О пользе и вреде тестов на овуляцию
Овуляция( тесты на овуляцию)После прошедшей рабочей недели и начала новой назрел у меня пост. Даже 2 поста ( а может быть и больше). Первый пост я посвящаю им, таким любимым в каждом сообществе планирующих - тестам на овуляцию. Если честно, от разговоров о них у меня уже дергается глаз, скоро начнут дергаться и другие части тела. "Вы все еще не пользуетесь ими? Тогда мы идем к вам!" Это не из рекламы тайда, это про эти злосчастные тесты. Они есть в каждой домашней аптечке города; когда девушка хочет завести ребенка, она первым делом бросается не к любимому, а за этими тестами; у мужчин начинается нервный тик и легкая импотенция при слове "тест" и "овуляция". Всем сообществом изучается яркость полосок, идет постоянное выкладывание фото этих тестов - пронумерованных и с пометками о количестве половых контактов на яркой полоске, даются советы по улучшению эффективности зачатия на основе интерпретации результатов.
Вот только почему, ну почему большинство пациенток удивленно открывают глаза, когда слышат, что тесты на овуляцию показывают совсем не овуляцию!!! А пиковый выброс ЛГ (лютеинизирующий гормон), который в нормальнофункционирующем организме и запускает механизм овуляции.
Известно, что:
- По мере созревания фолликула в его клетках вырабатываются женские гормоны - эстрогены. И чем больших размеров достигает фолликул, тем больше его клетки вырабатывают эстрогенов. Когда уровень эстрогенов достигает уровня достаточного для овуляции, происходит резкий выброс лютеинизирующего гормона (ЛГ), после чего в течение примерно 24-48 часов происходит разрыв фолликула (овуляция) и готовая к оплодотворению яйцеклетка устремляется в маточную трубу - на встречу с мужскими сперматозоидами. Период развития фолликула может отличаться не только у разных женщин, но даже у одной - в разных циклах.
А также:
-Значительный подьем ЛГ очень характерен для фазы овуляции, однако, сам подъем ЛГ не дает 100%-гарантию, что подъем гормона связан именно с овуляцией и овуляция состоялась. Повышение уровня ЛГ может иметь место и в других ситуациях - при гормональной дисфункции, синдроме истощения яичников, постменопаузе, почечной недостаточности и т.д. Таким образом, при любой временной или постоянной дисфункции тесты могут давать ложноположительные результаты, если уровень гормона повышен. Кроме того, возможны ложноположительные результаты и под влиянием других гормонов, вовсе не связанные с изменением уровня ЛГ. Например, в присутствии гормона беременности - ХГЧ - тесты будут давать ложноположительный результат из-за схожести с ЛГ в молекулярном строении (по строению ЛГ похож на другие гормоны-гликопротеины - ФСГ, ТТГ, ХГЧ), в чем убедились на себе уже некоторые беременные женщины. После уколов ХГЧ при стимуляции овуляции тесты так же выдают положительный результат, который не связан с повышением уровня ЛГ.
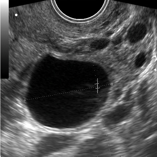
Итак, конкретный пример пациентки О:
На этом узи снимке вы видете доминирующий фолликул преовуляторного диаметра, а именно от 19мм. Тесты на овуляцию показывают 2 полоски. Вторая полоска классически ярчает и пациентка уверена, что овуляция есть. Если мы посмотрим эту пациентку через 7-10 дней, скажем в промежуток от 21 до 25 дня, мы увидим такую картину:


И напишем в заключении - желтое тело такого-то яичника. Ура, овуляция состоялась!
Теперь как все было в реальности: Через день от узи 1, по факту мы видим все такой же фолликул. И на следующий день. И через день.
А вот к 5-6 дню от предполагаемой овуляции картинка начинает меняться, фолликул изменяет контур и приобретает гиперэхогенные перемычки, характерные для желтого тела.
И через неделю, дней десять мы видим желтое тело.
Диагноз - лютеинизация неовулирующего фолликула
О полноценности желтого тела также нужно судить по характеристикам кровотока в артериях этого самого тела.
В сосудах нормального желтого тела снижение ИР в среднем до 0,44 отмечается уже на 2-й день после овуляции, причем этот показатель практически не меняется в течение первых 5 дней лютеиновой фазы. В лютеиновую фазу ИР ступенчато повышался в среднем до 0,47 и в дальнейшем постепенно увеличивался в среднем до 0,53 к концу лютеиновой фазы. А вот ИР выше 0,53 говорит о неполноценности лютеиновой фазы.
Выводы.
Польза от тестов есть: если полоски две, значит пик ЛГ имеет место быть. Ура, ваш головной мозг функционирует нормально. Исключения смотри выше.
Вред: если вы пользуетесь ими уже черт-те сколько времени, а картина не меняется и беременности нет - пожалуйста, не нужно убеждать вашего врача в 100% наличии у вас овуляции. Не убедите.
Лучший ответ