ГСГ помогите расшифровать.
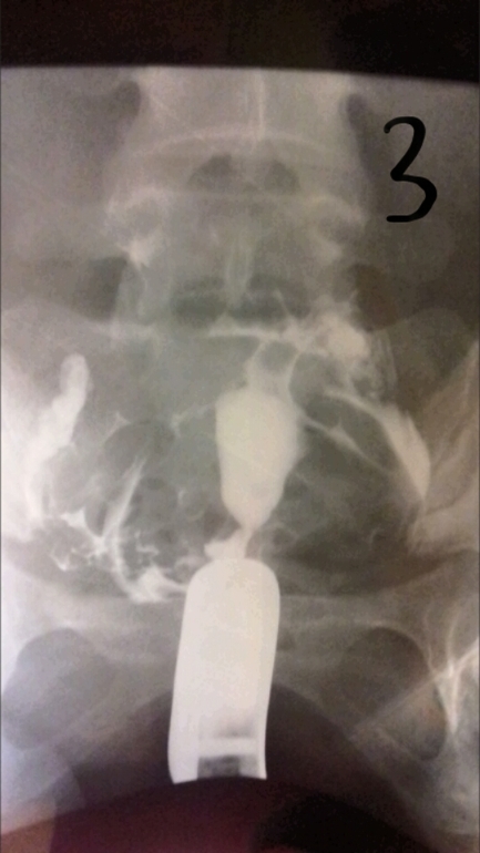
ГСГ, ЭХО, МСГ, ФертилоскопияВсем привет. Кто понимает в снимках. Сделала гсг. На третьем сказали жидкость вышла, но как-то долго она выходила и спайки видно, поставили эндометриоз и спаечный процесс в брюшной полости. Беременность не наступает и стимуляции были. В 2006 году было кесарево и в 2012 прижигали эррозию ш/м, больше ничего. 



