Мама мальчика (7 месяцев), планирую беременность
Мытищи
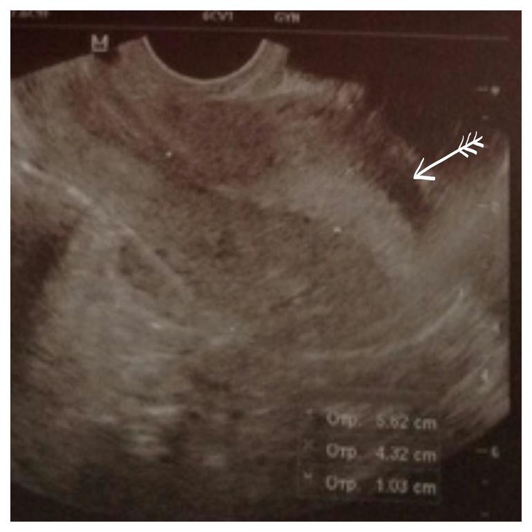
4 дз. Девочки, посмотрите узи!
Четвертый день задержки, болит живот, тесты отрицательные. Пришла на узи и на тебе. В яичнике киста ЖТ (у меня такая при Б была) и она сказала, что она начала лопаться! И появилась уже жидкость 30 мл от нее...
Дальше... Что это за анэхогенное включение в матке? Это может быть миома? Или что это? Вот про это включение она мне ни слова не сказала, а увидела я уже когда в машине протокол стала читать. Ну и киста на шм. Короче, вообще ниче непонятно... Сказала половой покой и вообще покой..... 



Мама двоих (11 лет, 11 лет)
Екатеринбург
На ПЯ похоже это ваше анэхогенное образование. В самом дне матке как раз. И ЖТ шикарное! Может сдадите кровь на хгч?
0
17.06.2015
Ответить
Мама двоих (11 лет, 9 лет)
Мытищи
Я сомневаюсь в беременности. Точнее очень сомневаюсь! Если ведь киста лопается, это все???
0
17.06.2015
Ответить
Мама двоих (11 лет, 11 лет)
Екатеринбург
Киста жт может и во время б лопнуть... следите за самочувствием если болеть будет! Обращование в матке видно на фото! Если это не б то возможно как и на шейкн типа эндометриозного образования...
0
17.06.2015
Ответить
Мама двоих (11 лет, 9 лет)
Мытищи
Где вы там это образование видите? Вот я ниче не вижу...ой хоть бы ничего серьезного.....(((
0
17.06.2015
Ответить
Мама двоих (11 лет, 11 лет)
Екатеринбург
На втором фото! Прямо в дне матки!!!!!
0
17.06.2015
Ответить
Мама двоих (11 лет, 9 лет)
Мытищи
Я тупень
Даже не знаю где там дно
Даже не знаю где там дно
0
17.06.2015
Ответить
Мама двоих (11 лет, 9 лет)
Мытищи
Аааа, вижу что то полукруглое... Такое большое.. Спасибо
0
17.06.2015
Ответить
Мама двоих (11 лет, 11 лет)
Екатеринбург
И вроде не в эндометрии а в миометрии... т.е в мышечном слое матки... как и в шейке... эндометриоз никогда не ставили пож вопросом?
0
17.06.2015
Ответить
Мама двоих (11 лет, 9 лет)
Мытищи
Значит Б исключается? Нет, никогда не ставили....
0
17.06.2015
Ответить
планирую беременность
Солнечногорск
А у Вас ничего не болело? Просто у меня в субботу разорвалась киста желтого тела во время ПА. Я минут 30 разогнуться не могла, а потом после Ношпы отпустило. На следующий день пошла на узи и там мои подозрения о разрыве кисты были подтверждены. Три дня пролежала дома, пила кровоостанавливающие (госпитализироваться отказалась). Сегодня вот недавно только от врача — вроде бы все нормально уже. Теперь вот после М на узи, чтобы посмотреть ушла ли киста. Но в моем случае я знала, что киста ЖТ (подтверждена по узи) и надо было конечно поберечься и мужа не подпускать еще и в фазу расцвета ЖТ..но как есть уже.А у вас откуда эта история? И почему врач уверена, что это киста ЖТ, а не фолликул? Овуляция была подтверждена? Размер совсем не кисты..какой день цикла сегодня?
0
17.06.2015
Ответить
Мама двоих (11 лет, 9 лет)
Мытищи
43 день цикла уже. Да, овуляцию я следила по узи. Сегодня получается 15-16 дпо... А живот у меня уже давно очень болит, именно поэтому на узи и пошла((((((а вам что теперь говорят? Вот лопнула она, а дальше?????
0
17.06.2015
Ответить
планирую беременность
Солнечногорск
А дальше прийти после М и посмотреть рассосалась ли. Должна уйти по идее с М. Но мне ее подтвердили кисту ЖТ сразу после О, так что я на Утрожестане сижу. Сегодня 24 ДЦ и 11 ДПО. Если через 2 дня тест все так же будет пустой, то отменю Утрожестан и буду ждать М. Так что остается только ждать М.(((( Если это киста ЖТ, то О может немного запоздать...Как-то так. Удачи Вам! И не переживайте сильно! Придут М и эта быка рассосется! 

0
17.06.2015
Ответить
Мама двоих (15 лет, 10 лет)
Какие размеры кисты? У меня тесты полосатые до задержки были, болел бок, УЗИ показало кисту ЛЯ. Анэхогенное в матке 2мм, на двух УЗИ сказали что Б. На одном УЗИ эндик 15 через день на другом 17мм. Через неделю, а это завтра, на повторное УЗИ.
0
17.06.2015
Ответить
Мама двоих (11 лет, 9 лет)
Мытищи
Киста 2,5 на 2,5.... Да у меня тоже она была во время бер. До 15 недель. У меня не бок болит, а живот... Я поэтому на узи и поперлась...
0
17.06.2015
Ответить