не буду делать узи, почему то была уверена что все будет хорошо)
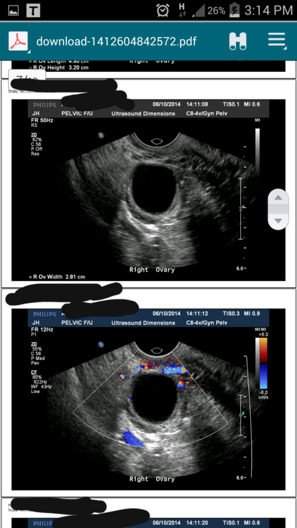
Вообщем надумала сходить на узи чисто от любопытства...и что меня там ожидалооо....Мой Дф 1.85см вырос до 3.14см ((((неужели киста? ?!!!
Или это киста желтого тела?! Фото снизу скину...может кто понимает и скажет мне что это....

Вот еще фото...
Яичник в другом ракурсе
Эндометрий и жидкость


планирую беременность
Москва
Я не спец, сама сижу со своими снимками и колдую над ними, но ваш ДФ все же больше ЖТ напоминает. А что там с жидкостью? Не нашли? И как вообще раньше, были кисты?
0
06.10.2014
Ответить
Мама двоих (9 лет, 5 лет)
Дублин
Да и жидкость есть именно с правой стороны, Узистка попалась молоденькая...и она походу ваще не шарит что да как...Было от гиперстимуляции, на 12 дц было 3.64см вроде. ..в истории есть точно Хоть и 10000ед кололи ((((
0
06.10.2014
Ответить
Мама двоих (9 лет, 5 лет)
Дублин
Пусть будет все так как вы сказали))) Аминь!
0
06.10.2014
Ответить
планирую беременность
Москва
Аминь!Какие у вас фотки с узи! И доплер (кровоснабжение в цвете) и яичник в двух ракурсах!!! я в шоке!!!!!! аааа Дублин.......ура ирландским узистам!!!!!!!!!!!!!
0
06.10.2014
Ответить
Мама двоих (9 лет, 5 лет)
Дублин
Ахахааха)) расмешилии....вы серьезно? ! А
0
06.10.2014
Ответить
Мама двоих (9 лет, 5 лет)
Дублин
Тут ужасная медицина! !!А если найдешь нормального врача, то 200€ минимум консультация!Так они с Узи берут по 125€ , работают 7 дней в неделю, до 9ти вечера приемы! И ничего сказать толком не могут ! Когда у меня была стимуляция, на 12дц ФК образовалась,так узистка сказала :все хорошо,3.64 см это ДФ! И это нормальный размер! Ждите овуляцию на днях...Кароч тут пипец....
0
06.10.2014
Ответить
планирую беременность
Москва
О Боженька, да что ж они такие деньги дерут! Но узи подивило, я просто столько уже на узи была и у такого количества "спецов")))) знаю, что говорю. У нас так не смотрят. Другой вопрос, что если вам комментируют, что 3.64 это ДФ, то да..........но может их учат так в универе?? Мы же не знаем. У нас с 25-26 мм это киста считается. В принципе пусть измерит эндометрий и сделает снимки, на ББ вам и так разложат что там почем.
0
06.10.2014
Ответить
Мама двоих (9 лет, 5 лет)
Дублин
Ну вот так вот))) просто оборудование хорошее, и на вид очень современное! Да правда два раза такая не очень узистка попалась....кстати, все фото снимки они делают для себя.Я просто прошу выслать их на майл.А обычно они дают один листочек и там 3 строчки написано)))
0
06.10.2014
Ответить
планирую беременность
Москва
ага))) пока не начала читать ББ, такая дуремарка была, смотрела в рот врачам и узистам и голова шла кругом и думала, что все, что они говорят, истина в последней инстанции. Теперь я не доверяю никому)))))))) Только себе и своим выводам! На основании мед.форумов, опыта ББ-шек, своего опыта, консультаций у разных специалистов и тд. Миксую все это и сама решаю, что происходит.
0
06.10.2014
Ответить
Мама двоих (9 лет, 5 лет)
Дублин
Это точно! Я всегда рано радуюсь, и в итоге потом сижу плачу что не все так как хочется ((( в этот раз, я все продумала...в каком роддоме рожу, какую коляскк куплю...имена придумала...кроватку присмотрела. ..вообщем сама дура...сама напридумывала раньшк времени (((А я очень доверчивая, всем на слово верю (((
0
06.10.2014
Ответить
планирую беременность
Москва
Роддом и коляска- усе будет! Терпение!!:):)
0
06.10.2014
Ответить
планирую беременность
Москва
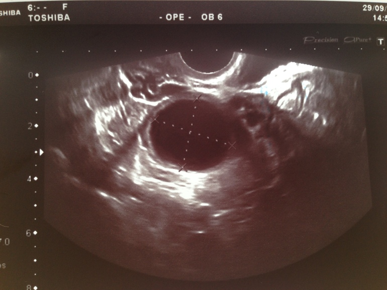
Вот например подтвержденное ЖТ и тоже около 30 мм.
Ну и где тут что неровное? И где вкрапления?А вот вам киста (под вопросом):
Отличить сложно. Но если есть жидкость,а у вас есть, тогда это ЖТ.
Ну и где тут что неровное? И где вкрапления?А вот вам киста (под вопросом):
Отличить сложно. Но если есть жидкость,а у вас есть, тогда это ЖТ.
0
06.10.2014
Ответить
Мама двоих (9 лет, 5 лет)
Дублин
На мою похожа же)) так у вас была овуляция?
0
06.10.2014
Ответить
планирую беременность
Москва
Одна узистка сказала да, вторая в этот же день сказала нет. Ясен пень, в круг доверия вошла тутже первая узистка))))Ну а вообще надежду у планировщицы никто не отнимет)) так что прижала к груди свою надежду и зубами никто ее у меня не отдерет)))
0
06.10.2014
Ответить
Мама двоих (9 лет, 5 лет)
Дублин
Конечно, я тоже так.Слушаем то, что хочется))) Не зря говорят: "Надежда умирает последней"Я вот тоже надеюсь, с другой стороны потом когда М придут...а с кистой онии тааакииие болючие будут!!!!Потом я сижу, реву, говорю мужу : зачем я ему такая бесплодная нужна, пусть тебе родит другая то се....пока мес не пройдут я так хожу скафню пока он не поругает меня ((( вообщем отдых я себе заранее испортила, вся неделя пройдет уныло (((
0
06.10.2014
Ответить
планирую беременность
Москва
Ну вот не надо!! Отдых должен быть во благо малышу! Онили сейчас уже пришел или стоит рядом и скоро придет! Так что не будем унылыми эгоистками!!! Будем милашками оптимистками!)))) давайте там не подкачайте и отдыхайте как будущая мама! Радостно и в ожидании:)
0
06.10.2014
Ответить
Мама двоих (11 лет, 11 лет)
Екатеринбург
Больше похоже на фолликулярную кисту! Но есть овуляторный бугорок - может и лопнет еще...
0
06.10.2014
Ответить
Мама двоих (9 лет, 5 лет)
Дублин
Я добавила еще одно фото, а там есть бугорок о котором вы говорите?!
0
06.10.2014
Ответить
Мама двоих (11 лет, 11 лет)
Екатеринбург
Ооочень сложно понять... Толи это место разрыва уже, толи нет... Но по кровотоку ощущение что это формирование ЖТ!
0
06.10.2014
Ответить
Мама двоих (9 лет, 5 лет)
Дублин
Спасибо за ответ, у меня есть надежда что это киста ЖТ!Завтра отпишусь , отправила фотки грамотному узисту, который очень далеко сейчас (он завтра посмотрит с утра, а то у них ночь давно) удачи вам)))) еще раз спасибо! !!
0
06.10.2014
Ответить
Мама мальчика (11 лет)
Ярославль
Да, похоже что в кисту перерос.....
0
06.10.2014
Ответить
Мама двоих (9 лет, 5 лет)
Дублин
У меня точно отпустятся руки после этого((((
0
06.10.2014
Ответить
Мама мальчика (11 лет)
Ярославль
Кисту ЖТ — я имела ввиду! НО — должна быть свободная жидкость!
0
06.10.2014
Ответить
Мама двоих (9 лет, 5 лет)
Дублин
Да она есть,именно я правой стороны гле и Дф был... значит думаете что фоллик лопнул, и желтое тело переросло в кисту Жт!? Эндометрий еще 1.22см
0
06.10.2014
Ответить
Мама мальчика (11 лет)
Ярославль
Да, думаю фолик лопнул — все таки и сам не маленький был, и 10 тыс ХГЧ... Да и жидкость сомнений не оставляет! А по размерам это киста Жт — у меня в Б цикл кстати тоже была киста ЖТ)
0
06.10.2014
Ответить
Мама двоих (9 лет, 5 лет)
Дублин
АМИНЬ вашим словам!!! Я надеюсь что так и будет...не хочу верить в другое)) спасибо за ответ)
0
06.10.2014
Ответить
Мама мальчика (10 лет)
Саранск
Не хочу Вас расстраивать, но на мой взгляд, это все же больше похоже на фолликулярную кисту. У кисты желтого тела не такая однородная внутренняя консистенция. Я так понимаю, возможности сдать кровь на прогестерон у Вас нет, раз улетаете завтра? Если найдете такую возможность-сдайте утром в той лаборатории,где Вам могут выслать результат по смс или по почте. Прогестерон мог бы прояснить картину- если его уровень будет достаточным для лютеиновой фазы,значит это все-таки киста желтого тела (дай Бог чтобы так было), а если прогестерон низкий,как в фолликулярную фазу,то речи о ЖТ быть не может,и кисту придется полечить-помочь ей рассосаться.
0
06.10.2014
Ответить
Мама двоих (9 лет, 5 лет)
Дублин
Да я не успеею, в утра вылет уже...Да конечно трудно осознавать, но это жизнь ((( в прошлый раз она сама рассосалась с мес.А так спасибо за ответ )))) Удачи всем нам)
0
06.10.2014
Ответить
Мама троих (9 лет, 6 лет, 1 год)
Москва
У меня недавно был такой же почти пост!мне вообще сказали, что это уже желтое тело 22мм!а овуляции не было даже!узисты- они такие узисты!))) Ну вы меня поняли))
0
06.10.2014
Ответить
Мама двоих (9 лет, 5 лет)
Дублин
Мдаа....походу курсы прошли за месяц и сидят умничают...(((эхххх
0
06.10.2014
Ответить
Мама двоих (10 лет, 8 лет)
Иваново
я не врач, но по мне похоже очень нафолликулярную кисту (у жт контуры другие, неровные),у самой такая была, изучала вопрос. ей теперь лучше не дать лопнуть.мне тогда таблетки противовоспалительные назначали, м М она ушла.
0
06.10.2014
Ответить