Войти
Мама девочки (2 года), планирую беременность Тверь

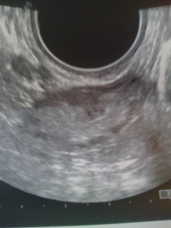
Поход к гинекологу и УЗИ...)

0
24
Мама четырех (от 9 лет до 18 лет)
всмысле маленькая точечка? я на узи прям ребенка вижу. у меня что глюки?
0
13.10.2015
Мама двоих (13 лет, 7 лет) Тверь
Да у меня др задержки ещё 3 дня))))
0
13.10.2015
Мама четырех (от 9 лет до 18 лет)
хм... прикольно, видимо все будет хорошо у вас, я прям четко вижу ребенка, голова и тельце. вы тоже это видите или я одна такая?
0
13.10.2015
Мама двоих (13 лет, 7 лет) Тверь
Я вижу маленькую тосечку в белом кружке)
0
13.10.2015
Мама двоих (12 лет, 8 лет) Запорожье
Тогда у меня тоже глюки)))
0
13.10.2015
Мама двоих (13 лет, 7 лет) Тверь
Ой незнаю не знаю))))
0
13.10.2015
Мама мальчика (8 лет) Тверь
И моё воображение кричит что там ребеночка видно!!!!😤
0
13.10.2015
Мама двоих (13 лет, 7 лет) Тверь
Ну я думаю что узист не может не разглядеть ребеночка)
0
13.10.2015
Мама мальчика (8 лет) Тверь
Да его и не может там ещё быть видно ни как! Просто вглядитесь в картинку там КАК БУДТО ребеночек
0
13.10.2015
Мама мальчика (8 лет) Тверь
Желаю Вам заветных //
0
13.10.2015
Мама четырех (от 9 лет до 18 лет)
узисты разные бывают..... сходите на другое узи. может быть у вас через плод месячные были? ну блин прям очень похоже что там ляля.
0
13.10.2015
Мама двоих (13 лет, 7 лет) Тверь
Через нндельку пойду
0
13.10.2015
Мама четырех (от 9 лет до 18 лет)
желаю вам удачи, и пусть вам ваш малыш ручкой с монитора помашет :)
0
13.10.2015
Мама двоих (13 лет, 7 лет) Тверь
Спасибо большое)будем ждать)
0
13.10.2015
Мама двоих (15 лет, 13 лет) Красноярск
как вы можете видеть ребенка,если до задержки еще 3 дня,значит срок еще совсем маленький,и на узи не будет видно "прям ребенок"...
0
13.10.2015
Мама четырех (от 9 лет до 18 лет)
ну в посте этого не было написанно, а если посмотреть на фото узи то там виден ребенок. я такие фотки не раз видела. просто видимо так на узи кажется что там уже полноценный ребенок
0
13.10.2015
планирую беременность Москва
Я тоже вижу ребеночка, понимаю что не могу это видеть, но ведь вижу
0
13.10.2015
Мама двоих (15 лет, 13 лет) Красноярск
у меня так же была маленькая точка в матке и тесты вроде с еле заметной полоской(оказались реагентами) и в итоге Б не было,на 10 ДЗ пошли месячные...надеюсь,что у вас не так,и Б есть!
0
13.10.2015
Мама троих (16 лет, 12 лет, 9 лет) Никосия
Мне сразу ребёночек бросился в глаза.такой хорошенький!
0
13.10.2015
планирую беременность
Не прочитав пост увидела ребеночка и ещё подумала прям ноздри и глазик даже видно))
0
13.10.2015
Мама мальчика (21 год) Кемерово
так у вас не одна точечка, я 7 шт таких точечек насчитала
0
13.10.2015
Мама двоих (15 лет, 13 лет) Красноярск
а тест,что показывает?
0
13.10.2015
Мама двоих (13 лет, 7 лет) Тверь
Вторая еле видная(
0
13.10.2015
Мама двоих (14 лет, 8 лет) Москва
И я малыша увидела на фото, до текста
0
13.10.2015
Старое жёлтое тело???? Фолликулометрия...

Похожие записи