Войти

Подскажите по узи

чем лечить фолликулит
0
35
Мама троих (17 лет, 11 лет, 9 лет) Псков
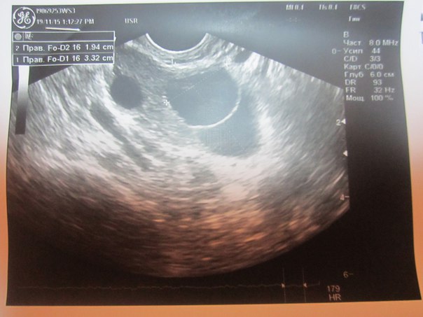
У меня в этом цикле увидели на узи в левом яичнике доминантный фолликул и в нём же, двухкамерную кисту. Я расстроилась, т.к. двухкамерные кисты сами не уходят, только операция, но оказалось, что это 3 фолликула!!!!
0
24.11.2015
Мама троих (25 лет, 15 лет, 9 лет) Москва
Уходят..еще как)..если не уходят есть еще метод их прокалывать неоперационно..как то иглой через стенку влагалища...но это я поняла мало где практикуют...
0
24.11.2015
Мама троих (17 лет, 11 лет, 9 лет) Псков
Мне врач сказала, что если за 3 цикла не уйдут, то только лапороскопия.
0
24.11.2015
Мама троих (25 лет, 15 лет, 9 лет) Москва
У меня обычно уходили в следующем цикле...Надеюсь и у вас уйдут!..
0
24.11.2015
Мама троих (17 лет, 11 лет, 9 лет) Псков
Спасибо! У меня оказались фолликулы,а не кисты-овульнули))).
0
24.11.2015
Мама троих (25 лет, 15 лет, 9 лет) Москва
Это хорошо!
0
24.11.2015
вы делали еще раз узи. когда?
0
24.11.2015
Мама троих (17 лет, 11 лет, 9 лет) Псков
Я свой снимок УЗИ показала другому врачу. Она сказала,что никакая это не киста-это фолликулы. По размерам, должны скоро овульнуть,сделала тест на овуляцию-положительный. Через сутки сходила на УЗИ-была овуляция,нет кисты)))
0
24.11.2015
а размер не помните кисты, которые фолликулы?) потому что у меня вечером живот болел, думаю - может все таки овуляция)
0
24.11.2015
Мама троих (17 лет, 11 лет, 9 лет) Псков
33 на 19, но мерила она не отдельно каждый,а вместе,как двухкамерную кисту
0
24.11.2015
ну вот у меня тоже размер большой. может все таки 2 фолликула))))))))
0
24.11.2015
Мама троих (17 лет, 11 лет, 9 лет) Псков
Ну,если не брать замер 33,то фолликул у меня 19 на 19,вот он и овульнул.
0
24.11.2015
Мама мальчика (9 лет) Кривой Рог
За кисту не скажу,но у меня оба МФЯ, это не лечится, ибо это не болезнь, это состояние яичника. Если есть своя О и нет жалоб, то их не трогают, разве что, есть смысл проверить гормоны, так как МФЯ чаще всего свидетельствует о каких то неполадках с гормонами. Если Б не планируется, то обычно Г выписывают ОК, или же возможен вариант Б на отмене ОК, это уже кто как для себя решает, мне Г предлагала, я отказалась, пробуем сами.
0
23.11.2015
Вот читала я, и как поняла если оба мфя то овуляции нет, так как фолликулов очень много и они не созревают до конца. Не так?
0
23.11.2015
Мама мальчика (9 лет) Кривой Рог
Не так. В норме при МФЯ есть своя О и много антральных фолликулов. Если своей О нет, то дело в гормонах, тогда корректируют гормональный фон. Мне поставили диагноз МФЯ год назад, за этот год у меня было 11 циклов с О и 1 без.
0
23.11.2015
Как все запутано. Спасибо за разъяснения!)
0
23.11.2015
Мама троих (25 лет, 15 лет, 9 лет) Москва
У меня 2 с О...и все остальные без))..Но с гормонами есть проблемы...
0
24.11.2015
Мама троих (25 лет, 15 лет, 9 лет) Москва
А АМГ не сдавали...?...У меня 21 в августе был..уже на все онкомаркеры обследовалась(((
0
24.11.2015
Мама мальчика (9 лет) Кривой Рог
Нет, врач не выписывал мне направления на этот анализ.
0
24.11.2015
Мама троих (25 лет, 15 лет, 9 лет) Москва
У меня МФКЯ как раз после отмены КОК...
0
24.11.2015
Мама троих (25 лет, 15 лет, 9 лет) Москва
28 на23 уж точно киста....у меня и больше росли,двухкамерные, кстати проходят сами!!!!. Ну или на каком то несерьезном лечении мне индометацин свечи назначали))).я вообще не поняла зачем и как..но прошли)... Сейчас у меня постоянно уже небольшие фолликулярные кисты и МФКЯ(а может и СПКЯ..но спкя не истинный конечно.а фукнкциональный..Хотя вот в этом месяце вроде есть овуляция..АМГ в августе зашкаливал...у меня это все длится после отмены КОК... Эндометрий у вас шикарный)
0
24.11.2015
а вы узи у одного специалиста делаете всегда или разных!?
0
24.11.2015
Мама троих (25 лет, 15 лет, 9 лет) Москва
за этот год я делала узи как минимум у 5-6 специалистов...Сейчас слава богу..у меня есть лечащий врач постоянный, который как то разгребает мои проблемы..а не говорит ну зачем вам 3...она делает мне узи раз в 2 месяца на приемах..а для периодической фолликулометрии я хожу еще к оному постоянному врачу, она тольо УЗИ делает..но последние пол года только уж к ней...сталкивалась с такими чудо специалистами УЗИ что аж плохо становилось))
0
24.11.2015
хорошо, что нашли своего врача!) не болейте!)))
0
24.11.2015
Доброй ночи. Мне давно давно ставили диагноз мультифолликулярный яичник. Но на повторных узи не показывало. Сказали, что если на протяжении нескольких циклах такая фигня, то это норма
0
23.11.2015
Надеюсь тоже само пройдет)) Спасибо!
0
23.11.2015
Понаблюдайтесь пару месяцев. Уверена, все хорошо))
0
23.11.2015
Спасибо за поддержку!)))))))
0
24.11.2015
Мама двоих (15 лет, 10 лет) Омск
я с таким ДФ забеременела , еще писали что фолик регресирует, а через 2 недели 2 полоски удачи
0
24.11.2015
Спасибо:)
0
24.11.2015
Мама двоих (10 лет, 5 лет) Варшава
Эндометрий отличный. Мне когда делали стимуляцию тоже узист не мог определить двухкамерная киста или два ДФ рядышком друг возле друга. В итоге оказалось два ДФ, была овуляция.
0
23.11.2015
Здорово))) Спасибо
0
23.11.2015
Мама семерых (от 8 лет до 14 лет) Тамбов
Конечно хороший
0
23.11.2015
Спасибо!)
0
23.11.2015
А про эндометрий и я послушаю
0
23.11.2015
Нужна ваша помощь! !! Что это было..

Похожие записи