Мама мальчика (4 года), жду девочку, 7 неделя
Москва
Невероятная овуляция на 28 ДЦ!
Девочки, история такая. Делала УЗИ на 24ДЦ, эндометрий был 8мм и в ЛЯ ДФ=11мм. Гиня сказала цикл ановуляторный, предложила пропить дюфастон для вызова месячных, либо подождать недельку и посмотреть может быть этот фоллик вырастет.
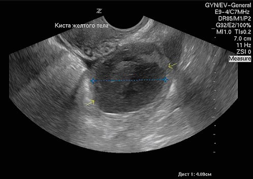
Сегодня на 28 ДЦ пошла на УЗИ (в другое место), т.к. 2 дня очень обильные выделения ЯБ. В результате эндометрий 13мм, в ЛЯ формируется желтое тело 20х22мм, небольшое кол-во жидкости есть. Узистка сказала, что прямо сейчас происходит овуляция, ЖТ только начало формироваться.
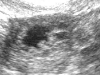
Это как понимать? За 4 дня фоллик с 11мм так вырос и совулировал? посмотрите фотки, плиз, кто понимает, я в этом полный профан. И как думаете в постель уже поздно ложиться?
Фото под кат.
А подскажите кто разбирается ЖТ на каком из этих фото?



Мама мальчика (21 год)
Кемерово
на снимках не видно жт
оно обычно серого цвета с неровными краями.
на первом фото у вас 100% фолликулы.
на 2 фото больше похож на фолликул, так как края ровные, но внутри серое включение, может формируется жт.
на 3 фото матка.
вот так выглядит желтое тело
0
06.09.2016
Ответить
Мама троих (14 лет, 9 лет, 2 года)
Москва
Еще узистка сказала, что формируется ЖТ т.к. окрашивается немного. Это ведь всегда признак ЖТ, да??
0
07.09.2016
Ответить
Мама мальчика (21 год)
Кемерово
я видела у девушки, что фолликул целиком разорвался и на его месте начало расти жт сразу серое и волнистое. как у вас, не знаю.
0
07.09.2016
Ответить
Мама двоих (15 лет, 8 лет)
Тверь
а до этого что по узи было? ановуляция? или что?
0
06.09.2016
Ответить
Мама троих (14 лет, 9 лет, 2 года)
Москва
когда до этого? на 24ДЦ был только один самый большой фоллик 11мм. До этого 5 месяцев подряд были овуляции каждый месяц.
0
06.09.2016
Ответить
Рязань
нет смысла сравнивать УЗИ у разных врачей и на разной аппаратуре
0
06.09.2016
Ответить
Мама троих (14 лет, 9 лет, 2 года)
Москва
Думаете разница большая? Т.е. на другом узи аппарте этот фоллик мог быть не 11мм, а 15мм? А овуляция то в любом случае произошла, да?
0
06.09.2016
Ответить
Рязань
овуля думаю все таки была,да,а разница в мм на разных аппаратах может быть колоссальной,так что радуйтесь своей овуляции и не зацикливайтесь на мм
0
06.09.2016
Ответить
планирую беременность
Москва
Мне врач объясняла, что после 12-14 мм фолликул может расти по 2 мм в день. В последнем цикле у меня во вт. был 13 мм ДФ,в пт19 мм, в субботу случилась О. Т.к. я несколько циклов подряд делала фоликолометрию- все подтверждается, после 12-14 мм ДФ оч быстро вырастает (за 2-3 ) до нужных для О. размеров. Теоретически, овуляция может случится у у ДФ с размером 16мм даже, но это редко, чаще 19-22 мм
0
07.09.2016
Ответить
Мама семерых (от 8 лет до 14 лет)
Тамбов
Я забер сыном первым при поздней)
0
06.09.2016
Ответить