планирую беременность
Каменск-Шахтинский
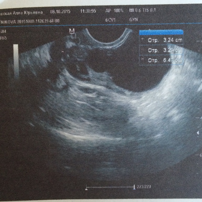
Почему такой большой яичник?
Была сегодня на Узи думала после капельниц с магнезией киста выйдет с М, но нет она все ещё во мне сегодня начну пить регулон, но почему такой огромный левый яичник?фото Узи подкат

Мама мальчика (21 год)
Кемерово
огромная киста и я бы еще на эндик обратила внимания для 3 дц он очень большой. у вас что эндометрий при м не оттаргается?
у меня на 3 дц эндик не больше 2 мм
0
08.10.2015
Ответить
Мама девочки (9 лет), планирую беременность
Каменск-Шахтинский
не у меня сегодня 5 день,но если учитывать что у меня еще сначала мазня один день была то сегодня 6дц
0
08.10.2015
Ответить
Мама двоих (10 лет, 4 года)
Москва
Огромная киста это см 8)) 3 см это не так уж страшно.
0
08.10.2015
Ответить
Мама двоих (9 лет, 6 лет)
Калуга
у меня по-больше были яичники , это из-за кист и еще плюс там фолики есть. киста неочень большая уйдет мне кажется и без регулона... Но вы конечно слушайте врача. мне дюфастон назначили, я отказалась от ОК
0
09.10.2015
Ответить
Мама девочки (9 лет), планирую беременность
Каменск-Шахтинский
я пила дюфастон не помогло,а киста сидит уже 4 месяца и не выходит,надеюсь регулон поможет хоть от него и тошнит.спасибо за ответ)
0
09.10.2015
Ответить
Мама двоих (9 лет, 6 лет)
Калуга
странно что дюф не помог. 4 месяца прилично. но врач всеравно ставит фоликулярную кисту, а не какую-нибудь другую?
удачи вам!!! все уйдет надеюсь на ОК
0
09.10.2015
Ответить
Мама двоих (13 лет, 9 лет)
Москва
ну так киста же...
киста уйдет через 1-2 цикла
0
08.10.2015
Ответить
Мама девочки (9 лет), планирую беременность
Каменск-Шахтинский
забыла написать месяц назад объем яичника был 50мм при такой же кисте,а в этом цикле сразу на 2 см увеличился вот я и заволновалась.
0
09.10.2015
Ответить
Мама двоих (10 лет, 4 года)
Москва
За счет кисты увеличен яичник. На регулоне думаю за месяц все уйдет
0
08.10.2015
Ответить
Мама девочки (9 лет), планирую беременность
Каменск-Шахтинский
Спасибо утешили))а то я что-то совсем расстроеная
0
08.10.2015
Ответить
Мама девочки (9 лет), планирую беременность
Каменск-Шахтинский
Надеюсь регулон поможет справится с кистой сказали что она фолликулярная
0
08.10.2015
Ответить