Тянет оба яичника. Не хотела заморачиваться, но пришлось)))
Овуляция( тесты на овуляцию)Записалась на завтра на фолликулометрию)) Не хотела в этом цикле заморачиваться, но не получилось. В прошлом цикле О была на 18 ДЦ в ЛЯ. В этом цикле сначала тянуло только ПЯ, а теперь еще и ЛЯ, да так не приятно. Сегодня кстати 16 ДЦ, делаю тесты Овуплан, полосочка ярчает, но еще не ярче контрольной. Девочки, а О может быть в обоих яичниках одновременно?
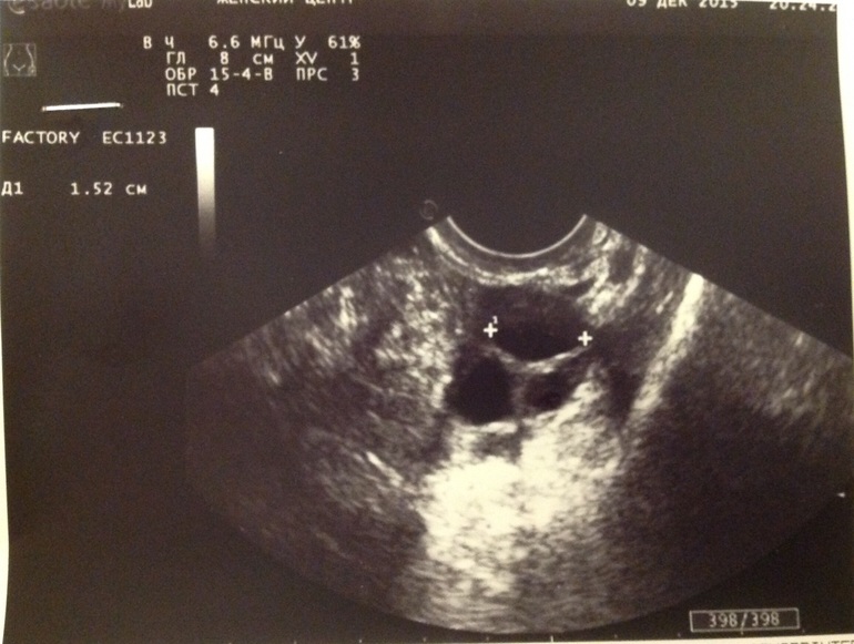
Результаты фолликулометрии. 17 ДЦ сегодня (цикл 31-35 дней).
ЛЯ фолик 13 мм
ПЯ фолик-1 15,2 мм, фолик-2 14,4 мм ИХ 2 выросло! Вот почему с правой стороны тянет оооочень сильно!
Эндометрий 7,5 (трехслойный).
Г. первым делом спросила : "А вы не на стимуляции?"
я говорю: " нет, второй цикл всего планируем".
Она: "а двойни есть в роду? У вас все шансы!"
И тут у меня улыбка до ушей конечно расплылась))))
Короче иду к ней в пятницу, смотреть что там наростет. Девочки, что значит эндометрий трехслойный?
А еще она сказала что ооочень хороший запас яйцеклеток, что даже донором быть могу))))
Фото по кат

