планирую беременность
Тюмень
Есть шанс?
О. я уже ощущаю без тестов и узи, тем более ПА было вечером в четверг, в пятницу утром муж уехал, а сегодня БТ 36,4, после этого у меня обычно подъем происходит, до этого не мерила ее и не буду, просто хотела знать была она или нет. Вчера еще ныл левый Я., перед О. сильно тянет, болит прям, потом перестает когда О. я вот думаю вообще есть ли шанс??? положа руку на сердце думаю это нереально, допустим сегодня О., что С. два дня ждать будут? Хотя читала, что они и неделю могут, от мужчины зависит.
В понедельник на узи было два фолликула 16,17 мм и один за ними ваще большой, где то 20 мм. Думала может тот большой лопнул, если бы было так то и БТ бы выросла.
Короче я ничего не жду
поеду ща ремонтом заниматься)
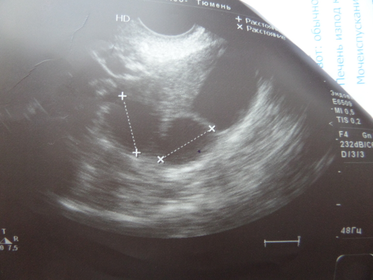
снимок узи

Мама двоих (2 года, 5 месяцев)
Екатеринбург
Мне бы такие фолики, красота!
0
17.01.2015
Ответить
Мама двоих (2 года, 5 месяцев)
Екатеринбург
У меня в следующем цикле стимуляция.
0
17.01.2015
Ответить
Мама двоих (2 года, 5 месяцев)
Екатеринбург
Спасибо! У меня на прогинове хоть эндометрий вырос до 10 мм на 13 дц, а вот фолики маленькие.
0
17.01.2015
Ответить
Мама двоих (2 года, 5 месяцев)
Екатеринбург
фолики 8 мм, эндометрий 10 на 13 дц, я с 15 по 28 дюф должна пить, я не стала. Не хочу дюф пить у меня прогестерона достаточно.
0
17.01.2015
Ответить
Мама девочки (5 лет)
Тюмень
малыши...они не растут больше? если так, то тебе точно стимуляция нужна.
0
17.01.2015
Ответить
Мама двоих (2 года, 5 месяцев)
Екатеринбург
они если вырастут, то только к 30 дц думаю((( В этом цикле будь что будет, а на следующий цикл сдаю гормоны на 3 дц и к врачу сразу как результаты получу.
0
17.01.2015
Ответить
планирую беременность
Москва
Я тут нарыла учебник по акушерству для мед.вузов. Там так интересно написано, что сперматозоиды в женщине могут жить до пяти дней, сохраняя свою подвижность. НО оплодотворяющая способность сперматозоидов пропадает по истечении двух суток. Т.е. жить-то они живут, а вот помочь уже ничем не могут. И опять НО. Природа допускает исключения. То есть если женщина забеременела, имея ПА за 3-4 дня до О, то это "ну просто ваще какой суперчемпион" добежал до ее яйцеклетки))) Так что два дня они вполне могут подождать, пребывая в приятной и питательной среде цервикального канала, а вот потом уже...если только очень повезет.Как продвигается ремонт? Я уже пережила два. А в перспективе еще один) Сколько ни делаешь, а опыт приходит постепенно. Но с каждым разом все меньше ошибок и желания экспериментировать))
0
19.01.2015
Ответить
Мама девочки (5 лет)
Тюмень
и то я думаю, что это зависит от мужчины, у меня подруга так заБ., задолго до О. был ПА, а потом они предохранялись и передумали вовсе, но не тут то было! :)))так что никому не известно что и как, бывают чудеса на свете какие то.Ну плитка в туалете на полу есть, стены зашпаклевали, кроме спальни, в субботу доделаю, хотя муж на вахте, а я не могу ниче не делать, потом приедет пол будем покрывать, обои клеить. потолок натянем и вид уже прикольный будет, можно будет переезжать
мне очень нравится в своей квартире, главное я заметила приходишь туда и усталости как не бывало, может атмосфера какая то благоприятное или просто мы хорошие люди 
нравится мне там очень!мы пока еще экспериментируем! фотообои будут на кухне, как ни странно мы с мужем даже не спорили на счет них и вообще обоюдно все решаем. Странно даже. У нас с ним это первая квартира, у меня нет, но сама я ремонт никогда не делала и впервые я заинтересована в нем. Сама искала квартиру, оформляла ипотеку, мое дитя)у тебя как дела?
мне очень нравится в своей квартире, главное я заметила приходишь туда и усталости как не бывало, может атмосфера какая то благоприятное или просто мы хорошие люди 
нравится мне там очень!мы пока еще экспериментируем! фотообои будут на кухне, как ни странно мы с мужем даже не спорили на счет них и вообще обоюдно все решаем. Странно даже. У нас с ним это первая квартира, у меня нет, но сама я ремонт никогда не делала и впервые я заинтересована в нем. Сама искала квартиру, оформляла ипотеку, мое дитя)у тебя как дела?
0
19.01.2015
Ответить
планирую беременность
Москва
А мы решили отложить все до мая. Я сейчас вовсю занялась удалением зубов мудрости (у меня случай сложный), скоро мужу операцию сделаем, чтобы сперматозоиды пришли в себя))) Запланировали путешествие. В общем, как-то активно начали. Иногда пробивают мысли "может, хотя бы в марте попытаться?". Но потом беру себя в руки! Тут в кафе пошли, за соседним столиком беременная сидела. Поймала себя на том, что раздражаюсь из-за нее. Мысленно надавала себе оплеух и приказала подтереть сопли) Вроде прошло. Стыдобища!
Позволю себе совет по поводу ремонта-только не берите кухонный гарнитур с глянцевыми фасадами! А вообще свое жилье-это счастье! Я понимаю это чувство, когда приходишь в квартиру, там ремонт, даже присесть не на что, но при этом можешь провести в ней три часа и будто заряжаешься энергией!
0
19.01.2015
Ответить
Мама девочки (5 лет)
Тюмень
знакомо очень, я вообще вспыльчивая, а когда больная тема дак тоже раздражаюсь, но как то не всегда, замечаю за собой, что засматриваюсь на детей, на малышей, смотрю как на ЧУДО) и думаю счастливица, тоже так хочу) представляю как бы мои родители бы нянчились, а я все никак их порадовать не могу. И как то немного грустно.знаешь,у родителей глянцевая кухня, ни одно пятнышка, ничего не остается...я как раз хотела кстати глянцевую бело молочного цвета) а как ты считаешь удобно такое будет? у нас еще балкон с кухни, хочу мягкую зону сделать и телек повесить и не знаю в какой угол.Посоветуй что нибудь.
0
20.01.2015
Ответить
планирую беременность
Москва
Может быть, твои родители фасады протирают постоянно?)) Я завтра при свете сфоткаю свои - сможешь заценить. Плюс на них со временем затертости появляются, микроцарапины. Если солнышко светит - ой как заметно! Посуду моешь - на нижней дверце вечные потеки. Под рабочей зоной - тоже самое. Рядом с ручками постоянный набор отпечатков пальцев и ладоней. Я не отговариваю! Но опытом хочу поделиться. Чтобы ты, так сказать, с открытыми глазами шла на это)) Молочный цвет очень красивый, и сразу столько пространства и воздуха дает помещению. Но надо быть готовой поддерживать в идеальной чистоте. На нем будет видно все.
0
20.01.2015
Ответить
Мама девочки (5 лет)
Тюмень
я с удовольствием принимаю советы! и еще приму.нет, постоянно не протирают, иногда, может глянец разный бывает? он у них не идеально ровный какой то, не как зеркальная поверхность, но глянцевый.скинь в личку, посмотрю.
0
20.01.2015
Ответить
Мама троих (21 год, 10 лет, 7 лет)
Батайск
Даже если сегодня будет О, спермики могут дождаться ее, не переживай, как Бог даст!
0
17.01.2015
Ответить
Мама девочки (5 лет)
Тюмень
ой не говори, да мы и в О. и до и после при стимуляции и фиг. да такое ощущение, что когда время придет все сложится так как нужно.сейчас цикл после стимуляции, первый вон вообще быстро вымахал.
0
17.01.2015
Ответить
Мама девочки (5 лет)
Тюмень
ну раз вы точно знаете, тогда я не буду волноваться! )
0
17.01.2015
Ответить
Мама двоих (11 лет, 9 лет)
Калининград
Шанс есть всегда!!!! А у тебя он реальный 

0
18.01.2015
Ответить
Мама девочки (5 лет)
Тюмень
спасибо, дорогая!
вчера БТ 36,4 , сегодня 36,7, маловато для второй фазы, но по ощущениям живот горит и что О уже была, не буду ничего мерить дальше. Знаешь как я хочу чтобы уже получилось, наконец то испытать опять счастье быть Б. и наконец то забыть про неудачи, про анализы, врачей и просто наслаждаться своим малышом!!!!
вчера БТ 36,4 , сегодня 36,7, маловато для второй фазы, но по ощущениям живот горит и что О уже была, не буду ничего мерить дальше. Знаешь как я хочу чтобы уже получилось, наконец то испытать опять счастье быть Б. и наконец то забыть про неудачи, про анализы, врачей и просто наслаждаться своим малышом!!!!
0
18.01.2015
Ответить
Мама двоих (11 лет, 9 лет)
Калининград
Натусь, именно так и будет!!!!!!!
Обязательно получится и в вашей новой квартирке будет звучать звонкий детский плач смех!!!!!!! 
Обязательно получится и в вашей новой квартирке будет звучать звонкий детский плач смех!!!!!!! 
0
18.01.2015
Ответить
Мама девочки (5 лет)
Тюмень
хоть бы, хоть бы, мы ремонт делали я прям представляла как малыш будет топать своими малюсенькими ножками :)
0
18.01.2015
Ответить
Мама девочки (12 лет)
Киев
Если СГ нормальная,то конечно дождутся,так обычно девочки получаются. Спермики девочки живут по 3-4 дня,мальчики 1-2....мы делали через день,первый раз мальчишки были,Диану тоже через день делали.....так что все получится...вообще в идеале весь цикл через день пачиться,кто знает когда О будет,у меня и в конце она была...
0
17.01.2015
Ответить
Мама девочки (5 лет)
Тюмень
ну не факт, у меня подруга пошла на узи сказали ну скоро будет, у них был незащищенный ПА, потом они передумали планировать и в итоге Б.! я так поняла чуть ли не неделю с. ждали в итоге — мальчик! у меня муж уехал, так что особо не надеюсь, что получилось, так как то проще жить, меньше расстройств) но с другой стороны думаешь, ну когда же наступит блин этот счастливый месяц!
0
17.01.2015
Ответить
Мама двоих (16 лет, 8 лет)
Илава
Я тоже чувствую свою О. В этот раз даже пару дне была боль. Вчера отчетливая. Будем надеяться вместе! Удачи Вам!
0
17.01.2015
Ответить
Мама девочки (5 лет)
Тюмень
я кстати раньше не осозновала никогда и знала эту О., а сейчас после многочисленных узи, тестов я поняла все и стала чувствовать.спасибо! ждем задержку!!!
вернее не ждем, а просто живем и наслаждаемся жизнью!
вернее не ждем, а просто живем и наслаждаемся жизнью!
0
17.01.2015
Ответить
Мама троих (14 лет, 10 лет, 5 лет)
Архангельск
недавно счастливый постик здесь читала — девушка за Б в первый день М))) так что высчитывай-невысчитывай, а на всё воля Божья!!!!
0
17.01.2015
Ответить
Мама девочки (5 лет)
Тюмень
ну дак что говорить, у меня в конце М. уже вон какой фоллик, значит у нее тогда О. была, это конечно очень странно...но бывает же такое..а может она путает что то, в первый день М. такие потопы что не до секса вообще.
0
17.01.2015
Ответить
