Наша история
Думаю настало время написать нашу историю и покинуть это сооьщество)
Если кто помнит у меня было 2 В с разницей в год, а через год еще один на сверхраннем сроке.. и все они происходили весной в апреле-мае (то есть беременела я в марте). Было пройдено куча анализов и докторов, даже до генетика дошли, но конкретных причин так никто и не нашел.. В этом году где-то в марте мы были у одной бабушки, она мне сказала тогда, что у меня нет никаких жизненных сил, что я потускнела.. и ведь на самом деле я была какая-то вялая все время, мне ничего не хотелось, у меня все время что-то болело, кружилась голова и не было сил. Эта бабушка мне сказала, что я забеременею тогда, когда зацвету розой и буду порхать и все будет хорошо))) Мне слабо во все это верилось.. я продолжала плакать, ждать, надеяться, верить.. А после еще одной неудачи - была 5 ДЗ и слабоположительный тест, а потом пришли М, я опустила руки.. мы с мужем решили, что на этом хватит. Хватит с нас этих анализов и нервотрепок. Настало лето, я увлеклась рукоделием, в августе вышла на работу, в сентябре поступила на второе высшее. У меня появились силы, мне хотелось петь и танцевать, я цвела и пахла))) А в октябре за 2 дня до предполагаемых М я поняла что что-то не так.. мне не хотелось сладкого (в ПМС я ем сладкое килограммами), хотелось спать и плакать.. решила сделать тест и он выдал слабую полоску, я подумала, что опять глюк, но на следующий день сделала еще один и он уже был с хорошей полоской! Я ни разу не видела таких полосок - ярких и жирнющих! В 1ДЗ помчалась сдавать ХГЧ - 65! А потом начало мазать розовым.. я помчалась к своему доктору, на УЗИ ничего не увидели, моим переживаниям не было предела.. но ХГЧ подрос и через 5 дней был уже 823)) а розовым мазать перестало и нас увидели!!!
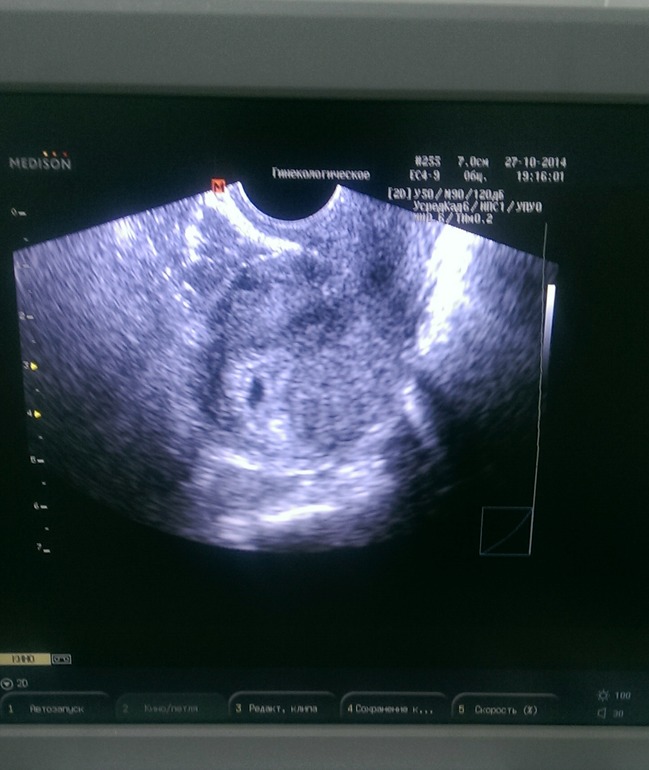
вот она, первая фотография нашего малыша)
Потом было УЗИ в 6 недель - слушали сердечко, в 8 я встала на учет, в 9 недель сделала еще раз УЗИ, ну и в 12 как положено 1-ый скрининг)) У нас конечно есть некоторые проблемы, но я пообещала себе, что обязательно вынесу все что угодно, лишь бы сохранить эту беременность!
P.S. Эта беременность как снег на голову, очень неожиданна для нас, но мы очень счастливы и надеемся, что она будет благополучной и закончится рождением сладкого здорового малыша! Мы верим и очень ждем!
А всем планирующим я желаю скорейших жирнющих полосок и по традиции мой заразный беременный чих: аааааппппчхииииии!
Это чудо! У меня вопрос: вы написали. что бабушка в г.Салавате, это в Башкирии?
Благополучной беременности и родов!

